Suppr超能文献

首例巨大阿米巴性腹腔肿瘤合并无症状性阿米巴结肠炎。

The first case of huge amebic intra-abdominal tumor with asymptomatic amebic colitis.

作者信息

Higami Shigeo, Nomura Eiji, Yamazaki Masashi, Morita Seiji, Noguchi Wataru, Uda Shuji, Hara Hitoshi, Yamamoto Soichiro, Hasegawa Sayuri, Tobita Kosuke, Tajiri Takuma, Mukai Masaya, Inokuchi Sadaki, Makuuchi Hiroyasu

机构信息

Department of Emergency and Critical Care, Tokai University Hachioji Hospital, 1838 Ishikawa-machi, Hachioji Tokyo, 192-0032 Japan.

Department of Gastroenterological and General Surgery, Tokai University Hachioji Hospital, 1838 Ishikawa-machi, Hachioji Tokyo, 192-0032 Japan.

出版信息

Surg Case Rep. 2015;1(1):48. doi: 10.1186/s40792-015-0053-1. Epub 2015 Jun 16.

Abstract

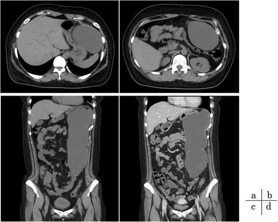
We report a rare case of huge amebic intra-abdominal tumor with asymptomatic amebic colitis. This appears to represent the first report of amebic intra-abdominal tumor. A 31-year-old woman presented to a local doctor with only a sensation of abdominal fullness. Abdominal computed tomography (CT) showed a huge intra-abdominal tumor in the left abdominal cavity, and she was referred to our hospital. Colonofiberscopy for detailed examination showed multiple slight, discrete ulcers in the cecum. Ameboid trophozoites were identified from biopsy specimens, and asymptomatic amebic colitis was diagnosed. Oral metronidazole (MTZ) was administered at 1500 mg/day for 10 days. CT 14 days after starting MTZ showed no change in the intra-abdominal tumor, and resection of the tumor was therefore performed. Pathological examination revealed Entamoeba histolytica with engulfed erythrocytes complicated by hemorrhagic cyst. If an intra-abdominal tumor is present and colitis is observed, amebic intra-abdominal tumor should be considered among the differential diagnoses.

摘要

我们报告了一例罕见的巨大阿米巴性腹腔内肿瘤合并无症状阿米巴结肠炎的病例。这似乎是阿米巴性腹腔内肿瘤的首例报告。一名31岁女性因仅有腹部饱胀感就诊于当地医生。腹部计算机断层扫描(CT)显示左腹腔有一个巨大的腹腔内肿瘤,随后她被转诊至我院。为进行详细检查而做的结肠镜检查显示盲肠有多个轻微、散在的溃疡。从活检标本中鉴定出阿米巴滋养体,诊断为无症状阿米巴结肠炎。给予口服甲硝唑(MTZ),剂量为1500mg/天,共10天。开始使用MTZ 14天后的CT显示腹腔内肿瘤无变化,因此进行了肿瘤切除术。病理检查显示溶组织内阿米巴伴有吞噬红细胞,并伴有出血性囊肿。如果存在腹腔内肿瘤且观察到结肠炎,在鉴别诊断中应考虑阿米巴性腹腔内肿瘤。

https://cdn.ncbi.nlm.nih.gov/pmc/blobs/b27d/4883183/b9cbcccf63cf/40792_2015_53_Fig1_HTML.jpg

文献AI研究员

20分钟写一篇综述,助力文献阅读效率提升50倍。

立即体验

用中文搜PubMed

大模型驱动的PubMed中文搜索引擎

马上搜索

文档翻译

学术文献翻译模型,支持多种主流文档格式。

立即体验