• 文献检索
  • 文档翻译
  • 深度研究
  • 学术资讯
  • Suppr Zotero 插件Zotero 插件
  • 邀请有礼
  • 套餐&价格
  • 历史记录
应用&插件
Suppr Zotero 插件Zotero 插件浏览器插件Mac 客户端Windows 客户端微信小程序
定价
高级版会员购买积分包购买API积分包
服务
文献检索文档翻译深度研究API 文档MCP 服务
关于我们
关于 Suppr公司介绍联系我们用户协议隐私条款
关注我们

Suppr 超能文献

核心技术专利:CN118964589B侵权必究
粤ICP备2023148730 号-1Suppr @ 2026

文献检索

告别复杂PubMed语法,用中文像聊天一样搜索,搜遍4000万医学文献。AI智能推荐,让科研检索更轻松。

立即免费搜索

文件翻译

保留排版,准确专业,支持PDF/Word/PPT等文件格式,支持 12+语言互译。

免费翻译文档

深度研究

AI帮你快速写综述,25分钟生成高质量综述,智能提取关键信息,辅助科研写作。

立即免费体验

特发性脊柱侧凸(AIS)男性和女性患者术后影像学结果的比较。

Comparison of Radiographic Postoperative Outcomes Between Males and Females With AIS.

作者信息

Xu Ximing, Wang Fei, Zhou Xiaoyi, Cheng Yajun, Wei Xianzhao, Bai Yushu, Li Ming

机构信息

From the Department of Orthopedics, Changhai Hospital, Second Military Medical University, Shanghai, People's Republic of China.

出版信息

Medicine (Baltimore). 2015 Oct;94(41):e1616. doi: 10.1097/MD.0000000000001616.

DOI:10.1097/MD.0000000000001616
PMID:26469897
原文链接:https://pmc.ncbi.nlm.nih.gov/articles/PMC4616792/
Abstract

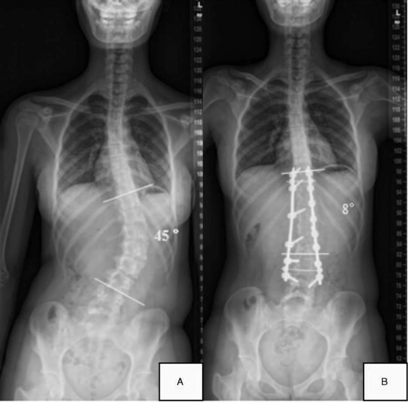
The primary aim was to compare postoperative radiographic outcomes between sexes among adolescent idiopathic scoliosis (AIS) patients. A total of 162 AIS patients (42 males and 120 females) undergoing pedicle screw instrumentation and posterior fusion were included. Coronal and sagittal curves and flexibilities were measured and calculated. The postoperative correction rate (CR), fulcrum bending correction index (FBCI), and Cincinnati correction index were evaluated to compare the surgical benefits between sexes.Males were older (16.79 vs 14.79 years, respectively; P < 0.01) and had stiffer curves than females (lateral bending flexibility percentage: 47.77 vs 52.57, respectively, P = 0.21; traction flexibility percentage: 35.48 vs 36.98, respectively, P = 0.98; fulcrum bending flexibility percentage: 56.13 vs 66.57, respectively, P < 0.05). Males and females exhibited similar Lenke classification schemes (P = 0.72), but had different Risser signs (P < 0.01). Although males had greater postoperative curves (20.81° vs 16.83°, respectively; P = 0.009), no obvious differences in the CRs were noted between males and females (FBCI: 145.20% vs 108.37%, respectively; P = 0.92). Smaller preoperative lumbar lordosis was noted in males than in females (40.05° vs 45.72°, respectively; P = 0.03), yet no statistically significant differences in the preoperative and postoperative sagittal curves were observed between the sexes. In conclusion, considering the preoperative flexibilities, the 2 sexes achieved comparable surgical benefits without sacrificing the sagittal balance.

摘要

主要目的是比较青少年特发性脊柱侧凸(AIS)患者中不同性别的术后影像学结果。纳入了162例行椎弓根螺钉内固定和后路融合术的AIS患者(42例男性和120例女性)。测量并计算了冠状面和矢状面曲线及柔韧性。评估术后矫正率(CR)、支点弯曲矫正指数(FBCI)和辛辛那提矫正指数,以比较不同性别之间的手术获益情况。男性年龄更大(分别为16.79岁和14.79岁;P<0.01),且曲线比女性更僵硬(侧弯柔韧性百分比:分别为47.77和52.57,P=0.21;牵引柔韧性百分比:分别为35.48和36.98,P=0.98;支点弯曲柔韧性百分比:分别为56.13和66.57,P<0.05)。男性和女性表现出相似的Lenke分类方案(P=0.72),但Risser征不同(P<0.01)。尽管男性术后曲线更大(分别为20.81°和16.83°;P=0.009),但男性和女性之间的CRs没有明显差异(FBCI:分别为145.20%和108.37%;P=0.92)。男性术前腰椎前凸小于女性(分别为40.05°和45.72°;P=0.03),但两性术前和术后矢状面曲线没有统计学上的显著差异。总之,考虑到术前柔韧性,两性在不牺牲矢状面平衡的情况下获得了相当的手术获益。

https://cdn.ncbi.nlm.nih.gov/pmc/blobs/fc27/4616792/3ec7cf1333a4/medi-94-e1616-g006.jpg
https://cdn.ncbi.nlm.nih.gov/pmc/blobs/fc27/4616792/adfb80be11b6/medi-94-e1616-g005.jpg
https://cdn.ncbi.nlm.nih.gov/pmc/blobs/fc27/4616792/3ec7cf1333a4/medi-94-e1616-g006.jpg
https://cdn.ncbi.nlm.nih.gov/pmc/blobs/fc27/4616792/adfb80be11b6/medi-94-e1616-g005.jpg
https://cdn.ncbi.nlm.nih.gov/pmc/blobs/fc27/4616792/3ec7cf1333a4/medi-94-e1616-g006.jpg

相似文献

1
Comparison of Radiographic Postoperative Outcomes Between Males and Females With AIS.特发性脊柱侧凸(AIS)男性和女性患者术后影像学结果的比较。
Medicine (Baltimore). 2015 Oct;94(41):e1616. doi: 10.1097/MD.0000000000001616.
2
Coronal deformity correction in adolescent idiopathic scoliosis patients using the fulcrum-bending radiograph: a prospective comparative analysis of the proximal thoracic, main thoracic, and thoracolumbar/lumbar curves.采用弯杆位 X 线片矫正青少年特发性脊柱侧凸患者冠状畸形:近端胸弯、主胸弯和胸腰/腰弯的前瞻性对比分析。
Eur Spine J. 2011 Jan;20(1):105-11. doi: 10.1007/s00586-010-1495-6. Epub 2010 Aug 11.
3
Assessment of curve flexibility in adolescent idiopathic scoliosis.青少年特发性脊柱侧凸的曲线柔韧性评估。
Spine (Phila Pa 1976). 2005 Jul 15;30(14):1637-42. doi: 10.1097/01.brs.0000170580.92177.d2.
4
Comparative analysis of hook, hybrid, and pedicle screw instrumentation in the posterior treatment of adolescent idiopathic scoliosis.青少年特发性脊柱侧凸后路治疗中钩、混合及椎弓根螺钉内固定的比较分析
J Pediatr Orthop. 2012 Jul-Aug;32(5):490-9. doi: 10.1097/BPO.0b013e318250c629.
5
Selection of Fusion Levels Using the Fulcrum Bending Radiograph for the Management of Adolescent Idiopathic Scoliosis Patients with Alternate Level Pedicle Screw Strategy: Clinical Decision-making and Outcomes.使用支点弯曲X线片选择融合节段以采用交替节段椎弓根螺钉策略治疗青少年特发性脊柱侧凸患者:临床决策与结果
PLoS One. 2015 Aug 13;10(8):e0120302. doi: 10.1371/journal.pone.0120302. eCollection 2015.
6
Posterior fusion only for thoracic adolescent idiopathic scoliosis of more than 80 degrees: pedicle screws versus hybrid instrumentation.仅后路融合治疗大于80度的青少年胸椎特发性脊柱侧凸:椎弓根螺钉与混合内固定术的比较
Eur Spine J. 2008 Oct;17(10):1336-49. doi: 10.1007/s00586-008-0731-9. Epub 2008 Aug 12.
7
Does spinal deformity correction of non-dystrophic scoliosis in neurofibromatosis type I with one-stage posterior pedicle screw technique produce outcomes similar to adolescent idiopathic scoliosis?神经纤维瘤病 I 型非营养不良性脊柱侧凸的一期后路椎弓根螺钉技术矫正是否与青少年特发性脊柱侧凸的结果相似?
Spine J. 2017 Dec;17(12):1850-1858. doi: 10.1016/j.spinee.2017.06.011. Epub 2017 Jun 20.
8
Prediction of Curve Correction Using Alternate Level Pedicle Screw Placement in Patients With Adolescent Idiopathic Scoliosis (AIS) Lenke 1 and 2 Using Supine Side Bending (SB) and Fulcrum Bending (FB) Radiograph.利用仰卧位侧弯(SB)和支点弯曲(FB)X线片对青少年特发性脊柱侧凸(AIS)Lenke 1型和2型患者采用交替节段椎弓根螺钉置入法进行曲线矫正预测
Spine (Phila Pa 1976). 2015 Oct 15;40(20):1605-12. doi: 10.1097/BRS.0000000000001087.
9
Key-Vertebral Screws Strategy for Main Thoracic Curve Correction in Patients With Adolescent Idiopathic Scoliosis.青少年特发性脊柱侧凸患者主胸弯矫正的关键椎体螺钉策略
Clin Spine Surg. 2016 Oct;29(8):E434-41. doi: 10.1097/BSD.0000000000000129.
10
[Changhai fulcrum bending radiographic technique to assess curve flexibility in patients with adolescent idiopathic scoliosis].[采用长海支点弯曲X线摄影技术评估青少年特发性脊柱侧凸患者的脊柱侧弯柔韧性]
Zhonghua Wai Ke Za Zhi. 2014 May;52(5):355-60.

引用本文的文献

1
Posterior spinal fusion outcomes for moderate adolescent idiopathic scoliosis in boys and girls: should we counsel them the same?青少年特发性中度脊柱侧弯后路脊柱融合术在男孩和女孩中的疗效:我们应该给予他们相同的建议吗?
Spine Deform. 2025 May 9. doi: 10.1007/s43390-025-01096-x.
2
Biomechanical analysis of spinal range of motion and intervertebral disc loadings in normal and adolescent idiopathic scoliosis models.正常及青少年特发性脊柱侧弯模型中脊柱活动范围和椎间盘负荷的生物力学分析
Front Bioeng Biotechnol. 2025 Feb 19;13:1473776. doi: 10.3389/fbioe.2025.1473776. eCollection 2025.
3
Outcomes and complications of vertebral body tethering by patient gender.

本文引用的文献

1
Do vertebral derotation techniques offer better outcomes compared to traditional methods in the surgical treatment of adolescent idiopathic scoliosis?在青少年特发性脊柱侧弯的外科治疗中,与传统方法相比,椎体去旋转技术能带来更好的治疗效果吗?
Eur Spine J. 2014 Jun;23(6):1166-76. doi: 10.1007/s00586-014-3242-x. Epub 2014 Feb 26.
2
Epidemiology of adolescent idiopathic scoliosis.青少年特发性脊柱侧凸的流行病学
J Child Orthop. 2013 Feb;7(1):3-9. doi: 10.1007/s11832-012-0457-4. Epub 2012 Dec 11.
3
Spinal bracing in adolescent idiopathic scoliosis.
椎体拴系术按患者性别分类的结果及并发症
Spine Deform. 2025 May;13(3):717-728. doi: 10.1007/s43390-024-01035-2. Epub 2025 Jan 15.
4
Sex and gender determinants following spinal fusion surgery: A systematic review of clinical data.脊柱融合手术后的性别和性决定因素:临床数据的系统评价
Front Surg. 2022 Oct 17;9:983931. doi: 10.3389/fsurg.2022.983931. eCollection 2022.
5
A retrospective controlled clinical study of Cobb angle distribution of the main thoracic curve in adolescent idiopathic scoliosis.青少年特发性脊柱侧凸主胸弯Cobb角分布的回顾性对照临床研究
Medicine (Baltimore). 2018 Jul;97(28):e11473. doi: 10.1097/MD.0000000000011473.
青少年特发性脊柱侧弯的脊柱支具治疗
N Engl J Med. 2013 Oct 17;369(16):1558-60. doi: 10.1056/NEJMe1310746. Epub 2013 Sep 19.
4
Adolescent scoliosis classification and treatment.青少年脊柱侧弯的分类和治疗。
Neurosurg Clin N Am. 2013 Apr;24(2):173-83. doi: 10.1016/j.nec.2012.12.006. Epub 2013 Feb 1.
5
All-pedicle screw versus hybrid instrumentation in adolescent idiopathic scoliosis surgery: a comparative radiographical study with a minimum 2-Year follow-up.全椎弓根螺钉与杂交内固定系统在青少年特发性脊柱侧凸手术中的应用比较:一项至少 2 年随访的影像学研究。
Spine (Phila Pa 1976). 2013 Jun 15;38(14):1199-208. doi: 10.1097/BRS.0b013e31828ce597.
6
The predictive value of the fulcrum bending radiograph in spontaneous apical vertebral derotation in adolescent idiopathic scoliosis.顶椎弯曲位片在青少年特发性脊柱侧凸自发性顶椎旋转中的预测价值。
Spine (Phila Pa 1976). 2012 Jul 1;37(15):E922-6. doi: 10.1097/BRS.0b013e31824f108f.
7
Long-term outcomes after posterior spine fusion for adolescent idiopathic scoliosis.青少年特发性脊柱侧凸后路脊柱融合术后的长期结果。
Curr Opin Pediatr. 2012 Feb;24(1):68-75. doi: 10.1097/MOP.0b013e32834ec982.
8
The association of patient characteristics and spinal curve parameters with Lenke classification types.患者特征与脊柱曲线参数与 Lenke 分类类型的相关性。
Spine (Phila Pa 1976). 2012 Jun 1;37(13):1138-41. doi: 10.1097/BRS.0b013e31824054a5.
9
Pediatric pedicle screws: comparative effectiveness and safety: a systematic literature review from the Scoliosis Research Society and the Pediatric Orthopaedic Society of North America task force.儿科椎弓根螺钉:比较有效性和安全性:来自脊柱侧凸研究协会和北美小儿矫形外科学会工作组的系统文献回顾。
J Bone Joint Surg Am. 2011 Jul 6;93(13):1227-34. doi: 10.2106/JBJS.J.00678.
10
[A survey on adolescent scoliosis in Guangzhou].[广州青少年脊柱侧弯调查]
Zhonghua Liu Xing Bing Xue Za Zhi. 2011 Feb;32(2):138-41.