Suppr超能文献

前列腺癌继发输尿管转移:一例报告

Ureteral Metastasis Secondary to Prostate Cancer: A Case Report.

作者信息

Morales I, Bassa C, Pavlovic A, Morales C

机构信息

Department of Surgery, Universidad de los Andes, Santiago, Región Metropolitana, Chile.

School of Medicine, Universidad de los Andes, Santiago, Región Metropolitana, Chile.

出版信息

Urol Case Rep. 2015 Dec 29;5:4-5. doi: 10.1016/j.eucr.2015.10.009. eCollection 2016 Mar.

Abstract

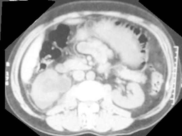
Prostate cancer is very frequent, but secondary ureteral metastasis are extremely rare. We present a 55 year old man with a 2 month history of right flank pain and lower urinary tract symptoms. Prostatic specific antigen of 11.3 ng/mL. Computed tomography showed right hydroureteronephrosis, a developing urinoma and right iliac adenopathies. He underwent right ureteronephrectomy, iliac lymphadenectomy and prostate biopsy. Pathology revealed prostatic carcinoma infiltrating the ureteral muscularis propria, without mucosal involvement. There are 46 reported cases of prostate cancer with ureteral metastases. Ureteral metastasis are a rare cause of renal colic and need of a high index of suspicion.

摘要

前列腺癌非常常见,但继发性输尿管转移极为罕见。我们报告一名55岁男性,有2个月的右侧腰痛和下尿路症状病史。前列腺特异性抗原为11.3 ng/mL。计算机断层扫描显示右侧肾盂输尿管积水、正在形成的尿囊肿和右侧髂淋巴结肿大。他接受了右侧输尿管肾切除术、髂淋巴结切除术和前列腺活检。病理显示前列腺癌浸润输尿管固有肌层,未累及黏膜。有46例前列腺癌伴输尿管转移的报道。输尿管转移是肾绞痛的罕见原因,需要高度怀疑。

https://cdn.ncbi.nlm.nih.gov/pmc/blobs/d7c9/4719904/f37ca990e131/gr1.jpg

文献AI研究员

20分钟写一篇综述,助力文献阅读效率提升50倍。

立即体验

用中文搜PubMed

大模型驱动的PubMed中文搜索引擎

马上搜索

文档翻译

学术文献翻译模型,支持多种主流文档格式。

立即体验