Suppr超能文献

促红细胞生成素与亚硒酸钠联合治疗对缺血/再灌注诱导的肾损伤的保护作用。

Protection against ischemia/reperfusion‑induced renal injury by co‑treatment with erythropoietin and sodium selenite.

作者信息

Liu Lu, Liu Chao, Hou Lan, Lv Juan, Wu Fang, Yang Xuefei, Ren Shuting, Ji Wenjun, Wang Meng, Chen Lina

机构信息

Department of Clinical Medicine, College of Clinical Medicine, Xi'an Jiaotong University Health Science Center, Xi'an, Shaanxi 710061, P.R. China.

Department of Pharmacology, College of Basic Medicine, Xi'an Jiaotong University Health Science Center, Xi'an, Shaanxi 710061, P.R. China.

出版信息

Mol Med Rep. 2015 Dec;12(6):7933-40. doi: 10.3892/mmr.2015.4426. Epub 2015 Oct 9.

Abstract

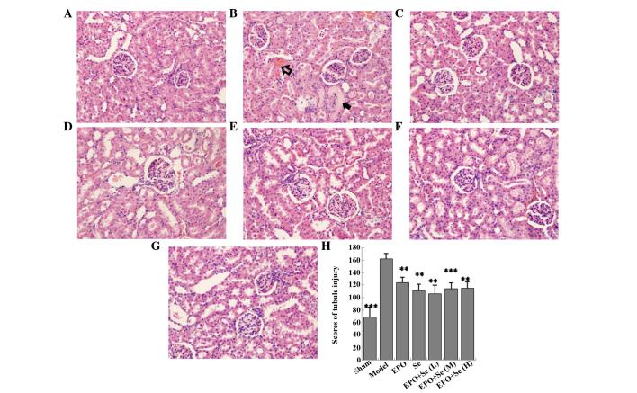
Ischemia/reperfusion injury (IRI) has lzong been an area of concern and focus of investigations. Erythropoietin (EPO) exhibits multiple protective effects, and selenium is an antioxidant trace element in the body, however, there have been no reports concerning the effects of EPO combined with sodium selenite on IRI. In the present study, a mouse model of renal IRI (RIRI) was pre‑treated with EPO and sodium selenite to determine the most appropriate combination ratio of the two for further investigation. The results revealed that EPO and sodium selenite had synergistic protective effects in RIRI. EPO was identified as the predominant treatment component, with sodium selenite serving as an adjuvant, and combination treatment was markedly more effective, compared with treatment with either drug alone. The optimal ratio of treatment was 10:1 (10 IU EPO: 1 µg sodium selenite). The results indicated that RIRI markedly induced renal injury, as evidenced by elevated levels of blood urea nitrogen (BUN), as well as higher pathological scores, based on hematoxylin and eosin staining. Pre‑treatment with EPO and sodium selenite significantly decreased serum expression levels of BUN and malonaldehyde, and increased the expression levels of superoxide dismutase, glutathione peroxidase and nitric oxide (NO), compared with the model group. Furthermore, co‑treatment with EPO and sodium selenite upregulated the protein expression levels of phosphatidylinositol‑3 kinase (PI3K) in renal tissue samples. Together, the results suggested that co‑administration of EPO and sodium selenite effectively ameliorates IRI‑induced renal injury by reducing oxidative stress and activating the PI3K/NO signaling pathway.

摘要

缺血/再灌注损伤(IRI)长期以来一直是备受关注和研究的领域。促红细胞生成素(EPO)具有多种保护作用,而硒是体内一种抗氧化微量元素,然而,尚无关于EPO与亚硒酸钠联合应用对IRI影响的报道。在本研究中,对肾IRI(RIRI)小鼠模型进行EPO和亚硒酸钠预处理,以确定两者最合适的组合比例,以便进一步研究。结果显示,EPO和亚硒酸钠在RIRI中具有协同保护作用。确定EPO为主要治疗成分,亚硒酸钠为佐剂,与单独使用任何一种药物相比,联合治疗明显更有效。最佳治疗比例为10:1(10 IU EPO:1 μg亚硒酸钠)。结果表明,RIRI显著诱导肾损伤,血尿素氮(BUN)水平升高以及苏木精-伊红染色显示的更高病理评分证明了这一点。与模型组相比,EPO和亚硒酸钠预处理显著降低了血清BUN和丙二醛表达水平,并提高了超氧化物歧化酶、谷胱甘肽过氧化物酶和一氧化氮(NO)的表达水平。此外,EPO和亚硒酸钠联合治疗上调了肾组织样本中磷脂酰肌醇-3激酶(PI3K)的蛋白表达水平。总之,结果表明,EPO和亚硒酸钠联合给药通过减轻氧化应激和激活PI3K/NO信号通路有效改善IRI诱导的肾损伤。

https://cdn.ncbi.nlm.nih.gov/pmc/blobs/7d37/4758319/c4425675a7ba/MMR-12-06-7933-g00.jpg

文献AI研究员

20分钟写一篇综述,助力文献阅读效率提升50倍。

立即体验

用中文搜PubMed

大模型驱动的PubMed中文搜索引擎

马上搜索

文档翻译

学术文献翻译模型,支持多种主流文档格式。

立即体验