• 文献检索
  • 文档翻译
  • 深度研究
  • 学术资讯
  • Suppr Zotero 插件Zotero 插件
  • 邀请有礼
  • 套餐&价格
  • 历史记录
应用&插件
Suppr Zotero 插件Zotero 插件浏览器插件Mac 客户端Windows 客户端微信小程序
定价
高级版会员购买积分包购买API积分包
服务
文献检索文档翻译深度研究API 文档MCP 服务
关于我们
关于 Suppr公司介绍联系我们用户协议隐私条款
关注我们

Suppr 超能文献

核心技术专利:CN118964589B侵权必究
粤ICP备2023148730 号-1Suppr @ 2026

文献检索

告别复杂PubMed语法,用中文像聊天一样搜索,搜遍4000万医学文献。AI智能推荐,让科研检索更轻松。

立即免费搜索

文件翻译

保留排版,准确专业,支持PDF/Word/PPT等文件格式,支持 12+语言互译。

免费翻译文档

深度研究

AI帮你快速写综述,25分钟生成高质量综述,智能提取关键信息,辅助科研写作。

立即免费体验

足球比赛中腹部钝性创伤导致梅克尔憩室外伤性破裂:一例报告

Traumatic rupture of a Meckel's diverticulum due to blunt abdominal trauma in a soccer game: A case report.

作者信息

Tummers W S, van der Vorst J R, Swank D J

机构信息

Department of Surgery, Groene Hart Hospital, Gouda, the Netherlands.

出版信息

Int J Surg Case Rep. 2016;19:8-10. doi: 10.1016/j.ijscr.2015.12.002. Epub 2015 Dec 7.

DOI:10.1016/j.ijscr.2015.12.002
PMID:26701844
原文链接:https://pmc.ncbi.nlm.nih.gov/articles/PMC4756096/
Abstract

INTRODUCTION

a Meckel's diverticulum is one of the most common congenital anomalies of the digestive tract. The reported lifetime complication rate is 4%, mostly due to hemorrhage, obstruction, perforation or inflammation. A symptomatic Meckel's diverticulum due to rupture after blunt abdominal trauma is very rare. We believe this case report is the first reporting a rupture of a Meckel's diverticulum after a low velocity blunt abdominal trauma and outlining the importance of a thorough and complete examination of the patient after blunt abdominal trauma.

PRESENTATION OF CASE

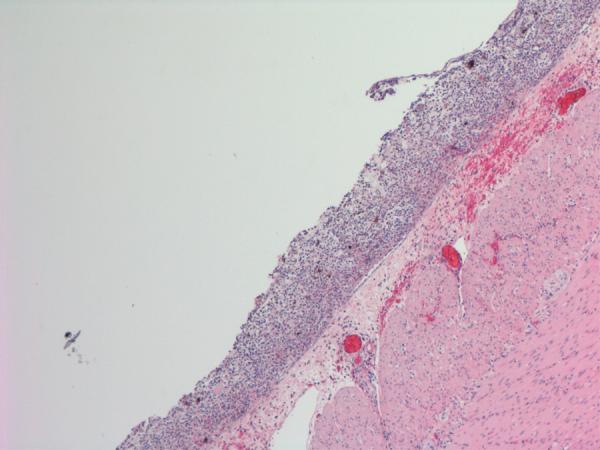
a 17-year-old male presented with abdominal pain after blunt abdominal trauma during a soccer game. Physical examination showed signs of peritonitis in all quadrants of the abdomen. During admission the patient deteriorated with decreasing blood pressure and raising pulse rate. A CT-scan showed free abdominal fluid. Our patient was scheduled for an emergent laparotomy where a perforated Meckel's diverticulum with fecal spill was found. A segmental ileal resection was performed. Post-operative, patient developed a pneumonia and also intra-abdominal abscesses treated with percutaneous drainage. After an admission period of 17-days the patient was discharged.

CONCLUSION

perforation of a Meckel's diverticulum is rarely suspected as a cause of acute deterioration following blunt abdominal trauma. This case shows the importance of awareness of this kind of injury especially in male patients.

摘要

引言

梅克尔憩室是最常见的消化道先天性异常之一。报道的终生并发症发生率为4%,主要原因是出血、梗阻、穿孔或炎症。因钝性腹部创伤后破裂导致的有症状梅克尔憩室非常罕见。我们认为本病例报告是首例报道低速钝性腹部创伤后梅克尔憩室破裂,并概述了钝性腹部创伤后对患者进行全面彻底检查的重要性。

病例介绍

一名17岁男性在足球比赛中遭受钝性腹部创伤后出现腹痛。体格检查显示腹部所有象限均有腹膜炎体征。入院期间,患者病情恶化,血压下降,脉搏加快。CT扫描显示腹腔内有游离液体。我们的患者被安排进行急诊剖腹手术,术中发现一个穿孔的梅克尔憩室并有粪便溢出。进行了部分回肠切除术。术后,患者发生肺炎,还出现腹腔内脓肿,经皮引流治疗。住院17天后患者出院。

结论

梅克尔憩室穿孔很少被怀疑是钝性腹部创伤后急性病情恶化的原因。本病例显示了认识这种损伤的重要性,尤其是在男性患者中。

https://cdn.ncbi.nlm.nih.gov/pmc/blobs/0282/4756096/2a481ddcb645/gr3.jpg
https://cdn.ncbi.nlm.nih.gov/pmc/blobs/0282/4756096/34461c5117cd/gr1.jpg
https://cdn.ncbi.nlm.nih.gov/pmc/blobs/0282/4756096/ec86abdf3e71/gr2.jpg
https://cdn.ncbi.nlm.nih.gov/pmc/blobs/0282/4756096/2a481ddcb645/gr3.jpg
https://cdn.ncbi.nlm.nih.gov/pmc/blobs/0282/4756096/34461c5117cd/gr1.jpg
https://cdn.ncbi.nlm.nih.gov/pmc/blobs/0282/4756096/ec86abdf3e71/gr2.jpg
https://cdn.ncbi.nlm.nih.gov/pmc/blobs/0282/4756096/2a481ddcb645/gr3.jpg

相似文献

1
Traumatic rupture of a Meckel's diverticulum due to blunt abdominal trauma in a soccer game: A case report.足球比赛中腹部钝性创伤导致梅克尔憩室外伤性破裂:一例报告
Int J Surg Case Rep. 2016;19:8-10. doi: 10.1016/j.ijscr.2015.12.002. Epub 2015 Dec 7.
2
Significant bleeding from Meckel's diverticulum after blunt abdominal trauma: a case report.钝性腹部创伤后梅克尔憩室大量出血:一例报告
J Med Case Rep. 2018 Sep 19;12(1):269. doi: 10.1186/s13256-018-1799-4.
3
Isolated Meckel's diverticulum perforation as a sequel to blunt abdominal trauma: a case report.孤立性梅克尔憩室穿孔作为钝性腹部创伤的后遗症:一例报告
J Med Case Rep. 2014 Apr 2;8:111. doi: 10.1186/1752-1947-8-111.
4
Ruptured Meckel's mesodiverticulum and Meckel's diverticulum following blunt abdominal trauma.钝性腹部创伤后梅克尔中肠憩室破裂及梅克尔憩室
Med Princ Pract. 2008;17(2):161-3. doi: 10.1159/000112973. Epub 2008 Feb 19.
5
Presentation of Perforated Meckel's Diverticulum and Phlegmon: A Case Report.穿孔性梅克尔憩室并蜂窝织炎的病例报告
Cureus. 2024 Feb 2;16(2):e53460. doi: 10.7759/cureus.53460. eCollection 2024 Feb.
6
A gastrointestinal stromal tumor found in perforated Meckel's diverticulum.在穿孔的梅克尔憩室中发现的胃肠道间质瘤。
Surg Case Rep. 2016 Dec;2(1):67. doi: 10.1186/s40792-016-0196-8. Epub 2016 Jun 29.
7
Spontaneous perforation of Meckel's diverticulum: a case report and review of literature.梅克尔憩室自发性穿孔:一例病例报告及文献综述
Pan Afr Med J. 2015 Apr 1;20:319. doi: 10.11604/pamj.2015.20.319.5980. eCollection 2015.
8
Perforation of the Meckel's diverticulum with a chicken bone: a case report and literature review.梅克尔憩室被鸡骨穿孔:一例报告及文献综述
Surg Case Rep. 2019 Feb 1;5(1):15. doi: 10.1186/s40792-019-0577-x.
9
A case of retroperitoneal abscess: A rare complication of Meckel's diverticulum.一例腹膜后脓肿:梅克尔憩室的罕见并发症。
Int J Surg Case Rep. 2017;41:150-153. doi: 10.1016/j.ijscr.2017.10.012. Epub 2017 Oct 14.
10
Case report: preoperatively diagnosed perforated Meckel's diverticulum containing gastric and pancreatic-type mucosa.病例报告:术前诊断为含有胃和胰腺型黏膜的梅克尔憩室穿孔。
BMC Surg. 2017 Apr 11;17(1):36. doi: 10.1186/s12893-017-0236-8.

引用本文的文献

1
Meckel's Diverticulum Injuries after Blunt Trauma.钝性创伤后梅克尔憩室损伤
J Clin Med. 2024 Mar 12;13(6):1614. doi: 10.3390/jcm13061614.
2
Spontaneous perforation and intraabdominal abscess due to Meckel's diverticulum revealed on SPECT/CT with 99m-technetium pertechnetate: A case report.锝-99m高锝酸盐SPECT/CT显示梅克尔憩室所致自发性穿孔和腹腔内脓肿:病例报告
Medicine (Baltimore). 2018 Oct;97(43):e13004. doi: 10.1097/MD.0000000000013004.
3
Unique presentation of a ruptured Meckel's diverticulum after blunt trauma.钝性创伤后梅克尔憩室破裂的独特表现。

本文引用的文献

1
Isolated Meckel's diverticulum perforation as a sequel to blunt abdominal trauma: a case report.孤立性梅克尔憩室穿孔作为钝性腹部创伤的后遗症:一例报告
J Med Case Rep. 2014 Apr 2;8:111. doi: 10.1186/1752-1947-8-111.
2
The CARE guidelines: consensus-based clinical case report guideline development.CARE 指南:基于共识的临床病例报告指南制定。
J Clin Epidemiol. 2014 Jan;67(1):46-51. doi: 10.1016/j.jclinepi.2013.08.003. Epub 2013 Sep 12.
3
Seatbelt syndrome associated with an isolated rectal injury: case report.安全带综合征合并孤立性直肠损伤:病例报告。
BMJ Case Rep. 2018 May 16;2018:bcr-2018-224751. doi: 10.1136/bcr-2018-224751.
4
Spontaneous perforation of Meckel diverticulum: A case report.梅克尔憩室自发性穿孔:一例报告。
Medicine (Baltimore). 2017 Dec;96(52):e9506. doi: 10.1097/MD.0000000000009506.
5
Transthoracic Littre's hernia presenting with faecopneumothorax following perforation of the Meckel's diverticulum: a late complication of oesophagectomy.经胸壁的利特雷疝,在梅克尔憩室穿孔后出现粪气胸:食管切除术后的晚期并发症。
BMJ Case Rep. 2017 Oct 20;2017:bcr-2017-220902. doi: 10.1136/bcr-2017-220902.
6
Facing Terminal Ileitis: Going Beyond Crohn's Disease.直面末端回肠炎:超越克罗恩病
Gastroenterology Res. 2016 Feb;9(1):1-9. doi: 10.14740/gr698w. Epub 2016 Mar 8.
World J Emerg Surg. 2010 Feb 4;5(1):4. doi: 10.1186/1749-7922-5-4.
4
Ruptured Meckel's mesodiverticulum and Meckel's diverticulum following blunt abdominal trauma.钝性腹部创伤后梅克尔中肠憩室破裂及梅克尔憩室
Med Princ Pract. 2008;17(2):161-3. doi: 10.1159/000112973. Epub 2008 Feb 19.
5
High incidence of symptomatic Meckel's diverticulum in patients less than fifty years of age: an indication for resection.50岁以下患者中症状性梅克尔憩室的高发病率:手术切除的指征。
Am Surg. 2007 Mar;73(3):271-5.
6
Perforated Meckel's diverticulum in a child after blunt abdominal trauma.钝性腹部创伤后儿童的梅克尔憩室穿孔
J Trauma. 2007 Nov;63(5):1167-8. doi: 10.1097/01.ta.0000223940.42486.c8.
7
Meckel diverticulum: the Mayo Clinic experience with 1476 patients (1950-2002).梅克尔憩室:梅奥诊所对1476例患者的治疗经验(1950 - 2002年)
Ann Surg. 2005 Mar;241(3):529-33. doi: 10.1097/01.sla.0000154270.14308.5f.
8
Diverticulectomy is inadequate treatment for short Meckel's diverticulum with heterotopic mucosa.憩室切除术对于伴有异位黏膜的短梅克尔憩室而言是不充分的治疗方法。
ANZ J Surg. 2004 Oct;74(10):869-72. doi: 10.1111/j.1445-1433.2004.03191.x.
9
Perforated Meckel's diverticulum following blunt abdominal trauma.钝性腹部创伤后梅克尔憩室穿孔
J Trauma. 1970 Aug;10(8):706-7.
10
Meckel's diverticulum.梅克尔憩室
Am J Gastroenterol. 1990 Jul;85(7):777-81.