Suppr超能文献

一氧化氮合酶在癌性骨痛发展中的作用及 L-NMMA 的影响。

Role of nitric oxide synthase in the development of bone cancer pain and effect of L-NMMA.

机构信息

Department of Anesthesiology, Affiliated Drum‑Tower Hospital, Medical School of Nanjing University, Nanjing, Jiangsu 210008, P.R. China.

出版信息

Mol Med Rep. 2016 Feb;13(2):1220-6. doi: 10.3892/mmr.2015.4647. Epub 2015 Dec 7.

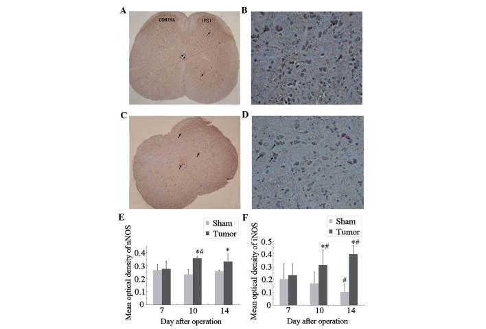
Abstract

Spinal nitric oxide is involved in the mechanisms of pain generation and transmission during inflammatory and neuropathic pain. The aim of the present study was to explore the role of spinal nitric oxide in the development of bone cancer pain. 2 x 10(5) osteosarcoma cells were implanted into the intramedullary space of right femurs of C3H/HeJ mice to induce a model of ongoing bone cancer. Polymerase chain reaction and immunohistochemical analyses were performed to assess the expression of neuronal nitric oxide synthase (nNOS) and inducible (i)NOS in the spinal cord following inoculation. The results showed that inoculation of osteosarcoma cells induced progressive bone cancer, accompanied with pain-associated behavior. The levels of nNOS mRNA in the spinal cord of tumor mice began to increase at day 10 and then decreased to the level in sham mice at day 14, while iNOS mRNA markedly increased in the tumor group at days 10 and 14. Immunohistochemical analysis showed that nNOS- and iNOS-positive neurons were mainly located in the superficial dorsal horn and around the central canal of the L3-L5 spinal cord. Intrathecal injection of 50 µg NOS inhibitor NG-monomethyl-L-arginine (L-NMMA) attenuated cancer-evoked pain behaviors at day 14. These findings indicated that an upregulation of nNOS and iNOS in the spinal cord is associated with bone cancer pain and suggests that exogenously administered L-NMMA may have beneficial effects to alleviate bone cancer pain.

摘要

脊髓一氧化氮参与炎症性和神经性疼痛期间疼痛产生和传递的机制。本研究旨在探讨脊髓一氧化氮在骨癌痛发展中的作用。将 2 x 10(5)骨肉瘤细胞植入 C3H/HeJ 小鼠右股骨髓腔内,诱导持续性骨癌模型。聚合酶链反应和免疫组织化学分析用于评估接种后脊髓中神经元型一氧化氮合酶(nNOS)和诱导型(iNOS)的表达。结果表明,骨肉瘤细胞接种诱导进行性骨癌,并伴有与疼痛相关的行为。肿瘤小鼠脊髓中 nNOS mRNA 的水平在第 10 天开始增加,然后在第 14 天降至假手术组水平,而 iNOS mRNA 在肿瘤组在第 10 和 14 天显著增加。免疫组织化学分析表明,nNOS-和 iNOS 阳性神经元主要位于 L3-L5 脊髓的背角浅层和中央管周围。鞘内注射 50 µg NOS 抑制剂 NG-单甲基-L-精氨酸(L-NMMA)可减轻第 14 天的癌诱发痛行为。这些发现表明脊髓中 nNOS 和 iNOS 的上调与骨癌痛有关,并表明外源性给予 L-NMMA 可能对缓解骨癌痛具有有益作用。

https://cdn.ncbi.nlm.nih.gov/pmc/blobs/2dad/4732828/8bd9c3944e2a/MMR-13-02-1220-g00.jpg

文献AI研究员

20分钟写一篇综述,助力文献阅读效率提升50倍。

立即体验

用中文搜PubMed

大模型驱动的PubMed中文搜索引擎

马上搜索

文档翻译

学术文献翻译模型,支持多种主流文档格式。

立即体验