• 文献检索
  • 文档翻译
  • 深度研究
  • 学术资讯
  • Suppr Zotero 插件Zotero 插件
  • 邀请有礼
  • 套餐&价格
  • 历史记录
应用&插件
Suppr Zotero 插件Zotero 插件浏览器插件Mac 客户端Windows 客户端微信小程序
定价
高级版会员购买积分包购买API积分包
服务
文献检索文档翻译深度研究API 文档MCP 服务
关于我们
关于 Suppr公司介绍联系我们用户协议隐私条款
关注我们

Suppr 超能文献

核心技术专利:CN118964589B侵权必究
粤ICP备2023148730 号-1Suppr @ 2026

文献检索

告别复杂PubMed语法,用中文像聊天一样搜索,搜遍4000万医学文献。AI智能推荐,让科研检索更轻松。

立即免费搜索

文件翻译

保留排版,准确专业,支持PDF/Word/PPT等文件格式,支持 12+语言互译。

免费翻译文档

深度研究

AI帮你快速写综述,25分钟生成高质量综述,智能提取关键信息,辅助科研写作。

立即免费体验

以持续3年的孤立性“慢性咳嗽”为表现的肺腺癌——一则警示故事。

Lung adenocarcinoma presenting with isolated 'chronic cough' of 3 years duration-a cautionary tale.

作者信息

Pannu Bibek S, Iyer Vivek N

机构信息

Division of Pulmonary and Critical Care Medicine, Mayo Clinic, Rochester, MN 55905, USA.

出版信息

Respir Med Case Rep. 2015 Oct 27;16:157-9. doi: 10.1016/j.rmcr.2015.10.005. eCollection 2015.

DOI:10.1016/j.rmcr.2015.10.005
PMID:26744688
原文链接:https://pmc.ncbi.nlm.nih.gov/articles/PMC4682005/
Abstract

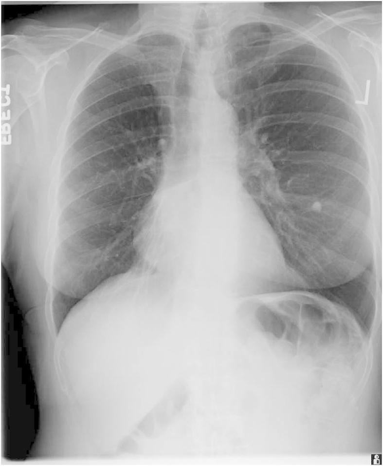
Chronic cough that is dry, non-productive and without constitutional symptoms is often thought to have a non-malignant etiology such as asthma, post-nasal drip or gastroesophageal reflux disease (GERD). We present a case of a patient with a 3 year history of 'chronic cough' that was dry, non-productive cough and without any constitutional symptoms. Initial chest x-ray (CXR) done 3 years ago showed some streaky atelectasis in the right middle lobe along with some volume loss on that side. Another CXR performed one and half years later showed progression to a complete right middle lobe collapse. She ultimately presented to our facility a year later with stable CXR findings, but persistent cough. A chest CT scan was suspicious for a right lower lobe mass. A PET scan subsequently confirmed a hypermetabolic right hilar mass causing extrinsic compression of the bronchus intermedius. She ultimately required a complete right pneumonectomy with partial pericardiectomy and had complete resolution of her cough. This case highlights the fact that 'chronic cough' should always be thoroughly investigated and should remain a diagnosis of exclusion until all sinister pathologies have been ruled out.

摘要

干咳、无痰且无全身症状的慢性咳嗽通常被认为病因非恶性,如哮喘、鼻后滴漏或胃食管反流病(GERD)。我们报告一例有3年“慢性咳嗽”病史的患者,其咳嗽为干咳、无痰,且无任何全身症状。3年前进行的首次胸部X线(CXR)检查显示右中叶有一些条索状肺不张,且该侧肺容积减小。一年半后进行的另一次胸部X线检查显示进展为完全性右中叶肺不张。一年后她最终到我们医院就诊,胸部X线检查结果稳定,但咳嗽持续。胸部CT扫描怀疑右下叶有肿块。随后的PET扫描证实右肺门有高代谢肿块,导致中间支气管外部受压。她最终需要进行全右肺切除术及部分心包切除术,咳嗽完全消失。该病例强调了一个事实,即对于“慢性咳嗽”应始终进行全面检查,在排除所有严重病变之前,应一直作为排除性诊断。

https://cdn.ncbi.nlm.nih.gov/pmc/blobs/27f9/4682005/77d3b99a40aa/gr2.jpg
https://cdn.ncbi.nlm.nih.gov/pmc/blobs/27f9/4682005/6873e41a7ca2/gr1.jpg
https://cdn.ncbi.nlm.nih.gov/pmc/blobs/27f9/4682005/77d3b99a40aa/gr2.jpg
https://cdn.ncbi.nlm.nih.gov/pmc/blobs/27f9/4682005/6873e41a7ca2/gr1.jpg
https://cdn.ncbi.nlm.nih.gov/pmc/blobs/27f9/4682005/77d3b99a40aa/gr2.jpg

相似文献

1
Lung adenocarcinoma presenting with isolated 'chronic cough' of 3 years duration-a cautionary tale.以持续3年的孤立性“慢性咳嗽”为表现的肺腺癌——一则警示故事。
Respir Med Case Rep. 2015 Oct 27;16:157-9. doi: 10.1016/j.rmcr.2015.10.005. eCollection 2015.
2
Occult pulmonary lymphangitic carcinomatosis presenting as 'chronic cough' with a normal HRCT chest.以“慢性咳嗽”为表现且胸部高分辨率CT(HRCT)正常的隐匿性肺淋巴管癌病。
Ann Med Surg (Lond). 2016 Feb 1;6:77-80. doi: 10.1016/j.amsu.2016.01.024. eCollection 2016 Mar.
3
[A case of pulmonary malignant lymphoma with endobronchial involvement with repeated improvement or progress of atelectasis].1例伴有支气管内受累且肺不张反复改善或进展的肺恶性淋巴瘤
Nihon Kokyuki Gakkai Zasshi. 2008 Dec;46(12):1065-9.
4
Is a normal chest radiograph sufficient to exclude pulmonary abnormalities potentially associated with chronic cough?一张正常的胸部X光片足以排除与慢性咳嗽潜在相关的肺部异常吗?
Adv Respir Med. 2018;86(3). doi: 10.5603/ARM.2018.0018.
5
[Bronchial adenoid cystic carcinoma masquerading as bronchial asthma: a case report].[伪装成支气管哮喘的支气管腺样囊性癌:一例报告]
Beijing Da Xue Xue Bao Yi Xue Ban. 2018 Apr 18;50(2):378-380.
6
Anatomical diagnostic protocol in evaluating chronic cough with specific reference to gastroesophageal reflux disease.评估慢性咳嗽的解剖学诊断方案,特别提及胃食管反流病。
Am J Med. 2000 Mar 6;108 Suppl 4a:126S-130S. doi: 10.1016/s0002-9343(99)00351-4.
7
Rare coexistence of sarcoidosis and lung adenocarcinoma.结节病与肺腺癌罕见并存。
Respir Med Case Rep. 2014 Mar 15;12:4-6. doi: 10.1016/j.rmcr.2013.12.008. eCollection 2014.
8
[Chronic cough: practical aspects].[慢性咳嗽:实际问题]
Rev Med Suisse. 2006 Nov 15;2(87):2605-9.
9
Mucoepidermoid carcinoma of the lung: a rare entity.肺黏液表皮样癌:一种罕见的疾病。
Oxf Med Case Reports. 2015 Feb 26;2015(2):203-5. doi: 10.1093/omcr/omv012. eCollection 2015 Feb.
10
Multifocal Pulmonary Granular Cell Tumor Presenting with Postobstructive Pneumonia.以阻塞性肺炎为表现的多灶性肺颗粒细胞瘤
Case Rep Pulmonol. 2017;2017:8513702. doi: 10.1155/2017/8513702. Epub 2017 Oct 15.

引用本文的文献

1
Senescence-associated secretory phenotype in lung cancer: remodeling the tumor microenvironment for metastasis and immune suppression.肺癌中的衰老相关分泌表型:重塑肿瘤微环境以促进转移和免疫抑制。
Front Oncol. 2025 May 29;15:1605085. doi: 10.3389/fonc.2025.1605085. eCollection 2025.
2
The Synergistic Antitumor Effect of 5-Fluorouracil Combined with Allicin against Lung and Colorectal Carcinoma Cells.5-氟尿嘧啶联合大蒜素对肺癌和结直肠癌细胞的协同抗肿瘤作用。
Molecules. 2020 Apr 22;25(8):1947. doi: 10.3390/molecules25081947.
3
Allicin inhibits the invasion of lung adenocarcinoma cells by altering tissue inhibitor of metalloproteinase/matrix metalloproteinase balance via reducing the activity of phosphoinositide 3-kinase/AKT signaling.

本文引用的文献

1
Symptoms and other factors associated with time to diagnosis and stage of lung cancer: a prospective cohort study.与肺癌诊断时间和分期相关的症状及其他因素:一项前瞻性队列研究
Br J Cancer. 2015 Mar 31;112 Suppl 1(Suppl 1):S6-13. doi: 10.1038/bjc.2015.30.
2
Non-small-cell lung cancer.非小细胞肺癌。
Lancet. 2011 Nov 12;378(9804):1727-40. doi: 10.1016/S0140-6736(10)62101-0. Epub 2011 May 10.
3
Non-small cell lung cancer: epidemiology, risk factors, treatment, and survivorship.非小细胞肺癌:流行病学、危险因素、治疗及生存情况。
大蒜素通过降低磷酸肌醇3激酶/蛋白激酶B信号通路的活性,改变金属蛋白酶组织抑制剂/基质金属蛋白酶平衡,从而抑制肺腺癌细胞的侵袭。
Oncol Lett. 2017 Jul;14(1):468-474. doi: 10.3892/ol.2017.6129. Epub 2017 May 5.
Mayo Clin Proc. 2008 May;83(5):584-94. doi: 10.4065/83.5.584.
4
Time spans from first symptom to treatment in patients with lung cancer--the influence of symptoms and demographic characteristics.肺癌患者从出现首发症状到接受治疗的时间跨度——症状和人口统计学特征的影响。
Acta Oncol. 2008;47(3):397-405. doi: 10.1080/02841860701592392.
5
Chronic cough due to lung tumors: ACCP evidence-based clinical practice guidelines.肺部肿瘤所致慢性咳嗽:美国胸科医师学会循证临床实践指南
Chest. 2006 Jan;129(1 Suppl):147S-153S. doi: 10.1378/chest.129.1_suppl.147S.
6
Is late diagnosis of lung cancer inevitable? Interview study of patients' recollections of symptoms before diagnosis.肺癌的晚期诊断是否不可避免?关于患者对诊断前症状回忆的访谈研究。
Thorax. 2005 Apr;60(4):314-9. doi: 10.1136/thx.2004.029264.