Suppr超能文献

使用钆塞酸二钠通过磁共振成像预测肝功能及病理情况:肝脏体积考量的影响

MR Prediction of Liver Function and Pathology Using Gd-EOB-DTPA: Effect of Liver Volume Consideration.

作者信息

Shimamoto Dai, Nishie Akihiro, Asayama Yoshiki, Ushijima Yasuhiro, Takayama Yukihisa, Fujita Nobuhiro, Shirabe Ken, Hida Tomoyuki, Kubo Yuichiro, Honda Hiroshi

机构信息

Department of Clinical Radiology, Graduate School of Medical Sciences, Kyushu University, 3-1-1 Maidashi, Higashi-ku, Fukuoka 812-8582, Japan.

Department of Surgery and Science, Graduate School of Medical Sciences, Kyushu University, 3-1-1 Maidashi, Higashi-ku, Fukuoka 812-8582, Japan.

出版信息

Biomed Res Int. 2015;2015:141853. doi: 10.1155/2015/141853. Epub 2015 Nov 1.

Abstract

PURPOSE

To evaluate whether the diagnostic performance of Gd-EOB-DTPA-enhanced MRI in evaluating liver function and pathology is improved by considering liver volume (LV).

METHODS

This retrospective study included 104 patients who underwent Gd-EOB-DTPA-enhanced MRI before liver surgery. For each patient, using the precontrast and hepatobiliary phase images, we calculated the increase rate of the liver-to-spleen signal intensity ratio (LSR), that is, the "ΔLSR," and the increase rate of the liver-to-muscle signal intensity ratio (LMR), that is, the "ΔLMR." ΔLSR × LV and ΔLMR × LV were also calculated. The correlation of each MR parameter with liver function data or liver pathology was assessed. The correlation coefficients were compared between ΔLSR (ΔLMR) and ΔLSR (ΔLMR) × LV.

RESULTS

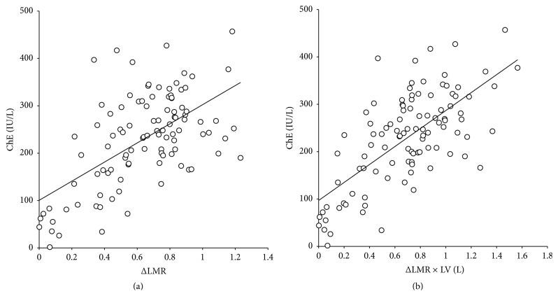
The correlation coefficient between ΔLSR (ΔLMR) × LV and cholinesterase was significantly higher than that between ΔLSR (ΔLMR) and cholinesterase. The correlation coefficient between ΔLSR (ΔLMR) × LV and the degree of fibrosis or necroinflammatory activity was significantly lower than that between ΔLSR (ΔLMR) and the degree of fibrosis or necroinflammatory activity.

CONCLUSION

The inclusion of liver volume may improve Gd-EOB-DTPA-based predictions of liver function, but not in predictions of liver pathology.

摘要

目的

通过考虑肝脏体积(LV)来评估钆塞酸二钠增强磁共振成像(Gd-EOB-DTPA-enhanced MRI)在评估肝功能和肝脏病理方面的诊断性能是否得到改善。

方法

这项回顾性研究纳入了104例在肝脏手术前行Gd-EOB-DTPA增强MRI检查的患者。对于每位患者,利用平扫和肝胆期图像,我们计算了肝脾信号强度比(LSR)的增加率,即“ΔLSR”,以及肝肌信号强度比(LMR)的增加率,即“ΔLMR”。还计算了ΔLSR×LV和ΔLMR×LV。评估了每个磁共振参数与肝功能数据或肝脏病理的相关性。比较了ΔLSR(ΔLMR)与ΔLSR(ΔLMR)×LV之间的相关系数。

结果

ΔLSR(ΔLMR)×LV与胆碱酯酶之间的相关系数显著高于ΔLSR(ΔLMR)与胆碱酯酶之间的相关系数。ΔLSR(ΔLMR)×LV与纤维化程度或坏死性炎症活动度之间的相关系数显著低于ΔLSR(ΔLMR)与纤维化程度或坏死性炎症活动度之间的相关系数。

结论

纳入肝脏体积可能会改善基于Gd-EOB-DTPA的肝功能预测,但对肝脏病理的预测并无改善。

https://cdn.ncbi.nlm.nih.gov/pmc/blobs/396e/4644534/8daf336de4d6/BMRI2015-141853.001.jpg

文献AI研究员

20分钟写一篇综述,助力文献阅读效率提升50倍。

立即体验

用中文搜PubMed

大模型驱动的PubMed中文搜索引擎

马上搜索

文档翻译

学术文献翻译模型,支持多种主流文档格式。

立即体验