Suppr超能文献

Mesenteric Fibromatosis Mimicking Tumor Recurrence Following Radical Cystectomy and Bladder Replacement.

作者信息

Zilberman Dorit E, Mor Yoram, Fridman Edward, Ramon Jacob

机构信息

Department of Urology, Chaim Sheba Medical Center, Tel Hashomer, Ramat-Gan 52621, Israel; Tel-Aviv University, Sackler School of Medicine, Israel.

Department of Pathology, Chaim Sheba Medical Center, Tel Hashomer, Israel; Tel-Aviv University, Sackler School of Medicine, Israel.

出版信息

Urol Case Rep. 2015 Jan 19;3(2):40-1. doi: 10.1016/j.eucr.2014.12.010. eCollection 2015 Mar.

Abstract

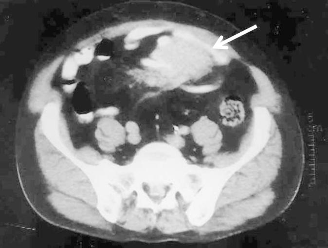
We report an unusual case of benign tumor mimicking tumor recurrence following radical cystectomy and bladder replacement for high grade urothelial carcinoma.

摘要
https://cdn.ncbi.nlm.nih.gov/pmc/blobs/be2c/4714273/a1ba27c69fb7/gr1.jpg

文献AI研究员

20分钟写一篇综述,助力文献阅读效率提升50倍。

立即体验

用中文搜PubMed

大模型驱动的PubMed中文搜索引擎

马上搜索

文档翻译

学术文献翻译模型,支持多种主流文档格式。

立即体验