Suppr超能文献

伴有蛛网膜下腔出血非典型影像学表现的脑淀粉样血管病

Cerebral amyloid angiopathy with atypical imagingfindings of subarachnoid hemorrhage.

作者信息

Tempaku Akira, Ikeda Hidetoshi, Nitta Kazumi

机构信息

Department of Neurosurgery, Hokuto Hospital, Japan.

出版信息

J Rural Med. 2015;10(2):84-8. doi: 10.2185/jrm.2898. Epub 2015 Dec 23.

Abstract

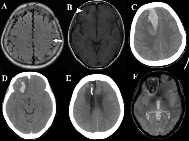
Cerebral amyloid angiopathy (CAA) is observed in most cases of nonhypertensive subcortical hemorrhage involving elderly patients. We herein describe the case of a female in whom a convexal subarachnoid hemorrhage was observed at 55 years of age. The cerebral hemorrhage occurred repeatedly; however, no obvious vascular lesions were observed on a cerebral angiography, and no signs of microbleeding or lesions in the deep white matter were identified on magnetic resonance imaging (MRI). Partial excision of the right frontal cortex and hematoma evacuation were performed, and histopathological examination showed deposition of an acidophilic substance with positive staining for Direct Fast Scarlet (DFS) in the cerebral vascular wall. Finally, brain hemorrhage due to CAA was diagnosed. This case suggests that CAA is an important differential diagnosis in patients with localized non-aneurysmal subarachnoid hemorrhage in the convexity sulcus.

摘要

脑淀粉样血管病(CAA)在大多数涉及老年患者的非高血压性皮质下出血病例中均可观察到。我们在此描述一例55岁女性患者,其脑凸面蛛网膜下腔出血。脑出血反复发生;然而,脑血管造影未观察到明显的血管病变,磁共振成像(MRI)也未发现微出血迹象或深部白质病变。进行了右额叶皮质部分切除术及血肿清除术,组织病理学检查显示脑血管壁有嗜酸性物质沉积,对直接耐晒猩红(DFS)染色呈阳性。最终,诊断为CAA所致脑出血。该病例提示,CAA是脑沟凸面局限性非动脉瘤性蛛网膜下腔出血患者的重要鉴别诊断。

https://cdn.ncbi.nlm.nih.gov/pmc/blobs/6665/4689737/4fcc61135692/jrm-10-084-g001.jpg

文献AI研究员

20分钟写一篇综述,助力文献阅读效率提升50倍。

立即体验

用中文搜PubMed

大模型驱动的PubMed中文搜索引擎

马上搜索

文档翻译

学术文献翻译模型,支持多种主流文档格式。

立即体验