• 文献检索
  • 文档翻译
  • 深度研究
  • 学术资讯
  • Suppr Zotero 插件Zotero 插件
  • 邀请有礼
  • 套餐&价格
  • 历史记录
应用&插件
Suppr Zotero 插件Zotero 插件浏览器插件Mac 客户端Windows 客户端微信小程序
定价
高级版会员购买积分包购买API积分包
服务
文献检索文档翻译深度研究API 文档MCP 服务
关于我们
关于 Suppr公司介绍联系我们用户协议隐私条款
关注我们

Suppr 超能文献

核心技术专利:CN118964589B侵权必究
粤ICP备2023148730 号-1Suppr @ 2026

文献检索

告别复杂PubMed语法,用中文像聊天一样搜索,搜遍4000万医学文献。AI智能推荐,让科研检索更轻松。

立即免费搜索

文件翻译

保留排版,准确专业,支持PDF/Word/PPT等文件格式,支持 12+语言互译。

免费翻译文档

深度研究

AI帮你快速写综述,25分钟生成高质量综述,智能提取关键信息,辅助科研写作。

立即免费体验

可溶性MICA和NKG2D的异常表达水平与胰腺癌的不良预后相关。

Abnormal expression levels of sMICA and NKG2D are correlated with poor prognosis in pancreatic cancer.

作者信息

Chen Jiong, Xu Hong, Zhu Xing-Xing

机构信息

Department of General Surgery, Affiliated Provincial Hospital, Anhui Medical University, Hefei, People's Republic of China; Anhui Province Key Laboratory of Hepatopancreatobiliary Surgery, Hefei, People's Republic of China.

出版信息

Ther Clin Risk Manag. 2015 Dec 22;12:11-8. doi: 10.2147/TCRM.S96869. eCollection 2016.

DOI:10.2147/TCRM.S96869
PMID:26730197
原文链接:https://pmc.ncbi.nlm.nih.gov/articles/PMC4694694/
Abstract

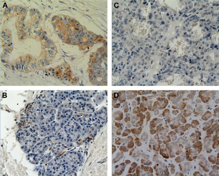
Soluble major histocompatibility complex class I-related chain A molecules (sMICA) and natural-killer group 2 member D (NKG2D) not only correlate with tumorigenesis and progression, but also with tumor invasion and metastasis. In this study, we used immunohistochemistry to investigate the correlation and prognostic significance of the differential expression of sMICA and NKG2D in pancreatic carcinoma and paracarcinoma tissues from 70 patients with pancreatic carcinomas. The results showed that sMICA expression was significantly (P<0.05) higher in tumor tissues (67.1%) than that in adjacent nontumor tissues (31.4%), whereas NKG2D expression was significantly (P<0.001) lower in tumor tissues (32.9%) than that in adjacent nontumor tissues (60.0%). Spearman's rank correlation test showed a negative correlation between the expression of sMICA and that of NKG2D (r=-0.676, P<0.001). Kaplan-Meier survival analysis showed that a high sMICA expression was significantly correlated with decreased disease-free survival (DFS) (P<0.001) and overall survival (OS) (P<0.001), while a high NKG2D expression was significantly associated with increased DFS (P=0.001) and OS (P=0.001) of the patients. Multivariate analysis showed that a high sMICA expression was an independent predictive factor for poor DFS (P<0.001) and OS (P=0.012); but low NKG2D expression was not an independent prognostic factor for poor DFS (P=0.238) and OS (P=0.574). In conclusion, our findings suggest that the expression levels of sMICA and NKG2D are abnormal and negatively correlated with one another in pancreatic carcinoma tissues; they may be considered as valuable biomarkers for the prognosis of pancreatic carcinoma.

摘要

可溶性主要组织相容性复合体I类相关链A分子(sMICA)和自然杀伤细胞2族成员D(NKG2D)不仅与肿瘤发生和进展相关,还与肿瘤侵袭和转移相关。在本研究中,我们采用免疫组织化学方法,调查了70例胰腺癌患者的癌组织和癌旁组织中sMICA和NKG2D差异表达的相关性及预后意义。结果显示,肿瘤组织中sMICA的表达(67.1%)显著高于癌旁非肿瘤组织(31.4%)(P<0.05),而肿瘤组织中NKG2D的表达(32.9%)显著低于癌旁非肿瘤组织(60.0%)(P<0.001)。Spearman等级相关检验显示,sMICA与NKG2D的表达呈负相关(r=-0.676,P<0.001)。Kaplan-Meier生存分析显示,sMICA高表达与无病生存期(DFS)缩短(P<0.001)和总生存期(OS)缩短(P<0.001)显著相关,而NKG2D高表达与患者DFS延长(P=0.001)和OS延长(P=0.001)显著相关。多因素分析显示,sMICA高表达是DFS不良(P<0.001)和OS不良(P=0.012)的独立预测因素;但NKG2D低表达不是DFS不良(P=0.238)和OS不良(P=0.574)的独立预后因素。总之,我们的研究结果表明,胰腺癌组织中sMICA和NKG2D的表达水平异常且呈负相关;它们可被视为胰腺癌预后的有价值生物标志物。

https://cdn.ncbi.nlm.nih.gov/pmc/blobs/31a2/4694694/1677235f2be2/tcrm-12-011Fig2.jpg
https://cdn.ncbi.nlm.nih.gov/pmc/blobs/31a2/4694694/5844fe926134/tcrm-12-011Fig1.jpg
https://cdn.ncbi.nlm.nih.gov/pmc/blobs/31a2/4694694/1677235f2be2/tcrm-12-011Fig2.jpg
https://cdn.ncbi.nlm.nih.gov/pmc/blobs/31a2/4694694/5844fe926134/tcrm-12-011Fig1.jpg
https://cdn.ncbi.nlm.nih.gov/pmc/blobs/31a2/4694694/1677235f2be2/tcrm-12-011Fig2.jpg

相似文献

1
Abnormal expression levels of sMICA and NKG2D are correlated with poor prognosis in pancreatic cancer.可溶性MICA和NKG2D的异常表达水平与胰腺癌的不良预后相关。
Ther Clin Risk Manag. 2015 Dec 22;12:11-8. doi: 10.2147/TCRM.S96869. eCollection 2016.
2
Clinical significance of the immunostimulatory MHC class I chain-related molecule A and NKG2D receptor on NK cells in pancreatic cancer.NK 细胞上的免疫刺激 MHC Ⅰ类链相关分子 A 和 NKG2D 受体在胰腺癌中的临床意义。
Med Oncol. 2011 Jun;28(2):466-74. doi: 10.1007/s12032-010-9480-9. Epub 2010 Mar 31.
3
Correlation and prognostic significance of MMP-2 and TFPI-2 differential expression in pancreatic carcinoma.基质金属蛋白酶-2(MMP-2)与组织因子途径抑制物-2(TFPI-2)在胰腺癌中的差异表达及其相关性与预后意义
Int J Clin Exp Pathol. 2015 Jan 1;8(1):682-91. eCollection 2015.
4
Prognostic value of soluble MICA levels in the serum of patients with advanced hepatocellular carcinoma.晚期肝细胞癌患者血清中可溶性MICA水平的预后价值
Chin J Cancer. 2013 Mar;32(3):141-8. doi: 10.5732/cjc.012.10025. Epub 2012 Jun 14.
5
[Role of NKG2D-Expressing NK Cells and sMICA in Immune Surveillance of Advanced Lung Cancer.].[表达NKG2D的自然杀伤细胞和可溶性MICA在晚期肺癌免疫监测中的作用。]
Zhongguo Fei Ai Za Zhi. 2009 Jan 20;12(1):59-63. doi: 10.3779/j.issn.1009-3419.2009.01.010.
6
Soluble MICA as an independent prognostic factor for the overall survival and progression-free survival of multiple myeloma patients.可溶性MICA作为多发性骨髓瘤患者总生存期和无进展生存期的独立预后因素。
Clin Immunol. 2007 Apr;123(1):114-20. doi: 10.1016/j.clim.2006.11.007. Epub 2007 Jan 10.
7
[Expression and clinical significance of CD8+natural killer T cell stimulatory receptor NKG2D in peripheral blood of lung cancer patients].[CD8⁺自然杀伤T细胞刺激受体NKG2D在肺癌患者外周血中的表达及临床意义]
Zhongguo Fei Ai Za Zhi. 2010 Oct;13(10):962-7. doi: 10.3779/j.issn.1009-3419.2010.10.06.
8
Differential clinical significance of individual NKG2D ligands in melanoma: soluble ULBP2 as an indicator of poor prognosis superior to S100B.黑色素瘤中单个NKG2D配体的差异临床意义:可溶性ULBP2作为优于S100B的预后不良指标。
Clin Cancer Res. 2009 Aug 15;15(16):5208-15. doi: 10.1158/1078-0432.CCR-09-0886. Epub 2009 Aug 11.
9
High levels of soluble MICA are significantly related to increased disease-free and disease-specific survival in patients with cervical adenocarcinoma.高水平的可溶性MICA与宫颈腺癌患者无病生存期和疾病特异性生存期的延长显著相关。
Tissue Antigens. 2015 Jun;85(6):476-83. doi: 10.1111/tan.12562. Epub 2015 Apr 14.
10
Assessment of changes in expression and presentation of NKG2D under influence of MICA serum factor in different stages of breast cancer.评估在MICA血清因子影响下,乳腺癌不同阶段NKG2D表达和呈现的变化。
Tumour Biol. 2016 May;37(5):6953-62. doi: 10.1007/s13277-015-4584-7. Epub 2015 Dec 11.

引用本文的文献

1
Noncoding Ribonucleic Acids (RNAs) May Improve Response to Immunotherapy in Pancreatic Cancer.非编码核糖核酸(RNAs)可能改善胰腺癌对免疫疗法的反应。
ACS Pharmacol Transl Sci. 2024 Aug 7;7(9):2557-2572. doi: 10.1021/acsptsci.3c00394. eCollection 2024 Sep 13.
2
A potential mechanism of tumor immune escape: Regulation and application of soluble natural killer group 2 member D ligands (Review).肿瘤免疫逃逸的一种潜在机制:可溶性自然杀伤细胞组 2 成员 D 配体的调节和应用(综述)。
Oncol Rep. 2024 Oct;52(4). doi: 10.3892/or.2024.8796. Epub 2024 Aug 19.
3
MICA-specific nanobodies for diagnosis and immunotherapy of MICA tumors.

本文引用的文献

1
Comparative genomics of the NKG2D ligand gene family.NKG2D 配体基因家族的比较基因组学。
Immunol Rev. 2015 Sep;267(1):72-87. doi: 10.1111/imr.12320.
2
Upregulated expression of NKG2D and its ligands give potential therapeutic targets for patients with thymoma.NKG2D 及其配体的上调表达为胸腺瘤患者提供了潜在的治疗靶点。
Cancer Gene Ther. 2015 Jul;22(7):368-74. doi: 10.1038/cgt.2015.29. Epub 2015 Jun 26.
3
Chimeric antigen receptor engineering: a right step in the evolution of adoptive cellular immunotherapy.嵌合抗原受体工程:过继细胞免疫治疗进化过程中的正确步骤。
用于 MICA 肿瘤诊断和免疫治疗的 MICA 特异性纳米抗体。
Front Immunol. 2024 Mar 14;15:1368586. doi: 10.3389/fimmu.2024.1368586. eCollection 2024.
4
The Human Soluble NKG2D Ligand Differentially Impacts Tumorigenicity and Progression in Temporal and Model-Dependent Modes.人可溶性NKG2D配体以时间和模型依赖模式对肿瘤发生和进展产生不同影响。
Biomedicines. 2024 Jan 16;12(1):196. doi: 10.3390/biomedicines12010196.
5
The Role and Regulation of the NKG2D/NKG2D Ligand System in Cancer.NKG2D/NKG2D配体系统在癌症中的作用与调控
Biology (Basel). 2023 Aug 2;12(8):1079. doi: 10.3390/biology12081079.
6
Cancer Stem Cells Are Possible Key Players in Regulating Anti-Tumor Immune Responses: The Role of Immunomodulating Molecules and MicroRNAs.癌症干细胞可能是调节抗肿瘤免疫反应的关键因素:免疫调节分子和微小RNA的作用
Cancers (Basel). 2021 Apr 2;13(7):1674. doi: 10.3390/cancers13071674.
7
Clinical Impact of Natural Killer Group 2D Receptor Expression and That of Its Ligand in Ovarian Carcinomas: A Retrospective Study.自然杀伤细胞2D受体表达及其配体在卵巢癌中的临床影响:一项回顾性研究
Yonsei Med J. 2021 Apr;62(4):288-297. doi: 10.3349/ymj.2021.62.4.288.
8
Immunological status of peripheral blood is associated with prognosis in patients with bone and soft-tissue sarcoma.外周血免疫状态与骨肉瘤和软组织肉瘤患者的预后相关。
Oncol Lett. 2021 Mar;21(3):212. doi: 10.3892/ol.2021.12473. Epub 2021 Jan 18.
9
NK cells in pancreatic cancer demonstrate impaired cytotoxicity and a regulatory IL-10 phenotype.胰腺癌中的自然杀伤细胞表现出细胞毒性受损和调节性白细胞介素-10表型。
Oncoimmunology. 2020 Nov 19;9(1):1845424. doi: 10.1080/2162402X.2020.1845424.
10
Prognostic significance of EIF4G1 in patients with pancreatic ductal adenocarcinoma.真核起始因子4G1(EIF4G1)在胰腺导管腺癌患者中的预后意义
Onco Targets Ther. 2019 Apr 15;12:2853-2859. doi: 10.2147/OTT.S202101. eCollection 2019.
Int Rev Immunol. 2015 Mar;34(2):154-87. doi: 10.3109/08830185.2015.1018419.
4
Combination doxorubicin and interferon-α therapy stimulates immunogenicity of murine pancreatic cancer Panc02 cells via up-regulation of NKG2D ligands and MHC class I.阿霉素与α干扰素联合治疗通过上调NKG2D配体和MHC I类分子刺激小鼠胰腺癌Panc02细胞的免疫原性。
Asian Pac J Cancer Prev. 2014;15(22):9667-72. doi: 10.7314/apjcp.2014.15.22.9667.
5
MICA/B and ULBP1 NKG2D ligands are independent predictors of good prognosis in cervical cancer.MICA/B和ULBP1这两种自然杀伤细胞2D(NKG2D)配体是宫颈癌良好预后的独立预测指标。
BMC Cancer. 2014 Dec 15;14:957. doi: 10.1186/1471-2407-14-957.
6
MICA polymorphism: biology and importance in cancer.MICA 多态性:生物学与癌症中的重要性。
Carcinogenesis. 2014 Dec;35(12):2633-42. doi: 10.1093/carcin/bgu215. Epub 2014 Oct 20.
7
Autonomous stimulation of cancer cell plasticity by the human NKG2D lymphocyte receptor coexpressed with its ligands on cancer cells.人NKG2D淋巴细胞受体与其在癌细胞上共表达的配体对癌细胞可塑性的自主刺激。
PLoS One. 2014 Oct 7;9(10):e108942. doi: 10.1371/journal.pone.0108942. eCollection 2014.
8
High expression of MICA in human kidney cancer tissue and renal cell carcinoma lines.MICA在人肾癌组织和肾细胞癌系中的高表达。
Asian Pac J Cancer Prev. 2014;15(4):1715-7. doi: 10.7314/apjcp.2014.15.4.1715.
9
Ex vivo converted double negative T cells suppress activated B cells.体外转化的双阴性 T 细胞可抑制活化的 B 细胞。
Int Immunopharmacol. 2014 May;20(1):164-9. doi: 10.1016/j.intimp.2014.02.034. Epub 2014 Mar 7.
10
Expression and prognostic value of c-Myc and Fas (CD95/APO1) in patients with pancreatic cancer.c-Myc和Fas(CD95/APO1)在胰腺癌患者中的表达及预后价值
Int J Clin Exp Pathol. 2014 Jan 15;7(2):742-50. eCollection 2014.