Suppr超能文献

微小RNA-129-5p通过靶向高迁移率族蛋白B1减弱辐射诱导的自噬并降低乳腺癌细胞的放射抗性。

mir-129-5p Attenuates Irradiation-Induced Autophagy and Decreases Radioresistance of Breast Cancer Cells by Targeting HMGB1.

作者信息

Luo Jing, Chen Jie, He Li

机构信息

Department of Breast Surgery, Sichuan Academy of Medical Science & Sichuan Provincial People's Hospital, School of Clinical Medicine, University of Electronic Science and Technology of China, Chengdu, Sichuan, China (mainland).

Graduate School, Zunyi Medical University, Zunyi, Guizhou, China (mainland).

出版信息

Med Sci Monit. 2015 Dec 31;21:4122-9. doi: 10.12659/msm.896661.

Abstract

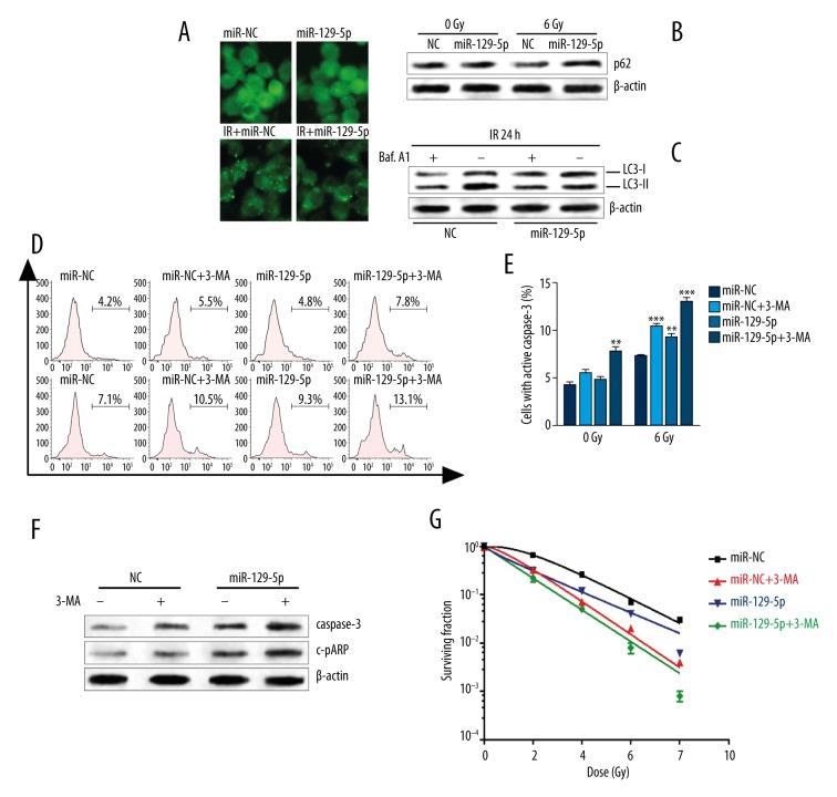
BACKGROUND This study aimed to determine the role of miR-129-5p in irradiation-induced autophagy in breast cancer cells and to investigate its downstream regulation in autophagy-related radiosensitivity. MATERIAL AND METHODS Relative miR-129-5p expression in breast cancer cell lines MCF-7, MDA-MB-231, BT474, and BT549, and in 1 non-tumorigenic breast epithelial cell line, MCF-10A, was compared. The effect of miR-129-5p on irradiation-induced autophagy and radiosensitivity of the cancer cells was explored. The regulative effect of miR-129-5p on HMGB1 and the functional role of this axis in autophagy and radiosensitivity were also studied. RESULTS Ectopic expression of miR-129-5p sensitized MDA-MD-231 cells to irradiation, while knockdown of miR-129-5p reduced radiosensitivity of MCF-7 cells. MiR-129-5p overexpression inhibited irradiation-induced autophagy. HMGB1 is a direct functional target of miR-129-5p in breast cancer cells. MiR-129-5p may suppress autophagy and decrease radioresistance of breast cancer cells by targeting HMGB1. CONCLUSIONS The miR-129-5p/HMGB1 axis can regulate irradiation-induced autophagy in breast cancer and might be an important pathway in regulating radiosensitivity of breast cancer cells.

摘要

背景 本研究旨在确定miR-129-5p在乳腺癌细胞辐射诱导自噬中的作用,并研究其在自噬相关放射敏感性中的下游调控机制。材料与方法 比较了乳腺癌细胞系MCF-7、MDA-MB-231、BT474和BT549以及1种非致瘤性乳腺上皮细胞系MCF-10A中miR-129-5p的相对表达。探讨miR-129-5p对癌细胞辐射诱导自噬和放射敏感性的影响。还研究了miR-129-5p对HMGB1的调控作用以及该轴在自噬和放射敏感性中的功能作用。结果 miR-129-5p的异位表达使MDA-MD-231细胞对辐射敏感,而敲低miR-129-5p降低了MCF-7细胞的放射敏感性。miR-129-5p过表达抑制辐射诱导的自噬。HMGB1是乳腺癌细胞中miR-129-5p的直接功能靶点。miR-129-5p可能通过靶向HMGB1抑制自噬并降低乳腺癌细胞的放射抗性。结论 miR-129-5p/HMGB1轴可调节乳腺癌中辐射诱导的自噬,可能是调节乳腺癌细胞放射敏感性的重要途径。

https://cdn.ncbi.nlm.nih.gov/pmc/blobs/f63f/4700864/6d36750e8aaf/medscimonit-21-4122-g001.jpg

文献AI研究员

20分钟写一篇综述,助力文献阅读效率提升50倍。

立即体验

用中文搜PubMed

大模型驱动的PubMed中文搜索引擎

马上搜索

文档翻译

学术文献翻译模型,支持多种主流文档格式。

立即体验