Suppr超能文献

Surgical Application of the Suboccipital Subtonsillar Approach to Reach the Inferior Half of Medulla Oblongata Tumors in Adult Patients.

作者信息

Rabadán Alejandra T, Campero Alvaro, Hernández Diego

机构信息

Division of Neurosurgery, Institute of Medical Research A. Lanari, University of Buenos Aires , Buenos Aires , Argentina.

Department of Neurosurgery, Hospital Padilla , Tucumán , Argentina.

出版信息

Front Surg. 2016 Jan 13;2:72. doi: 10.3389/fsurg.2015.00072. eCollection 2015.

Abstract

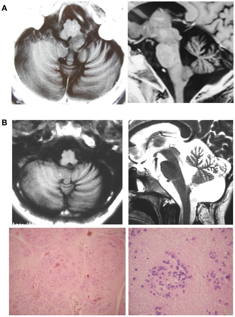
Medulla oblongata (MO) tumors are uncommon in adults. Controversies about their treatment arise regarding the need for histological diagnosis in this eloquent area of the brain, weighing benefits of a reliable diagnosis, and the potential disadvantages of invasive procedures. As a broader variety of pathological findings could be found in this localization, the accurate histopathological definition could not only allow an adequate therapy but also can prevent the disastrous consequences of empiric treatments. There are few publications about their surgical management and all belongs to small retrospective cohorts. In this scenario, we are reporting two patients with exophytic or focal lesions in the inferior half of the medulla, who underwent surgery by suboccipital midline subtonsillar approach. This approach was not specifically described to reach MO before, and we found that the lesions produced a mild elevation of the tonsils providing a wide surgical view from the medulla to the foramen of Luchska laterally, and up to the middle cerebellar peduncle, offering a wide and safe access.

摘要
https://cdn.ncbi.nlm.nih.gov/pmc/blobs/fe40/4710703/83528cfc3760/fsurg-02-00072-g001.jpg

文献AI研究员

20分钟写一篇综述,助力文献阅读效率提升50倍。

立即体验

用中文搜PubMed

大模型驱动的PubMed中文搜索引擎

马上搜索

文档翻译

学术文献翻译模型,支持多种主流文档格式。

立即体验