• 文献检索
  • 文档翻译
  • 深度研究
  • 学术资讯
  • Suppr Zotero 插件Zotero 插件
  • 邀请有礼
  • 套餐&价格
  • 历史记录
应用&插件
Suppr Zotero 插件Zotero 插件浏览器插件Mac 客户端Windows 客户端微信小程序
定价
高级版会员购买积分包购买API积分包
服务
文献检索文档翻译深度研究API 文档MCP 服务
关于我们
关于 Suppr公司介绍联系我们用户协议隐私条款
关注我们

Suppr 超能文献

核心技术专利:CN118964589B侵权必究
粤ICP备2023148730 号-1Suppr @ 2026

文献检索

告别复杂PubMed语法,用中文像聊天一样搜索,搜遍4000万医学文献。AI智能推荐,让科研检索更轻松。

立即免费搜索

文件翻译

保留排版,准确专业,支持PDF/Word/PPT等文件格式,支持 12+语言互译。

免费翻译文档

深度研究

AI帮你快速写综述,25分钟生成高质量综述,智能提取关键信息,辅助科研写作。

立即免费体验

原发性腹腔内胃石导致小肠梗阻的罕见病因。

A rare cause of small bowel obstruction due to bezoar in a virgin abdomen.

作者信息

Nasri Baongoc, Calin Marius, Shah Ajay, Gilchrist Brian

机构信息

Department of Surgery, Bronx Lebanon Hospital, 1650 Grand Concourse, Bronx, NY 10457, USA.

Department of Surgery, Bronx Lebanon Hospital, 1650 Grand Concourse, Bronx, NY 10457, USA.

出版信息

Int J Surg Case Rep. 2016;19:144-6. doi: 10.1016/j.ijscr.2015.12.039. Epub 2015 Dec 24.

DOI:10.1016/j.ijscr.2015.12.039
PMID:26764889
原文链接:https://pmc.ncbi.nlm.nih.gov/articles/PMC4756184/
Abstract

INTRODUCTION

Bezoar is an unusual cause of small bowel obstruction accounting for 0.4-4% of all mechanical bowel obstruction. The common site of obstruction is terminal ileum.

CASE REPORT

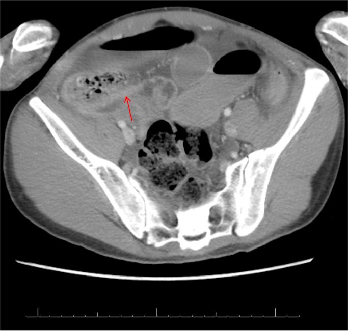
A 28-year-old male with no past surgical history, known to have severe mental retardation presented with anorexia. CT scan demonstrated dilated small bowel loops and intraluminal ileal mass with mottled appearance. At exploratory laparotomy, a bezoar was found impacted in the terminal ileum 5-6 inches away from the ileocecal valve and was removed through an enterotomy.

DISCUSSION

Bezoars are concretions of fibers or foreign bodies in the alimentary tract. Small bowel obstruction is one of common clinical symptoms. The typical finding of well-defined intraluminal mass with mottled gas pattern in CT scan is suggestive of an intestinal bezoar. The treatment option of bezoar is surgery including manual fragmentation of bezoar and pushing it toward cecum, enterotomy or segmental bowel resection. Thorough exploration of abdominal cavity should be done to exclude the presence of concomitant bezoars. Recurrence is common unless underlying predisposing condition is corrected.

CONCLUSIONS

Bezoar-induced small bowel obstruction remains an uncommon diagnosis. It should be suspected in patients with an increased risk of bezoar formation, such as in the presence of previous gastric surgery, a history suggestive of increased fiber intake, or patient with psychiatric disorders. CT scan is helpful for preoperative diagnosis.

摘要

引言

胃石是小肠梗阻的一种罕见病因,占所有机械性肠梗阻的0.4 - 4%。梗阻的常见部位是回肠末端。

病例报告

一名28岁男性,无既往手术史,已知患有严重智力障碍,出现厌食症状。CT扫描显示小肠肠袢扩张,回肠腔内有斑驳状肿物。在剖腹探查术中,发现一枚胃石嵌顿在距回盲瓣5 - 6英寸处的回肠末端,并通过肠切开术将其取出。

讨论

胃石是消化道内纤维或异物的凝结物。小肠梗阻是常见的临床症状之一。CT扫描中典型的表现为边界清晰的腔内肿物伴有斑驳状气体影,提示为肠内胃石。胃石的治疗选择是手术,包括手动破碎胃石并将其推向盲肠、肠切开术或肠段切除术。应彻底探查腹腔以排除合并存在的胃石。除非纠正潜在的易感因素,否则复发很常见。

结论

胃石所致小肠梗阻仍然是一种罕见的诊断。对于胃石形成风险增加的患者应予以怀疑,例如既往有胃部手术史、有提示纤维摄入量增加的病史或患有精神疾病的患者。CT扫描有助于术前诊断。

https://cdn.ncbi.nlm.nih.gov/pmc/blobs/97fd/4756184/796aad0e50f2/gr4.jpg
https://cdn.ncbi.nlm.nih.gov/pmc/blobs/97fd/4756184/20ea070e2ccb/gr1.jpg
https://cdn.ncbi.nlm.nih.gov/pmc/blobs/97fd/4756184/130c399ae768/gr2.jpg
https://cdn.ncbi.nlm.nih.gov/pmc/blobs/97fd/4756184/95d759bfa578/gr3.jpg
https://cdn.ncbi.nlm.nih.gov/pmc/blobs/97fd/4756184/796aad0e50f2/gr4.jpg
https://cdn.ncbi.nlm.nih.gov/pmc/blobs/97fd/4756184/20ea070e2ccb/gr1.jpg
https://cdn.ncbi.nlm.nih.gov/pmc/blobs/97fd/4756184/130c399ae768/gr2.jpg
https://cdn.ncbi.nlm.nih.gov/pmc/blobs/97fd/4756184/95d759bfa578/gr3.jpg
https://cdn.ncbi.nlm.nih.gov/pmc/blobs/97fd/4756184/796aad0e50f2/gr4.jpg

相似文献

1
A rare cause of small bowel obstruction due to bezoar in a virgin abdomen.原发性腹腔内胃石导致小肠梗阻的罕见病因。
Int J Surg Case Rep. 2016;19:144-6. doi: 10.1016/j.ijscr.2015.12.039. Epub 2015 Dec 24.
2
Acute surgical abdomen due to phytobezoar-induced ileal obstruction.植物性粪石引起的回肠梗阻导致的急性外科急腹症。
J Emerg Med. 2013 Jan;44(1):e21-3. doi: 10.1016/j.jemermed.2011.06.059. Epub 2011 Oct 29.
3
Small Bowel Obstruction Secondary to a Metamucil Bezoar: Case Report and Review of the Literature.麦麸纤维素结块导致的小肠梗阻:病例报告及文献综述
Case Rep Surg. 2017;2017:2702896. doi: 10.1155/2017/2702896. Epub 2017 Sep 20.
4
Ileal perforation secondary to bowel obstruction caused by foreign body bezoar: A case report.异物粪石导致肠梗阻继发回肠穿孔:一例报告
Ann Med Surg (Lond). 2022 Sep 5;82:104564. doi: 10.1016/j.amsu.2022.104564. eCollection 2022 Oct.
5
Intestinal Obstruction Secondary to Multiple Gastrointestinal phytobezoars, A Rare presentation.多发性胃肠道植物性粪石继发肠梗阻,一种罕见的表现。
Int J Surg Case Rep. 2021 Jun;83:106004. doi: 10.1016/j.ijscr.2021.106004. Epub 2021 May 21.
6
Isolated ileal bezoar causing small bowel obstruction.孤立性回肠粪石导致小肠梗阻。
BMJ Case Rep. 2012 Jul 10;2012:bcr0120125656. doi: 10.1136/bcr.01.2012.5656.
7
Cotton Bezoar--a rare cause of intestinal obstruction: case report.棉粪石——肠梗阻的罕见病因:病例报告
BMC Surg. 2003 Sep 4;3:5. doi: 10.1186/1471-2482-3-5.
8
Bezoar-induced Small Bowel Obstruction.胃石症所致小肠梗阻
J Korean Soc Coloproctol. 2012 Apr;28(2):89-93. doi: 10.3393/jksc.2012.28.2.89. Epub 2012 Apr 30.
9
Mushroom Bezoar Causing Small Bowel Obstruction.蘑菇粪石导致小肠梗阻。
J Coll Physicians Surg Pak. 2017 Mar;27(3):S13-S15.
10
[Mechanical small bowel obstruction due to bezoars: correlation between CT and surgical findings].[胃石症所致机械性小肠梗阻:CT 与手术 findings 的相关性] (注:这里“findings”直译为“发现”,在医学语境中可灵活理解为“所见、表现等”,因未结合完整内容,准确意思可能需根据上下文确定)
J Radiol. 2002 May;83(5):641-6.

引用本文的文献

1
Tangled culprit: a rare case of bezoar-induced small bowel obstruction with pulmonary Edema in a rural Guatemalan woman.复杂病因:危地马拉农村一名妇女因胃石导致小肠梗阻并伴有肺水肿的罕见病例。
Oxf Med Case Reports. 2025 Apr 28;2025(4):omaf021. doi: 10.1093/omcr/omaf021. eCollection 2025 Apr.
2
A Rare Case of Gastric Phytobezoar (Diospyrobezoar) in a Healthy Adult.一名健康成年人胃内罕见的植物性胃石症(柿石症)病例。
Cureus. 2024 Aug 31;16(8):e68353. doi: 10.7759/cureus.68353. eCollection 2024 Aug.
3
Small bowel obstruction secondary to a plastic bezoar.

本文引用的文献

1
Acute surgical abdomen due to phytobezoar-induced ileal obstruction.植物性粪石引起的回肠梗阻导致的急性外科急腹症。
J Emerg Med. 2013 Jan;44(1):e21-3. doi: 10.1016/j.jemermed.2011.06.059. Epub 2011 Oct 29.
2
Phytobezoar: an unusual cause of intestinal obstruction.植物性胃石:肠梗阻的一种罕见病因。
Biomed Imaging Interv J. 2005 Jul;1(1):e4. doi: 10.2349/biij.1.1.e4. Epub 2005 Jul 1.
3
A rare cause of acute abdomen: small bowel obstruction due to phytobezoar.急性腹痛的罕见病因:植物性粪石导致的小肠梗阻。
塑料胃石致小肠梗阻。
BMJ Case Rep. 2022 Nov 29;15(11):e251438. doi: 10.1136/bcr-2022-251438.
4
Ileal perforation secondary to bowel obstruction caused by foreign body bezoar: A case report.异物粪石导致肠梗阻继发回肠穿孔:一例报告
Ann Med Surg (Lond). 2022 Sep 5;82:104564. doi: 10.1016/j.amsu.2022.104564. eCollection 2022 Oct.
5
Infrequent cause of small bowel obstruction in a child: A lemon.儿童小肠梗阻的罕见病因:一个柠檬。
Ann Med Surg (Lond). 2022 Mar 15;76:103488. doi: 10.1016/j.amsu.2022.103488. eCollection 2022 Apr.
6
Khat induced bezoar; a rare cause of small bowel obstruction:a case report.卡塔叶诱发的胃石症:小肠梗阻的罕见病因:一例报告
Int J Surg Case Rep. 2022 Feb;91:106811. doi: 10.1016/j.ijscr.2022.106811. Epub 2022 Feb 3.
7
Acute pancreatitis and small bowel obstruction caused by a migratory gastric bezoar after dissolution therapy: A case report.溶石治疗后迁移性胃石引起的急性胰腺炎和小肠梗阻:一例报告
World J Clin Cases. 2021 May 6;9(13):3114-3119. doi: 10.12998/wjcc.v9.i13.3114.
8
Endoscopic versus Surgical Intervention for Jejunal Bezoar Formation.空肠粪石形成的内镜与手术干预
ACG Case Rep J. 2018 Dec 5;5:e87. doi: 10.14309/crj.2018.87. eCollection 2018.
9
Small Bowel Obstruction Secondary to a Metamucil Bezoar: Case Report and Review of the Literature.麦麸纤维素结块导致的小肠梗阻:病例报告及文献综述
Case Rep Surg. 2017;2017:2702896. doi: 10.1155/2017/2702896. Epub 2017 Sep 20.
10
Endoscopic shaving of hair in a gastric bypass patient with a large bezoar.对一名患有巨大胃石的胃旁路手术患者进行内镜下毛发刮除术。
BMJ Case Rep. 2017 Oct 9;2017:bcr-2017-220923. doi: 10.1136/bcr-2017-220923.
Ulus Travma Acil Cerrahi Derg. 2010 Sep;16(5):459-63.
4
Small-bowel bezoar versus small-bowel feces: CT evaluation.小肠粪石与小肠粪便:CT评估
AJR Am J Roentgenol. 2008 Nov;191(5):1465-8. doi: 10.2214/AJR.07.4004.
5
A report of 15 cases of small-bowel obstruction secondary to phytobezoars: predisposing factors and diagnostic difficulties.15例植物性胃石继发小肠梗阻的报告:诱发因素及诊断难点
Gastroenterol Clin Biol. 2008 Jun-Jul;32(6-7):596-600. doi: 10.1016/j.gcb.2008.01.045. Epub 2008 May 19.
6
Gastrointestinal bezoars: a retrospective analysis of 34 cases.胃肠道粪石:34例回顾性分析
World J Gastroenterol. 2005 Mar 28;11(12):1813-7. doi: 10.3748/wjg.v11.i12.1813.
7
CT findings in patients with small bowel obstruction due to phytobezoar.植物性胃石导致小肠梗阻患者的CT表现
Emerg Radiol. 2004 Feb;10(4):197-200. doi: 10.1007/s10140-003-0297-0. Epub 2003 Dec 10.
8
An unusual cause of gastrointestinal obstruction: bezoar.胃肠道梗阻的一种罕见病因:胃石。
N Z Med J. 2003 May 2;116(1173):U422.
9
Small bowel phytobezoars: an uncommon cause of small bowel obstruction.小肠植物性粪石:小肠梗阻的罕见病因。
Aust N Z J Surg. 1994 Mar;64(3):187-9. doi: 10.1111/j.1445-2197.1994.tb02175.x.
10
Intestinal obstruction and bezoars.肠梗阻与胃石症。
J Am Coll Surg. 1994 Sep;179(3):285-8.