Kwon Wooil, Kim Sun-Whe, Lee Kyoung Bun, Jang Jin-Young, Park Jae Woo, Han In Woong, Kang Mee Joo
Department of Surgery, Seoul National University College of Medicine, Seoul, Korea.
Department of Pathology, Seoul National University College of Medicine, Seoul, Korea.
Korean J Hepatobiliary Pancreat Surg. 2012 May;16(2):80-3. doi: 10.14701/kjhbps.2012.16.2.80. Epub 2012 May 31.
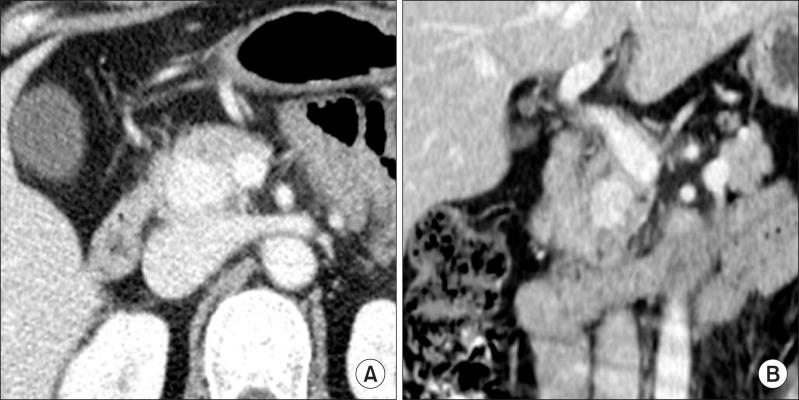
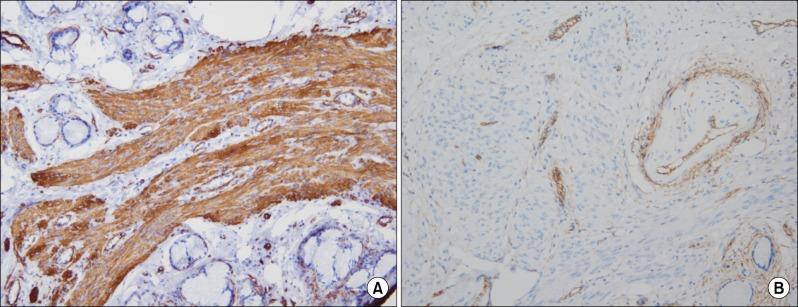
Solid hamartoma of the pancreas is very rare, and only 3 cases have been reported thus far. A patient underwent pancreaticoduodenectomy due to a mass in the head of the pancreas which was suspected to be a borderline malignant tumor, but the histologic diagnosis turned out to be myoepithelial hamartoma (MEH) or adenomyoma. It was characterized by benign duct and glandular structures surrounded by proliferating smooth muscle, and acinus formation was not observed. Immunohistochemical stain for smooth muscle actin (SMA) was positive in spindle cells, and CD34 was negative, differentiating it from the three previously reported cases of solid hamartoma of the pancreas. MEH is an entity that is on the same spectrum as heterotopic pancreas. MEH is rare and has usually been reported in the gastrointestinal tract. To the best of our knowledge, MEH has never been reported in the pancreas. Therefore we report the world's first documented case of MEH of the pancreas.
胰腺实性错构瘤非常罕见,迄今为止仅报道过3例。一名患者因胰头部肿物接受了胰十二指肠切除术,该肿物怀疑为交界性恶性肿瘤,但组织学诊断结果为肌上皮错构瘤(MEH)或腺肌瘤。其特征为良性导管和腺管结构被增生的平滑肌包绕,未观察到腺泡形成。平滑肌肌动蛋白(SMA)免疫组化染色在梭形细胞中呈阳性,CD34呈阴性,这使其与之前报道的3例胰腺实性错构瘤病例有所不同。MEH与异位胰腺属于同一谱系的病变。MEH很罕见,通常在胃肠道有报道。据我们所知,MEH从未在胰腺中有过报道。因此,我们报告了世界上首例有文献记载的胰腺MEH病例。