Suppr超能文献

依库珠单抗用于抢救PM-Scl抗体阳性自身免疫重叠综合征中的血栓性微血管病。

Eculizumab for rescue of thrombotic microangiopathy in PM-Scl antibody-positive autoimmune overlap syndrome.

作者信息

Thomas Christie P, Nester Carla M, Phan Andrew C, Sharma Manisha, Steele Amanda L, Lenert Petar S

机构信息

Division of Nephrology, Department of Internal Medicine , Carver College of Medicine, The University of Iowa , Iowa City, IA , USA ; Stead Department of Pediatrics, Carver College of Medicine , The University of Iowa , Iowa City, IA , USA ; The VA Medical Center , Iowa City, IA , USA.

Division of Nephrology, Department of Internal Medicine , Carver College of Medicine, The University of Iowa , Iowa City, IA , USA ; Stead Department of Pediatrics, Carver College of Medicine , The University of Iowa , Iowa City, IA , USA.

出版信息

Clin Kidney J. 2015 Dec;8(6):698-701. doi: 10.1093/ckj/sfv101. Epub 2015 Oct 13.

Abstract

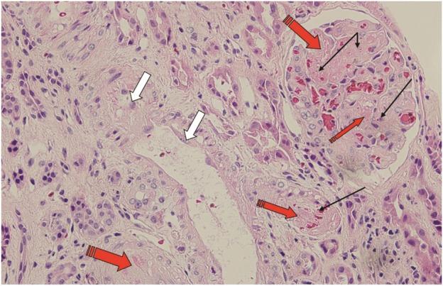
A 46-year-old female with interstitial lung disease presented with proximal muscle weakness, worsening hypertension, microangiopathic hemolysis, thrombocytopenia and deteriorating renal function. She had no sclerodactyly, but had abnormal capillaroscopy. She tested positive for PM-Scl antibodies, and a renal biopsy showed an acute thrombotic microangiopathy consistent with scleroderma renal crisis (SRC). She failed to respond to corticosteroids, plasmapheresis and renin-angiotensin pathway inhibitors. She recovered quickly with the anti-C5 antibody, eculizumab. She had no genetic abnormalities associated with atypical hemolytic uremic syndrome except a DNA variant of unknown significance in C3. This case suggests that eculizumab may be effective for SRC.

摘要

一名患有间质性肺病的46岁女性出现近端肌无力、高血压加重、微血管病性溶血、血小板减少及肾功能恶化。她没有硬皮病样手指改变,但毛细血管镜检查异常。她的PM - Scl抗体检测呈阳性,肾活检显示急性血栓性微血管病,符合硬皮病肾危象(SRC)。她对皮质类固醇、血浆置换及肾素 - 血管紧张素途径抑制剂治疗无效。使用抗C5抗体依库珠单抗后,她迅速康复。除了C3中一个意义不明的DNA变异外,她没有与非典型溶血性尿毒症综合征相关的基因异常。该病例提示依库珠单抗可能对SRC有效。

https://cdn.ncbi.nlm.nih.gov/pmc/blobs/0a45/4655803/90fb041191e6/sfv10101.jpg

文献AI研究员

20分钟写一篇综述,助力文献阅读效率提升50倍。

立即体验

用中文搜PubMed

大模型驱动的PubMed中文搜索引擎

马上搜索

文档翻译

学术文献翻译模型,支持多种主流文档格式。

立即体验