Suppr超能文献

非感染性皮肤病中的葡萄状细胞(多核角质形成细胞):病例系列及文献综述

Grape Cells (Multinucleated Keratinocytes) in Noninfectious Dermatoses: Case Series and Review of the Literature.

作者信息

Sweeney Sarah A, Sulit Daryl J, Adams Erin G, Shvartsman Katerina R, Rapini Ronald P

机构信息

*Department of Dermatology, MD Anderson Cancer Center, University of Texas Health Sciences Center at Houston, Houston, TX; †Department of Dermatology, Walter Reed National Military Medical Center, Bethesda, MD; and ‡Department of Obstetrics and Gynecology, Uniformed Services University of Health Sciences, Bethesda, MD.

出版信息

Am J Dermatopathol. 2015 Dec;37(12):e143-6. doi: 10.1097/DAD.0000000000000330.

Abstract

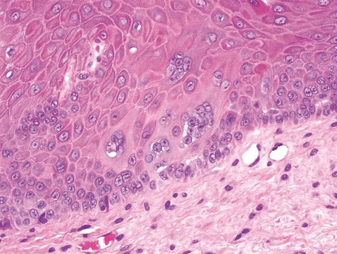
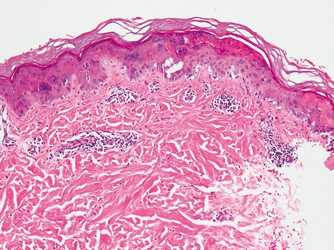
Multinucleated keratinocytes (also known as multinucleated epidermal giant cells) are a frequently overlooked histological finding in noninfectious inflammatory dermatoses. They are sometimes found in conditions characterized by chronic rubbing and pruritus, such as lichen simplex chronicus or prurigo nodularis, and may be a helpful clue in making the clinical diagnosis. This finding must be differentiated from other conditions characterized by multinucleated keratinocytes on histopathology, specifically herpes simplex, varicella zoster, or measles viral infections. The authors present a case series of 2 patients with unique clinical noninfectious diagnoses but similar histopathologic findings on biopsy. The histopathologic findings on both cases demonstrated multinucleated keratinocytes, which were related to manipulation of the epidermis.

摘要

多核角质形成细胞(也称为多核表皮巨细胞)是在非感染性炎症性皮肤病中经常被忽视的组织学表现。它们有时见于以慢性摩擦和瘙痒为特征的疾病,如慢性单纯性苔藓或结节性痒疹,可能是做出临床诊断的有用线索。这一表现必须与组织病理学上以多核角质形成细胞为特征的其他疾病相鉴别,特别是单纯疱疹、水痘带状疱疹或麻疹病毒感染。作者报告了一个病例系列,其中2例患者有独特的临床非感染性诊断,但活检时组织病理学表现相似。两例病例的组织病理学表现均显示多核角质形成细胞,这与表皮的人为因素有关。

https://cdn.ncbi.nlm.nih.gov/pmc/blobs/9b11/4894805/ec058d973cf6/ajd-37-e143-g001.jpg

文献AI研究员

20分钟写一篇综述,助力文献阅读效率提升50倍。

立即体验

用中文搜PubMed

大模型驱动的PubMed中文搜索引擎

马上搜索

文档翻译

学术文献翻译模型,支持多种主流文档格式。

立即体验