Suppr超能文献

A Urachal Cyst Case with Painful Mass Locates at Ileal Mesentery.

作者信息

Okur Selahattin Koray, Pülat Hüseyin, Karaköse Oktay, Zihni Ismail, Özçelik Kazım Çağlar, Eroğlu Hasan Erol

机构信息

Department of General Surgery, Suleyman Demirel University Faculty of Medicine, 32260 Isparta, Turkey.

Department of Surgical Oncology, Suleyman Demirel University Faculty of Medicine, 32260 Isparta, Turkey.

出版信息

Case Rep Surg. 2015;2015:240362. doi: 10.1155/2015/240362. Epub 2015 Dec 13.

Abstract

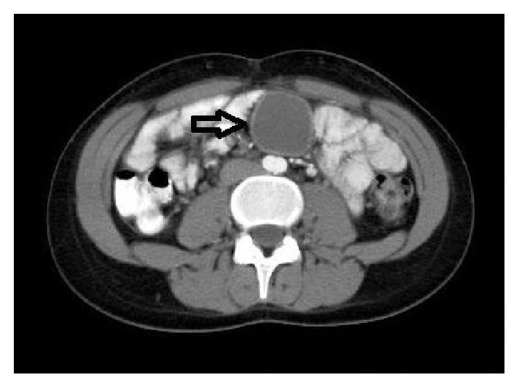
Urachal cyst is an unusual clinical condition, which is usually asymptomatic. In some adult cases, it may lead to complications. The cyst is between umbilicus and urinary bladder. It is diagnosed via ultrasonography and computed tomography. However, in some cases, the diagnosis is made by means of surgical exploration and histopathological evaluation. In this paper, we report a case of a 17-year-old female presenting with painful abdominal mass. At the first evaluation, the case was diagnosed as a mesenteric cyst because the mass located in the mesentery, and final histopathological report revealed the urachal cyst.

摘要
https://cdn.ncbi.nlm.nih.gov/pmc/blobs/dce1/4691465/cb2ae5b0faf6/CRIS2015-240362.001.jpg

相似文献

1
A Urachal Cyst Case with Painful Mass Locates at Ileal Mesentery.
Case Rep Surg. 2015;2015:240362. doi: 10.1155/2015/240362. Epub 2015 Dec 13.
3
A Rare Case of Urachal Cyst in a Patient With Uterine Fibroids.
Cureus. 2022 Jan 10;14(1):e21092. doi: 10.7759/cureus.21092. eCollection 2022 Jan.
4
Unexpected finding of urachal remnant cyst. Tips for laparoscopic approach.
Int J Surg Case Rep. 2020;77S(Suppl):S139-S142. doi: 10.1016/j.ijscr.2020.09.013. Epub 2020 Sep 11.
5
Acute abdomen due to an infected urachal cyst in a 5-year-old female: case report.
J Surg Case Rep. 2019 May 23;2019(5):rjz156. doi: 10.1093/jscr/rjz156. eCollection 2019 May.
8
An unusual presentation of an infected urachal cyst. Review of urachal anomalies.
Clin Pediatr (Phila). 1988 Mar;27(3):130-4. doi: 10.1177/000992288802700303.
9
Prolapsed bladder following rupture of patent urachal cyst, mimicking bladder exstrophy: a case report and literature review.
J Med Ultrason (2001). 2018 Jul;45(3):529-533. doi: 10.1007/s10396-017-0856-8. Epub 2018 Jan 9.
10
Cured by Da Vinci Xi: meticulous dissection of an infected urachal cyst presenting with lower urinary tract symptoms in an adult.
J Surg Case Rep. 2018 Dec 21;2018(12):rjy327. doi: 10.1093/jscr/rjy327. eCollection 2018 Dec.

引用本文的文献

1
Surgical management of benign noninfected urachal cysts in adult patients: two case reports.
J Med Case Rep. 2023 May 24;17(1):214. doi: 10.1186/s13256-023-03944-8.

本文引用的文献

1
Urachal anomalies in children: surgical or conservative treatment?
J Pediatr Urol. 2014 Jun;10(3):522-6. doi: 10.1016/j.jpurol.2013.11.010. Epub 2013 Nov 28.
2
Current diagnosis and management of urachal remnants.
J Pediatr Surg. 2013 Oct;48(10):2148-52. doi: 10.1016/j.jpedsurg.2013.02.069.
3
An infected urachal cyst presenting as an acute abdomen - A case report.
Int J Surg Case Rep. 2013;4(7):633-5. doi: 10.1016/j.ijscr.2013.02.026. Epub 2013 Apr 19.
4
Infected mesenteric cyst.
BMJ Case Rep. 2013 Apr 18;2013:bcr2012008195. doi: 10.1136/bcr-2012-008195.
5
Laparoscopic management of complicated urachal remnants in adults.
World J Urol. 2012 Oct;30(5):647-50. doi: 10.1007/s00345-012-0829-x.
6
A diagnostic algorithm for urachal anomalies.
J Pediatr Urol. 2007 Dec;3(6):500-4. doi: 10.1016/j.jpurol.2007.07.010. Epub 2007 Oct 10.
8
Urachal anomalies: a longitudinal study of urachal remnants in children and adults.
J Urol. 2007 Oct;178(4 Pt 2):1615-8. doi: 10.1016/j.juro.2007.03.194. Epub 2007 Aug 16.
9
Giant mesenteric cyst.
Dig Dis Sci. 2006 Aug;51(8):1380-2. doi: 10.1007/s10620-006-9081-9. Epub 2006 Jul 26.
10
[Infected urachal cyst].
Ulus Travma Acil Cerrahi Derg. 2005 Jan;11(1):78-80.

文献AI研究员

20分钟写一篇综述,助力文献阅读效率提升50倍。

立即体验

用中文搜PubMed

大模型驱动的PubMed中文搜索引擎

马上搜索

文档翻译

学术文献翻译模型,支持多种主流文档格式。

立即体验