Suppr超能文献

Pseudoaneurysm of pulmonary artery: rare complication of systemic chemotherapy.

作者信息

Garg Shivani, King Gentry, Varadi Gabor

机构信息

Department of Internal Medicine, Albert Einstein Medical Center Philadelphia, Pennsylvania.

Department of Hematology and Oncology, MOHA Cancer Center, Albert Einstein Medical Center Philadelphia, Pennsylvania.

出版信息

Clin Case Rep. 2015 Oct;3(10):845-8. doi: 10.1002/ccr3.363. Epub 2015 Sep 2.

Abstract

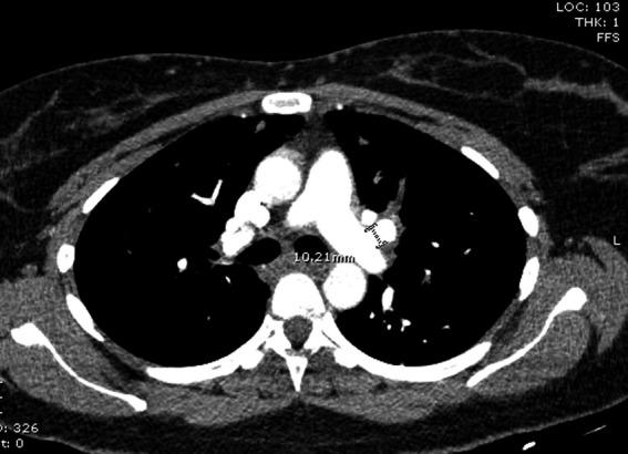
Pulmonary artery pseudoaneurysm is an uncommon yet fatal clinical entity. Its presentation can mimic a number of common diseases and can be easily missed. As pseudoaneurysm is associated with a number of fatal complications, clinicians should be aware of imaging features which distinguishes pseudoaneurysms from its close differentials. Early recognition and treatment of pseudoaneurysm can prevent fatal outcomes including hemothorax, rupture, or death.

摘要
https://cdn.ncbi.nlm.nih.gov/pmc/blobs/b85d/4614654/5b719d0f43da/ccr30003-0845-f1.jpg

文献AI研究员

20分钟写一篇综述,助力文献阅读效率提升50倍。

立即体验

用中文搜PubMed

大模型驱动的PubMed中文搜索引擎

马上搜索

文档翻译

学术文献翻译模型,支持多种主流文档格式。

立即体验