Suppr超能文献

鼻腔孤立性纤维瘤:一例报告

Solitary Fibrous Tumor of Nasal Cavity: A Case Report.

作者信息

Mathew George Ani, Ashish Gaurav, Tyagi Amit Kumar, Chandrashekharan Ramanathan, Paul Roshna Rose

机构信息

Department of Otorhinolaryngology, Christian medical college ,Vellore ,Tamil Nadu, India.

出版信息

Iran J Otorhinolaryngol. 2015 Jul;27(81):307-12.

Abstract

INTRODUCTION

Solitary fibrous tumours (SFTs) of the nose and paranasal sinuses are extremely rare. These were originally described as neoplasms of the pleura originating from spindle cells. It is further sub-classified as a benign type of mesothelial tumour. Its occurrence in many extra pleural sites have been reported earlier, mainly in the liver, parapharyngeal space, sublingual glands, tongue, parotid gland, thyroid, periorbital region, and very occasionally in the nose and paranasal sinus area.

CASE REPORT

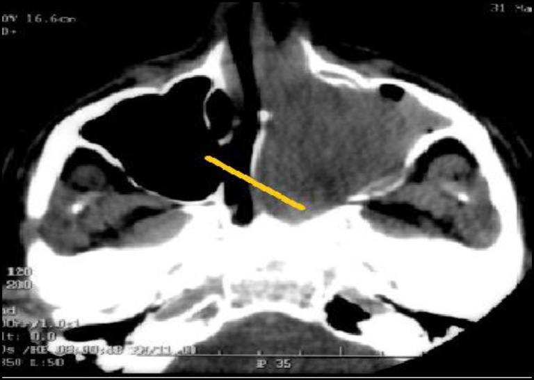
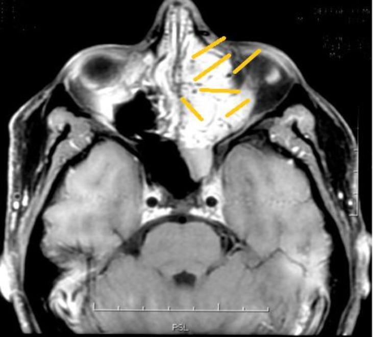
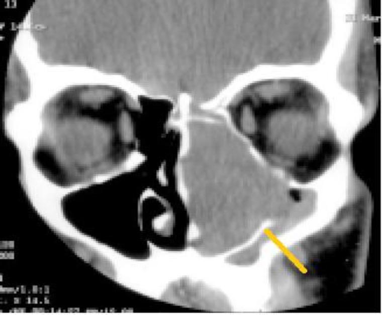
A 28-year-old man with a 6 month history of persistent progressive left nasal obstruction and watering of the left eye is reported. Further imaging by CT and MRI revealed a large, left-sided, highly vascular, nasal cavity mass (Figs.1-4) pushing laterally on the medial wall of the maxilla. The patient underwent a lateral rhinotomy, which proceeded with the excision of the mass. Histopathological analysis of the specimen was consistent with SFT.

CONCLUSION

This case is reported to develop insights regarding diagnosis and management of such rare tumours.

摘要

引言

鼻腔和鼻窦的孤立性纤维瘤(SFTs)极为罕见。这些肿瘤最初被描述为起源于梭形细胞的胸膜肿瘤。它进一步被归类为一种良性间皮瘤。此前已有报道称其发生于许多胸膜外部位,主要在肝脏、咽旁间隙、舌下腺、舌、腮腺、甲状腺、眶周区域,极少数情况下发生于鼻腔和鼻窦区域。

病例报告

报道了一名28岁男性,有6个月持续进行性左鼻阻塞和左眼流泪的病史。通过CT和MRI进一步成像显示左侧鼻腔有一个大的、高度血管化的肿块(图1 - 4),该肿块向外推挤上颌骨内侧壁。患者接受了外侧鼻切开术,并切除了肿块。标本的组织病理学分析与孤立性纤维瘤一致。

结论

报告该病例是为了深入了解此类罕见肿瘤的诊断和管理。

https://cdn.ncbi.nlm.nih.gov/pmc/blobs/fc6b/4710884/01d9d3f6e138/ijo-27-307-g001.jpg

文献AI研究员

20分钟写一篇综述,助力文献阅读效率提升50倍。

立即体验

用中文搜PubMed

大模型驱动的PubMed中文搜索引擎

马上搜索

文档翻译

学术文献翻译模型,支持多种主流文档格式。

立即体验