Suppr超能文献

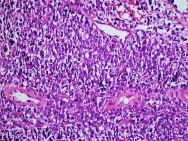
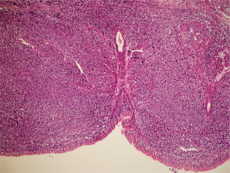
Hoarseness: an unusual presentation of primary thyroid lymphoma with laryngeal infiltration.

作者信息

Gökdoğan Ozan, Koybasioglu Ahmet, Ismail Erkin, Erol Timucin, Alagoz Gokcen, Yagmurlu Banu, Komurcu Seref

机构信息

Ankara Memorial Hospital, Department of Otorhinolaryngology, Ankara, Turkey.

Ankara Memorial Hospital, Department of Otorhinolaryngology, Ankara, Turkey.

出版信息

Braz J Otorhinolaryngol. 2016 Nov-Dec;82(6):737-740. doi: 10.1016/j.bjorl.2015.05.006. Epub 2015 Sep 7.

Abstract
摘要
https://cdn.ncbi.nlm.nih.gov/pmc/blobs/936c/9444721/a42113f3685c/gr1.jpg

文献AI研究员

20分钟写一篇综述,助力文献阅读效率提升50倍。

立即体验

用中文搜PubMed

大模型驱动的PubMed中文搜索引擎

马上搜索

文档翻译

学术文献翻译模型,支持多种主流文档格式。

立即体验