Fouda Mohamed A, Shokeir Ahmed A, Wafa Ehab W, Refaie Ayman F, El Diasty Tarek, Abdelrahim Mona, Sobh Mohamed A, Ghoneim Mohamed A
Urology and Nephrology Centre, Mansoura University, Mansoura, Egypt.
Arab J Urol. 2011 Dec;9(4):235-9. doi: 10.1016/j.aju.2011.10.013. Epub 2011 Dec 1.
To assess the predictive importance of ultrasonic grade 1 hyperechogenicity in potential live related kidney donors in the absence of urinary abnormalities and with perfect renal function.
The study included 34 potential living related kidney donors with this abnormality; their mean (SD, range) age was 32.7 (8.45, 23-48) years. Ten matched healthy donors with normal ultrasonographic appearance of the kidneys were studied as controls. All cases were thoroughly investigated, including measuring glomerular filtration rate by isotopic scintigraphy. The renal reserve was estimated by dopamine and amino-acid infusion in all subjects (study and control groups). A percutaneous renal biopsy was taken from 17 subjects in the abnormal echogenicity group and open renal biopsy was taken from eight of the control subjects.
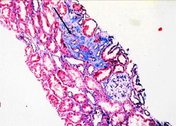
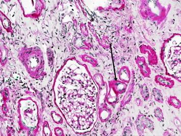
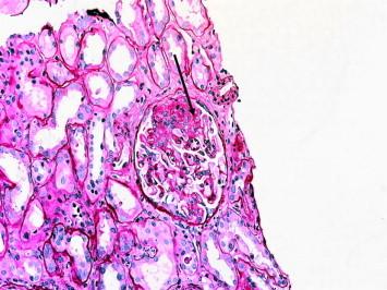
The renal reserve was comparable in both groups. Abnormal histopathological changes were found in seven subjects (41%) of the abnormal echogenicity group, i.e. partial glomerulosclerosis in one, mesangial thickening in two, interstitial fibrosis in one, focal tubular atrophy in one, immunoglobulin (Ig M) immune deposits in three and IgA in one. Only one subject in the control group showed mild mesangial thickening.
Grade 1 echogenicity might be a sign of unrecognized kidney disease. Renal biopsy is mandatory when such related donors are the only available ones. Abnormal histopathology contraindicates donation.