Suppr超能文献

葡萄胎样妊娠产物中11p15的父源半合子状态:两例报告

Paternal Hemizygosity in 11p15 in Mole-like Conceptuses: Two Case Reports.

作者信息

Sunde Lone, Lund Helle, J Sebire Neil, Grove Anni, Fisher Rosemary A, Niemann Isa, Kjeldsen Eigil, Andreasen Lotte, Hansen Estrid Staehr, Bojesen Anders, Bolund Lars, Nyegaard Mette

机构信息

From the Department of Clinical Genetics, Aarhus University Hospital, Aarhus N, Denmark (LS); Institute of Pathology, Aalborg University Hospital, Aalborg, Denmark (HL, AG); Trophoblastic Tumour Screening and Treatment Centre, Department of Oncology, Imperial College Healthcare NHS (NJS, RF); Institute of Child Health, University College London (NJS); Institute of Reproductive and Developmental Biology, Department of Surgery and Cancer, Imperial College London, London, UK (RF); Department of Gynaecology and Obstetrics, Aarhus University Hospital, Aarhus N (IN); Hemodiagnostic Laboratory, CancercytogeneticSection, Aarhus University Hospital, Aarhus C, Denmark (EK); Department of Immunology and Biochemistry, Vejle Sygehus, Vejle, Denmark (LA); Department of Pathology, Aarhus University Hospital, Aarhus C, Denmark (EH); Department of Clinical Genetics, Vejle Sygehus, Vejle, Denmark (AB); Department of Biomedicine, Aarhus University, Aarhus C, Denmark (LS, LB, MN); and Beijing Genomics Institute/HuaDa-Shenzhen, Shenzhen, China (LB).

出版信息

Medicine (Baltimore). 2015 Nov;94(44):e1776. doi: 10.1097/MD.0000000000001776.

Abstract

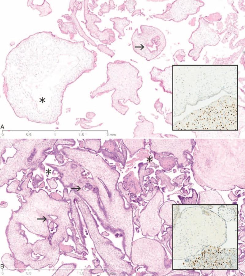
Hydatidiform mole is an abnormal human pregnancy characterized by the fetus being absent or nonviable, and the chorionic villi being vesicular and with trophoblastic hyperplasia. Most often, the mole phenotype is seen in conceptuses with an excess of paternally inherited genome set(s) relative to maternally inherited genome set(s), suggesting that the phenotype is caused by an excess of genome with a paternal imprinting pattern. However, it is unknown if correct parental origin of every imprinted gene is crucial for normal early differentiation or if abnormal parental imprinting of only one, or some, gene(s) can cause the mole phenotype.Two conceptuses included in the Danish Mole Project stood out since they presented with vesicular chorionic villi and without signs of fetal differentiation, and had apparently biparental diploid genomes, and no mutations in NLRP7 or KHDC3L were detected in the mothers. These conceptuses were subjected to a centralized histopathological revision and their genetic complements were scrutinized using fluorescence in situ hybridization, and DNA-marker and array comparative genomic hybridization analyses. Both conceptuses showed dysmorphic chorionic villi with some similarities to hydatidiform moles; however, no definite florid trophoblast hyperplasia was observed. Both conceptuses showed paternal hemizygosity of 11pter-11p15.4, most likely in nonmosaic state.Our findings suggest that the product of one (or a few) maternally expressed gene(s) on the tip of chromosome 11 is necessary for normal early embryonic differentiation. However, since the present two cases did not exhibit all features of hydatidiform moles, it is likely that abnormal parental imprinting of genes in other regions contribute to the phenotype of a hydatidiform mole.

摘要

葡萄胎是一种异常的人类妊娠,其特征是胎儿缺失或无法存活,绒毛膜绒毛呈水泡状且伴有滋养层细胞增生。大多数情况下,葡萄胎表型见于相对于母系遗传基因组而言父系遗传基因组过多的胚胎,这表明该表型是由具有父系印记模式的基因组过多所致。然而,尚不清楚每个印记基因的正确亲本来源对于正常早期分化是否至关重要,或者仅一个或一些基因的异常亲本印记是否会导致葡萄胎表型。丹麦葡萄胎项目中的两个胚胎引人注目,因为它们呈现出绒毛膜水泡状绒毛且无胎儿分化迹象,具有明显的双亲二倍体基因组,并且在母亲中未检测到NLRP7或KHDC3L的突变。对这些胚胎进行了集中的组织病理学复查,并使用荧光原位杂交、DNA标记和阵列比较基因组杂交分析对其基因组成进行了仔细检查。两个胚胎均显示出形态异常的绒毛膜绒毛,与葡萄胎有一些相似之处;然而,未观察到明确的显著滋养层细胞增生。两个胚胎均显示11号染色体末端存在父系半合子,很可能处于非镶嵌状态。我们的研究结果表明,11号染色体末端一个(或几个)母系表达基因的产物对于正常早期胚胎分化是必需的。然而,由于目前这两个病例并未表现出葡萄胎的所有特征,其他区域基因的异常亲本印记可能也对葡萄胎的表型有影响。

https://cdn.ncbi.nlm.nih.gov/pmc/blobs/1045/4915877/3468469e946c/medi-94-e1776-g002.jpg

文献AI研究员

20分钟写一篇综述,助力文献阅读效率提升50倍。

立即体验

用中文搜PubMed

大模型驱动的PubMed中文搜索引擎

马上搜索

文档翻译

学术文献翻译模型,支持多种主流文档格式。

立即体验