Suppr超能文献

一名感染HIV患者的鸟分枝杆菌-胞内分枝杆菌脑脓肿

Mycobacterium avium-intracellulare brain abscesses in an HIV-infected patient.

作者信息

Begley Christopher, Amaraneni Akshay, Lutwick Larry

机构信息

Department of Internal Medicine, Homer Stryker M.D. School of Medicine, Western Michigan University, Kalamazoo, MI, USA.

出版信息

IDCases. 2014 Nov 24;2(1):19-21. doi: 10.1016/j.idcr.2014.11.002. eCollection 2015.

Abstract

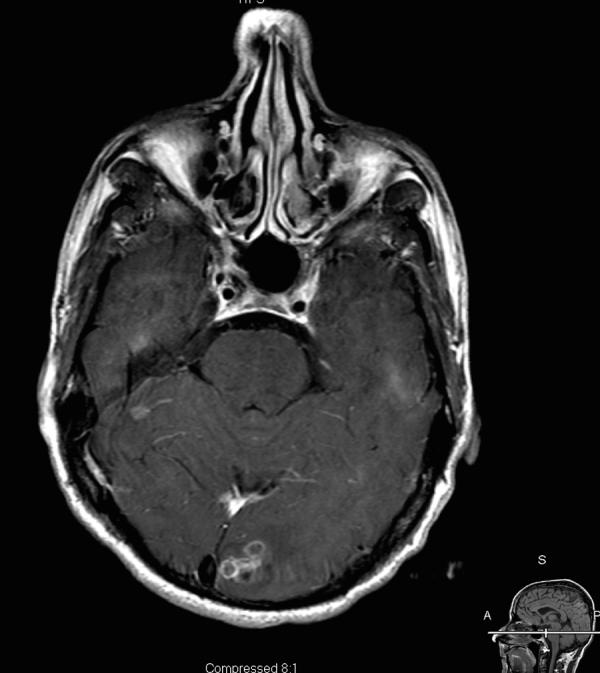
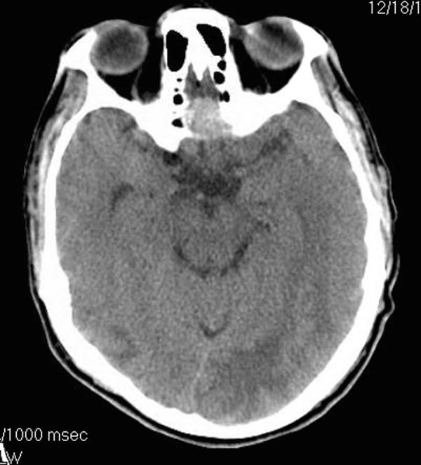
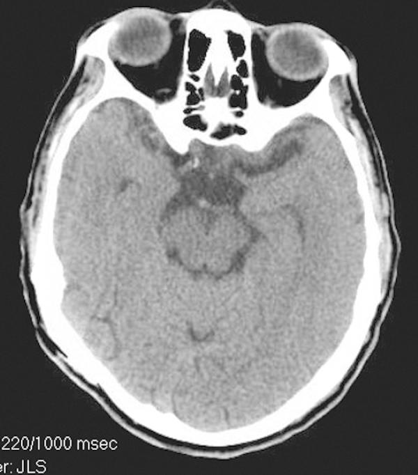
The Mycobacterium avium-intracellulare complex (MAC) is an uncommon cause of brain abscesses even in patients with acquired immunodeficiency syndrome (AIDS). We present a case of a multiple MAC brain abscesses, confirmed by brain biopsy and culture, in a patient with AIDS. The patient's initial symptoms were weakness, confusion and headaches. The patient was initially treated for toxoplasmosis and pyogenic bacterial brain abscesses with no resolution. Following treatment for MAC the patient's abscesses resolved.

摘要

鸟分枝杆菌-胞内分枝杆菌复合体(MAC)即使在获得性免疫缺陷综合征(AIDS)患者中,也是脑脓肿的不常见病因。我们报告一例经脑活检和培养确诊为多发性MAC脑脓肿的AIDS患者。患者最初的症状是虚弱、意识模糊和头痛。患者最初接受了弓形虫病和化脓性细菌性脑脓肿的治疗,但病情未缓解。针对MAC进行治疗后,患者的脓肿消退。

https://cdn.ncbi.nlm.nih.gov/pmc/blobs/f375/4672616/b41a8be90386/gr1.jpg

文献AI研究员

20分钟写一篇综述,助力文献阅读效率提升50倍。

立即体验

用中文搜PubMed

大模型驱动的PubMed中文搜索引擎

马上搜索

文档翻译

学术文献翻译模型,支持多种主流文档格式。

立即体验