Suppr超能文献

黏液性膀胱腺癌:病例报告与文献综述

Mucinous Bladder Adenocarcinoma: Case Report and Literature Review.

作者信息

Santos Bruno Mello R, de Souza Julia Duarte, Lima Rachel Silviano Brandão Correa, de Lima Enaldo Melo

机构信息

UFMG School of Medicine, 31270-901 Belo Horizonte, MG, Brazil ; Hospital Mater Dei, 30140-093 Belo Horizonte, MG, Brazil.

UFMG School of Medicine, 31270-901 Belo Horizonte, MG, Brazil.

出版信息

Case Rep Urol. 2015;2015:783109. doi: 10.1155/2015/783109. Epub 2015 Sep 1.

Abstract

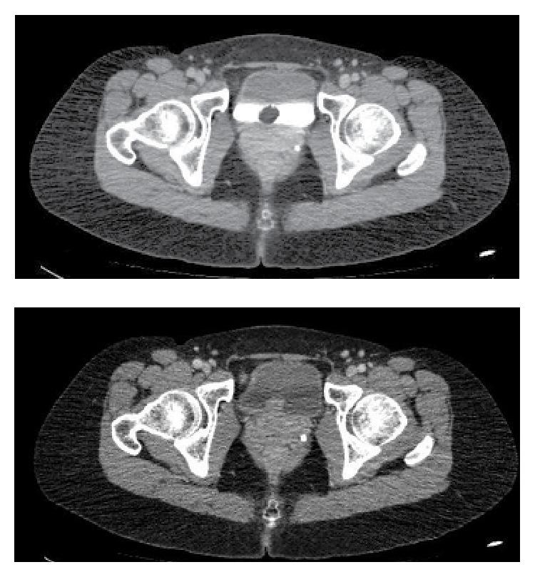
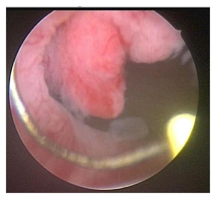
Primary mucinous adenocarcinoma is an extremely rare type of bladder cancer, with aggressive behavior and poor response to chemotherapy and radiotherapy. The symptoms are similar to those of other bladder tumors. Surgery is the main treatment and remains the only curative option. There may be a progression from mucinous metaplasia to mucinous adenoma and then mucinous adenocarcinoma. We present the case of a 40-year-old woman with recurrent lower urinary tract infections, submitted to imaging tests, which showed a bladder tumor. After transurethral resection, pathology showed intestinal mucinous carcinoma. Metastatic work-up was negative. New surgical procedure showed metaplasia but no recurrence of the carcinoma. The patient is now using antibiotic prophylaxis and will undergo a cystoscopy every 3 months and computed tomography in one year.

摘要

原发性黏液腺癌是一种极为罕见的膀胱癌类型,具有侵袭性,对化疗和放疗反应不佳。其症状与其他膀胱肿瘤相似。手术是主要治疗方法,也是唯一的治愈选择。可能存在从黏液化生发展为黏液腺瘤,进而发展为黏液腺癌的过程。我们报告一例40岁女性,反复出现下尿路感染,接受影像学检查显示膀胱肿瘤。经尿道切除术后,病理显示为肠道黏液癌。转移评估为阴性。再次手术显示为化生,但癌未复发。患者目前正在进行抗生素预防,每3个月将接受一次膀胱镜检查,一年后进行计算机断层扫描。

https://cdn.ncbi.nlm.nih.gov/pmc/blobs/7406/4569792/c9ee58e3be97/CRIU2015-783109.001.jpg

文献AI研究员

20分钟写一篇综述,助力文献阅读效率提升50倍。

立即体验

用中文搜PubMed

大模型驱动的PubMed中文搜索引擎

马上搜索

文档翻译

学术文献翻译模型,支持多种主流文档格式。

立即体验