Aumayr Martina, Fedosyuk Sofiya, Ruzicska Katharina, Sousa-Blin Carla, Kontaxis Georg, Skern Tim
Department of Medical Biochemistry, Max F. Perutz Laboratories, Medical University of Vienna, Vienna Biocenter, Dr. Bohr-Gasse 9/3, Vienna, A-1030, Austria.
Department of Structural and Computational Biology, Max F. Perutz Laboratories, University of Vienna, Campus Vienna Biocenter 5, Vienna, A-1030, Austria.
Protein Sci. 2015 Dec;24(12):1979-96. doi: 10.1002/pro.2807. Epub 2015 Oct 4.
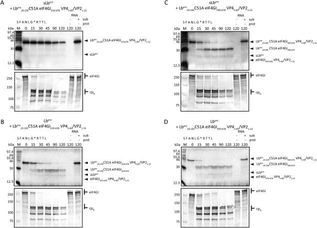
Messenger RNA is recruited to the eukaryotic ribosome by a complex including the eukaryotic initiation factor (eIF) 4E (the cap-binding protein), the scaffold protein eIF4G and the RNA helicase eIF4A. To shut-off host-cell protein synthesis, eIF4G is cleaved during picornaviral infection by a virally encoded proteinase; the structural basis of this reaction and its stimulation by eIF4E is unclear. We have structurally and biochemically investigated the interaction of purified foot-and-mouth disease virus (FMDV) leader proteinase (Lb(pro)), human rhinovirus 2 (HRV2) 2A proteinase (2A(pro)) and coxsackievirus B4 (CVB4) 2A(pro) with purified eIF4GII, eIF4E and the eIF4GII/eIF4E complex. Using nuclear magnetic resonance (NMR), we completed (13)C/(15) N sequential backbone assignment of human eIF4GII residues 551-745 and examined their binding to murine eIF4E. eIF4GII551-745 is intrinsically unstructured and remains so when bound to eIF4E. NMR and biophysical techniques for determining stoichiometry and binding constants revealed that the papain-like Lb(pro) only forms a stable complex with eIF4GII(551-745) in the presence of eIF4E, with KD values in the low nanomolar range; Lb(pro) contacts both eIF4GII and eIF4E. Furthermore, the unrelated chymotrypsin-like 2A(pro) from HRV2 and CVB4 also build a stable complex with eIF4GII/eIF4E, but with K(D) values in the low micromolar range. The HRV2 enzyme also forms a stable complex with eIF4E; however, none of the proteinases tested complex stably with eIF4GII alone. Thus, these three picornaviral proteinases have independently evolved to establish distinct triangular heterotrimeric protein complexes that may actively target ribosomes involved in mRNA recruitment to ensure efficient host cell shut-off.
信使核糖核酸(Messenger RNA)通过一个包含真核起始因子(eIF)4E(帽结合蛋白)、支架蛋白eIF4G和RNA解旋酶eIF4A的复合物被招募到真核核糖体上。为了关闭宿主细胞的蛋白质合成,在小核糖核酸病毒感染期间,eIF4G会被病毒编码的蛋白酶切割;这种反应的结构基础及其受eIF4E的刺激作用尚不清楚。我们已经从结构和生化方面研究了纯化的口蹄疫病毒(FMDV)前导蛋白酶(Lb(pro))、人鼻病毒2型(HRV2)2A蛋白酶(2A(pro))和柯萨奇病毒B4型(CVB4)2A蛋白酶与纯化的eIF4GII、eIF4E以及eIF4GII/eIF4E复合物之间的相互作用。利用核磁共振(NMR),我们完成了人eIF4GII第551 - 745位残基的(13)C/(15)N序列主链归属,并研究了它们与鼠eIF4E的结合。eIF4GII551 - 745本质上是无序的,与eIF4E结合时依然如此。用于确定化学计量和结合常数的NMR及生物物理技术表明,木瓜蛋白酶样的Lb(pro)仅在eIF4E存在时与eIF4GII(551 - 745)形成稳定复合物,解离常数(KD)值在低纳摩尔范围内;Lb(pro)同时与eIF4GII和eIF4E接触。此外,来自HRV2和CVB4的不相关的胰凝乳蛋白酶样2A(pro)也与eIF4GII/eIF4E形成稳定复合物,但解离常数(K(D))值在低微摩尔范围内。HRV2酶也与eIF4E形成稳定复合物;然而,所测试的蛋白酶均不能单独与eIF4GII稳定结合形成复合物。因此,这三种小核糖核酸病毒蛋白酶独立进化形成了不同的三角形异源三聚体蛋白复合物,这些复合物可能会主动靶向参与mRNA招募的核糖体,以确保有效地关闭宿主细胞。