Suppr超能文献

小儿急性白血病的肾脏表现:2例报告

Renal Presentation in Pediatric Acute Leukemia: Report of 2 Cases.

作者信息

Sherief Laila M, Azab Seham F, Zakaria Marwa M, Kamal M, Elbasset Aly Maha Abd, Ali Adel, Alhady Mohamed Abd

机构信息

From the Department of Pediatrics, Faculty of Medicine, Zagazig and Cairo Universities, Zagazig, Egypt.

出版信息

Medicine (Baltimore). 2015 Sep;94(37):e1461. doi: 10.1097/MD.0000000000001461.

Abstract

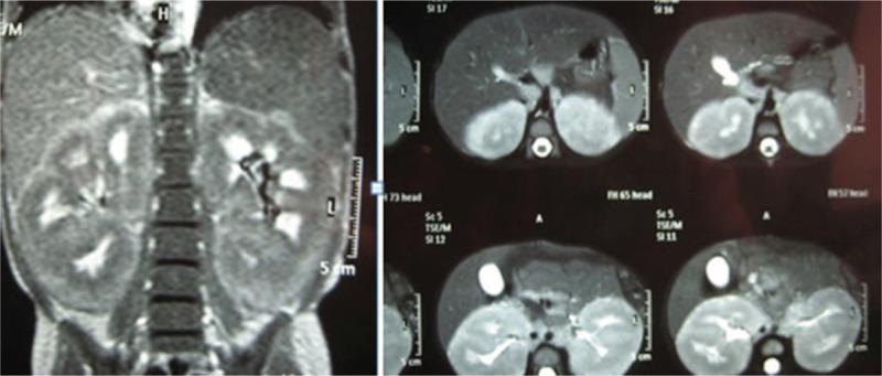
Renal enlargement at time of diagnosis of acute leukemia is very unusual. We here in report 2 pediatric cases of acute leukemia who had their renal affection as the first presenting symptom with no evidences of blast cells in blood smear and none of classical presentation of acute leukemia. The first case is a 4-year-old girl who presented with pallor and abdominal enlargement. Magnetic resonance imaging showed bilateral symmetrical homogenous enlarged kidneys suggestive of infiltration. Complete blood picture (CBC) revealed white blood count 11 × 10⁹/L, hemoglobin 8.7 g/dL and platelet count 197 × 10⁹/L. Bone marrow aspiration was performed, and diagnosed precursor B-cell ALL was made. The child had an excellent response to modified CCG 1991 standard risk protocol of chemotherapy with sustained remission, but unfortunately relapsed 11 month after the end of therapy. The second child was 13-month old, presented with pallor, vomiting, abdominal enlargement, and oliguria 2 days before admission. Initial CBC showed bicytopenia, elevated blood urea, creatinine, and serum uric acid, while abdominal ultrasonography revealed bilateral renal enlargement. Bone marrow examination was done and showed 92% blast of biphenotypic nature. So, biphynotypic leukemia with bilateral renal enlargement and acute renal failure was subsequently diagnosed. The patients admitted to ICU and received supportive care and prednisolone. Renal function normalized and chemotherapy was started. The child achieved complete remission with marked reduction of kidney size but, unfortunately she died from sepsis in consolidation phase of therapy. This case demonstrates an unusual early renal enlargement in childhood acute leukemia. Renal involvement of acute leukemia should be considered in child presenting with unexplained bilateral renal enlargement with or without renal function abnormalities and bone marrow examination should be included in the workup.

摘要

急性白血病诊断时出现肾脏肿大非常罕见。我们在此报告2例小儿急性白血病病例,他们以肾脏病变作为首发症状,血涂片未见原始细胞,也无急性白血病的典型表现。第一例是一名4岁女孩,表现为面色苍白和腹部肿大。磁共振成像显示双侧肾脏对称均匀肿大,提示有浸润。全血细胞计数(CBC)显示白细胞计数11×10⁹/L,血红蛋白8.7g/dL,血小板计数197×10⁹/L。进行了骨髓穿刺,诊断为前体B细胞急性淋巴细胞白血病。该患儿对改良的CCG 1991标准风险化疗方案反应良好,持续缓解,但不幸的是在治疗结束11个月后复发。第二个患儿13个月大,入院前2天出现面色苍白、呕吐、腹部肿大和少尿。初始CBC显示全血细胞减少,血尿素、肌酐和血清尿酸升高,而腹部超声显示双侧肾脏肿大。进行了骨髓检查,显示92%的原始细胞具有双表型性质。随后诊断为双表型白血病伴双侧肾脏肿大和急性肾衰竭。患者入住重症监护病房,接受支持治疗和泼尼松龙治疗。肾功能恢复正常并开始化疗。患儿实现完全缓解,肾脏大小明显缩小,但不幸的是她在治疗巩固期死于败血症。该病例显示了儿童急性白血病早期不寻常的肾脏肿大。对于出现不明原因双侧肾脏肿大、有无肾功能异常的儿童,应考虑急性白血病的肾脏受累情况,检查工作应包括骨髓检查。

https://cdn.ncbi.nlm.nih.gov/pmc/blobs/df36/4635798/db76a30dfc3a/medi-94-e1461-g001.jpg

文献AI研究员

20分钟写一篇综述,助力文献阅读效率提升50倍。

立即体验

用中文搜PubMed

大模型驱动的PubMed中文搜索引擎

马上搜索

文档翻译

学术文献翻译模型,支持多种主流文档格式。

立即体验