Suppr超能文献

一例复发性菊池-藤本病

A Case of Recurrent Kikuchi-Fujimoto Disease.

作者信息

Erfanian Taghvaei Majid Reza, Mirzaie Maryam, Parsa Ali, Ghiasi Moghadam Taghi

机构信息

Department of Community Medicine, Mashhad University of Medical Sciences, Mashhad, IR Iran.

Orthopedic Research Center, Mashhad University of Medical Sciences, Mashhad, IR Iran.

出版信息

Jundishapur J Microbiol. 2015 Jul 25;8(7):e25654. doi: 10.5812/jjm.25654v2. eCollection 2015 Jul.

Abstract

INTRODUCTION

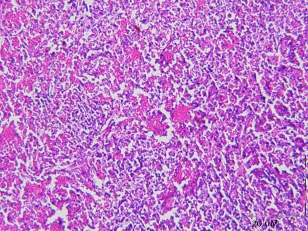
Kikuchi-Fujimoto Disease (KFD) is a benign, self-limited, inflammatory disorder, first reported in Japan. This condition is more prevalent among women and typically occurs in the third decade of life. It normally manifests as persistent, isolated cervical adenopathy with a recurrence rate of 3%. The identification of this condition is of high significance, given the risk of misdiagnosis with other disorders such as malignant lymphoma and extensive necrosis.

CASE PRESENTATION

The patient was a 32-year-old female diagnosed with Kikuchi-Fujimoto disease via neck lymph node biopsy in August 2006 in the city of Mashhad, Iran. The disease regressed with proper follow-up, although after eight years the patient was readmitted to the hospital with severe weight loss, high fever, and uncommon symptoms of generalized adenopathy in cervical, axillary and inguinal regions.

CONCLUSIONS

Although KFD is an uncommon condition, it should be featured in the list of differential diagnoses of tender lymphadenopathy, especially lymphadenopathy localized to the cervical region. We reported a case of KFD with a prolonged relapse of eight years. Full recovery with a good response to corticosteroid regimen was achieved after the recurrence.

摘要

引言

菊池-藤本病(KFD)是一种良性、自限性炎症性疾病,最早在日本被报道。这种疾病在女性中更为常见,通常发生在生命的第三个十年。它通常表现为持续性、孤立性颈部淋巴结病,复发率为3%。鉴于存在与恶性淋巴瘤和广泛坏死等其他疾病误诊的风险,识别这种疾病具有重要意义。

病例报告

该患者为一名32岁女性,2006年8月在伊朗马什哈德市通过颈部淋巴结活检被诊断为菊池-藤本病。经过适当的随访,病情有所缓解,尽管八年后患者因严重体重减轻、高热以及颈部、腋窝和腹股沟区出现罕见的全身淋巴结肿大症状再次入院。

结论

尽管菊池-藤本病并不常见,但在鉴别诊断压痛性淋巴结病时,尤其是局限于颈部区域的淋巴结病时,应将其列入鉴别诊断清单。我们报告了一例复发长达八年的菊池-藤本病病例。复发后通过对皮质类固醇疗法的良好反应实现了完全康复。

https://cdn.ncbi.nlm.nih.gov/pmc/blobs/fb69/4584135/87aababe4545/jjm-08-07-25654-g001.jpg

文献AI研究员

20分钟写一篇综述,助力文献阅读效率提升50倍。

立即体验

用中文搜PubMed

大模型驱动的PubMed中文搜索引擎

马上搜索

文档翻译

学术文献翻译模型,支持多种主流文档格式。

立即体验