Suppr超能文献

颞浅动脉创伤性动静脉瘘

Traumatic arteriovenous fistula of the superficial temporal artery.

作者信息

Asai Katsunori, Tani Shoichi, Imai Yukihiro, Mineharu Yohei, Sakai Nobuyuki

机构信息

Department of Neurosurgery, Kobe City Medical Center General Hospital, Kobe, Hyogo, Japan Department of Neurosurgery, Osaka University Medical School, Suita, Osaka, Japan

Department of Neurosurgery, Kobe City Medical Center General Hospital, Kobe, Hyogo, Japan.

出版信息

J Surg Case Rep. 2015 Dec 23;2015(12):rjv156. doi: 10.1093/jscr/rjv156.

Abstract

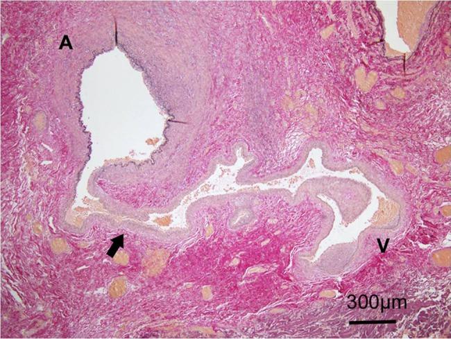
Traumatic arteriovenous fistula (AVF) of the superficial temporal artery (STA) is rare. We report a case of surgically treated, histopathologically confirmed traumatic AVF of the STA. A 24-year-old male was admitted to our hospital after a traffic accident. Computed tomography scan on admission showed an acute epidural hematoma on the right surface of frontal lobe, which was emergently treated by surgical evacuation. One month later, he was aware of pulsatile tinnitus around the left ear. Digital subtraction angiogram showed an AVF, mainly fed by the left STA. After total removal of the fistula, his tinnitus immediately disappeared. Histopathological examination demonstrated that the artery was connected to the vein through the thin-walled vessels lacking internal elastic lamina and muscularized media, suggesting that the connecting vessels were newly formed.

摘要

颞浅动脉创伤性动静脉瘘(AVF)较为罕见。我们报告一例经手术治疗、组织病理学确诊的颞浅动脉创伤性AVF病例。一名24岁男性在交通事故后入院。入院时的计算机断层扫描显示右额叶表面急性硬膜外血肿,遂紧急行手术清除。1个月后,他感觉到左耳周围有搏动性耳鸣。数字减影血管造影显示一个AVF,主要由左颞浅动脉供血。瘘管完全切除后,他的耳鸣立即消失。组织病理学检查表明,动脉通过缺乏内弹性膜和肌化中膜的薄壁血管与静脉相连,提示这些连接血管是新形成的。

https://cdn.ncbi.nlm.nih.gov/pmc/blobs/57f6/4690004/f76f291877c0/rjv15601.jpg

文献AI研究员

20分钟写一篇综述,助力文献阅读效率提升50倍。

立即体验

用中文搜PubMed

大模型驱动的PubMed中文搜索引擎

马上搜索

文档翻译

学术文献翻译模型,支持多种主流文档格式。

立即体验