Nowell Mark, Vos Sjoerd B, Sidhu Meneka, Wilcoxen Kaitlin, Sargsyan Narek, Ourselin Sebastien, Duncan John S
Department of Clinical and Experimental Epilepsy, UCL Institute of Neurology, London, UK MRI Unit, Epilepsy Society, Chalfont St Peter, UK.
MRI Unit, Epilepsy Society, Chalfont St Peter, UK Translational Imaging Group, Centre of Medical Imaging and Computing, UCL, London, UK.
J Neurol Neurosurg Psychiatry. 2016 Aug;87(8):836-42. doi: 10.1136/jnnp-2015-311161. Epub 2015 Sep 18.
Several studies have suggested an asymmetry in Meyer's loop in individuals, with the left loop anterior to the right. In this study we test the hypothesis that there is an association between Meyer's loop asymmetry (MLA) and language lateralisation.
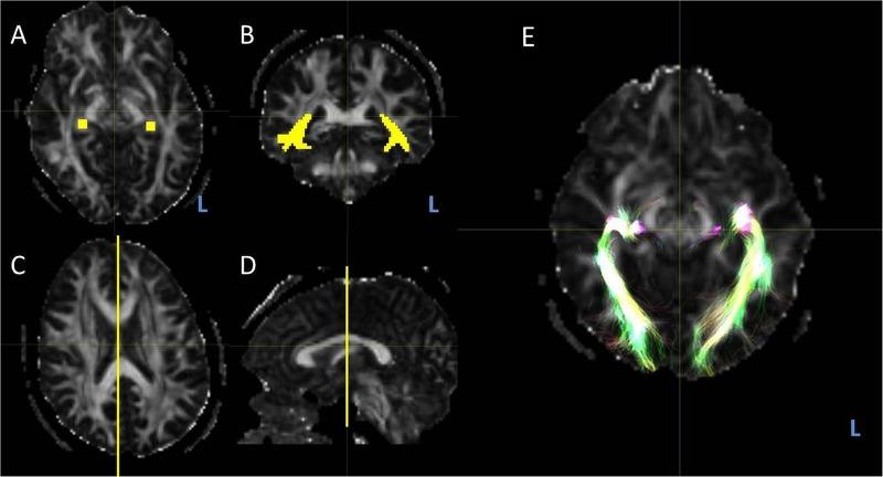
57 patients with epilepsy were identified with language functional MRI (fMRI) and diffusion MRI acquisition. Language lateralisation indices from fMRI(LI) and optic radiation and arcuate fasciculus probabilistic tractography was performed for each subject. The subjects were divided into left language dominant (LI>0.4) and non-left language groups (LI<0.4) according to their LI.
A negative linear correlation was identified between language lateralisation and MLA, with greater left lateralised language associated with more anteriorly placed left Meyer's loops (R value -0.34, p=0.01). There was a significant difference in mean MLA between the two groups, with the left loop being anterior to the right loop in the LI>0.4 group and posterior to the right loop in the LI<0.4 group (p=0.003). No correlation was found between language lateralisation and arcuate fasciculus volume.
This study suggests an association between the extent of Meyer's loop asymmetry and the lateralisation of language determined by fMRI in patients with epilepsy. Further studies should be carried out to evaluate this association in control subjects and with other measures of language lateralisation.
多项研究表明个体迈耶袢存在不对称性,左侧袢位于右侧袢前方。在本研究中,我们检验迈耶袢不对称性(MLA)与语言侧化之间存在关联的假设。
对57例癫痫患者进行语言功能磁共振成像(fMRI)和扩散磁共振成像采集。对每个受试者进行fMRI语言侧化指数(LI)以及视辐射和弓状束概率性纤维束成像。根据LI将受试者分为左侧语言优势组(LI>0.4)和非左侧语言组(LI<0.4)。
语言侧化与MLA之间存在负线性相关,左侧语言侧化程度越高,左侧迈耶袢位置越靠前(R值-0.34,p=0.01)。两组之间的平均MLA存在显著差异,LI>0.4组中左侧袢位于右侧袢前方,LI<0.4组中左侧袢位于右侧袢后方(p=0.003)。未发现语言侧化与弓状束体积之间存在相关性。
本研究表明癫痫患者中迈耶袢不对称程度与fMRI确定的语言侧化之间存在关联。应进一步开展研究以评估在对照受试者中以及使用其他语言侧化测量方法时这种关联情况。