Suppr超能文献

一名8岁儿童因胰腺实性假乳头状瘤继发胃出口梗阻。病例报告。

Gastric outlet obstruction secondary to solid-pseudopapillary neoplasm of the pancreas in an eight year old child. Report of a case.

作者信息

Bidassek Rick, Spelter Herbert, Gödde Daniel, Zirngibl Hubert, Ambe Peter C

机构信息

Helios Klinikum Wuppertal, Department of Surgery II, Witten - Herdecke University, 42283, Wuppertal, Germany.

Institute of Pathology and Molecular Pathology, Helios Klinikum Wuppertal, Witten - Herdecke University, Wuppertal, Germany.

出版信息

Diagn Pathol. 2016 Jan 20;11:7. doi: 10.1186/s13000-016-0465-7.

Abstract

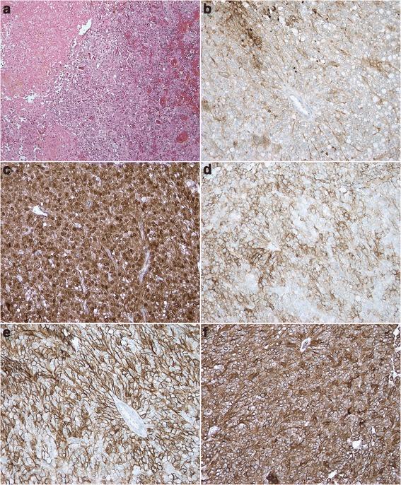
BACKGROUND

Solid pseudopapillary neoplasm is a rare cystic tumor of the exocrine pancreas. Abdominal pain or discomfort is the most common symptom, usually in young females.

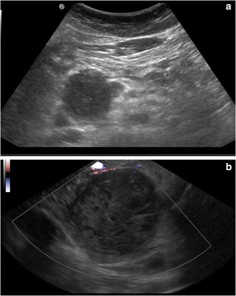
CASE PRESENTATION

Herein we report the case of an 8 - year old child presenting with symptoms of gastric outlet obstruction.

CONCLUSION

A solid pseudopapillary neoplasm of the pancreatic caput was diagnosed and surgically removed.

摘要

背景

实性假乳头状肿瘤是一种罕见的胰腺外分泌囊性肿瘤。腹痛或不适是最常见的症状,通常发生在年轻女性身上。

病例报告

在此我们报告一例8岁儿童出现胃出口梗阻症状的病例。

结论

诊断为胰头实性假乳头状肿瘤并进行了手术切除。

https://cdn.ncbi.nlm.nih.gov/pmc/blobs/48ea/4721149/da546e9c7ffb/13000_2016_465_Fig1_HTML.jpg

文献AI研究员

20分钟写一篇综述,助力文献阅读效率提升50倍。

立即体验

用中文搜PubMed

大模型驱动的PubMed中文搜索引擎

马上搜索

文档翻译

学术文献翻译模型,支持多种主流文档格式。

立即体验