Suppr超能文献

上颌骨发生的巨大牙源性成釉细胞瘤:一例报告

Massive odontoameloblastoma arising in the maxilla: a case report.

作者信息

Kudoh Masanori, Harada Hiroyuki, Sato Yuriko, Omura Ken, Ishii Yoshimasa

机构信息

Division of Oral and Maxillofacial Surgery, Ebina General Hospital, 1320, Kawaraguchi, Ebina, Kanagawa, 243-0433, Japan.

Oral and Maxillofacial Surgery, Department of Oral Restitution, Division of Oral Health Sciences, Graduate School, Tokyo Medical and Dental University, 1-5-45 Yushima, Bunkyo-ku, Tokyo, 113-8549, Japan.

出版信息

J Med Case Rep. 2015 Dec 8;9:278. doi: 10.1186/s13256-015-0743-0.

Abstract

INTRODUCTION

Odontoameloblastoma is an extremely rare mixed odontogenic tumor with both epithelial and mesenchymal components. The term odontoameloblastoma first appeared in the 1971 World Health Organization classification (Pindborg JJ., et al.) and is defined as "a neoplasm that includes odontogenic ectomesenchyme in addition to odontogenic epithelium that resembles an ameloblastoma in both structures and behavior." Because of the aggressive nature and risk of recurrence of the tumor, complete resection is essential. In this report, we describe an extremely rare case of a patient with massive odontoameloblastoma arising in the maxilla and occupying maxillary sinus.

CASE PRESENTATION

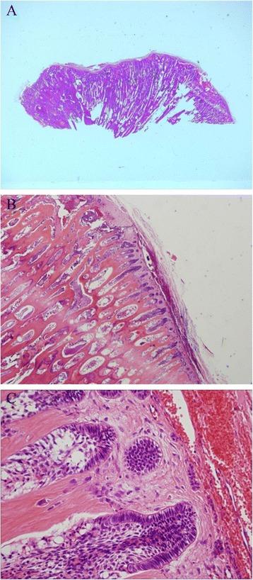
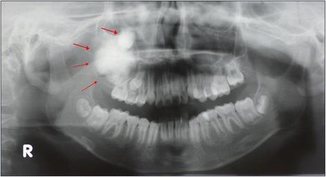
In 2013, an 11-year-old Japanese boy was referred to our department for a painless and large mass of the right maxillary region. A panoramic X-ray showed a unilocular cystic lesion in the right maxilla containing a calcified mass in the lesion associated with an impacted tooth. Computed tomography showed a cystic lesion that included calcified structures and measured 3.6×3.1×2.7 cm. In 2013, the patient underwent tumor extirpation combined with impacted tooth extraction. The histopathological diagnosis was an odontoameloblastoma. No recurrence was noted 27 months after the operation.

CONCLUSIONS

The patient has undergone postoperative occlusal guidance and functional orthodontic treatment, and his postoperative condition is excellent. However, postoperative recurrence or malignant transformation can occur in cases of odontoameloblastoma, and close long-term follow-up will be continued for our patient.

摘要

引言

牙源性成釉细胞瘤是一种极为罕见的混合性牙源性肿瘤,具有上皮和间充质成分。“牙源性成釉细胞瘤”这一术语首次出现在1971年世界卫生组织分类中(平德伯格JJ等人),定义为“一种除了牙源性上皮外还包括牙源性外间充质的肿瘤,其结构和行为类似于成釉细胞瘤”。由于该肿瘤具有侵袭性和复发风险,完整切除至关重要。在本报告中,我们描述了一例极为罕见的病例,一名患者上颌骨出现巨大牙源性成釉细胞瘤并占据上颌窦。

病例介绍

2013年,一名11岁日本男孩因右上颌区域无痛性巨大肿物被转诊至我科。全景X线片显示右上颌骨有一单房囊性病变,病变内有一钙化肿物,与一颗阻生牙有关。计算机断层扫描显示一个包含钙化结构的囊性病变,大小为3.6×3.1×2.7厘米。2013年,患者接受了肿瘤切除并拔除了阻生牙。组织病理学诊断为牙源性成釉细胞瘤。术后27个月未发现复发。

结论

该患者接受了术后咬合引导和功能性正畸治疗,术后情况良好。然而,牙源性成釉细胞瘤病例术后可能发生复发或恶变,我们将对该患者继续进行密切的长期随访。

https://cdn.ncbi.nlm.nih.gov/pmc/blobs/1cac/4672545/51c8beb0a340/13256_2015_743_Fig1_HTML.jpg

文献AI研究员

20分钟写一篇综述,助力文献阅读效率提升50倍。

立即体验

用中文搜PubMed

大模型驱动的PubMed中文搜索引擎

马上搜索

文档翻译

学术文献翻译模型,支持多种主流文档格式。

立即体验