• 文献检索
  • 文档翻译
  • 深度研究
  • 学术资讯
  • Suppr Zotero 插件Zotero 插件
  • 邀请有礼
  • 套餐&价格
  • 历史记录
应用&插件
Suppr Zotero 插件Zotero 插件浏览器插件Mac 客户端Windows 客户端微信小程序
定价
高级版会员购买积分包购买API积分包
服务
文献检索文档翻译深度研究API 文档MCP 服务
关于我们
关于 Suppr公司介绍联系我们用户协议隐私条款
关注我们

Suppr 超能文献

核心技术专利:CN118964589B侵权必究
粤ICP备2023148730 号-1Suppr @ 2026

文献检索

告别复杂PubMed语法,用中文像聊天一样搜索,搜遍4000万医学文献。AI智能推荐,让科研检索更轻松。

立即免费搜索

文件翻译

保留排版,准确专业,支持PDF/Word/PPT等文件格式,支持 12+语言互译。

免费翻译文档

深度研究

AI帮你快速写综述,25分钟生成高质量综述,智能提取关键信息,辅助科研写作。

立即免费体验

SMYD1,一种与血清反应因子相互作用的蛋白,参与血管生成。

SMYD1, an SRF-Interacting Partner, Is Involved in Angiogenesis.

作者信息

Ye Xiangli, Qian Yu, Wang Qian, Yuan Wuzhou, Mo Xiaoyang, Li Yongqing, Jiang Zhigang, Xu Wei, Deng Yun, Wan Yongqi, Fan Xiongwei, Wu Xiushan, Wang Yuequn

机构信息

The Center for Heart Development, Key Lab of MOE for Development Biology and Protein Chemistry, College of Life Sciences, Hunan Normal University, Changsha, 410081, Hunan, China.

Shanghai Key Laboratory of Regulatory Biology, Institute of Biomedical Sciences and School of Life Sciences, East China Normal University, Shanghai, 200241, China.

出版信息

PLoS One. 2016 Jan 22;11(1):e0146468. doi: 10.1371/journal.pone.0146468. eCollection 2016.

DOI:10.1371/journal.pone.0146468
PMID:26799706
原文链接:https://pmc.ncbi.nlm.nih.gov/articles/PMC4723226/
Abstract

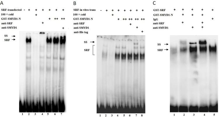
Previous studies have demonstrated that Smyd1 plays a critical role in cardiomyocyte differentiation, cardiac morphogenesis and myofibril organization. In this study, we uncovered a novel function of Smyd1 in the regulation of endothelial cells (ECs). Our data showed that Smyd1 is expressed in vascular endothelial cells, and knockdown of SMYD1 in endothelial cells impairs EC migration and tube formation. Furthermore, Co-IP and GST pull-down assays demonstrated that SMYD1 is associated with the Serum Response Factor (SRF). EMSA assays further showed that SMYD1 forms a complex with SRF and enhances SRF DNA binding activity. Our studies indicate that SMYD1 serves as an SRF-interacting protein, enhances SRF DNA binding activity, and is required for EC migration and tube formation to regulate angiogenesis.

摘要

先前的研究表明,Smyd1在心肌细胞分化、心脏形态发生和肌原纤维组织中起关键作用。在本研究中,我们发现了Smyd1在调节内皮细胞(ECs)方面的新功能。我们的数据显示,Smyd1在血管内皮细胞中表达,在内皮细胞中敲低SMYD1会损害EC迁移和管形成。此外,免疫共沉淀和谷胱甘肽-S-转移酶下拉试验表明,SMYD1与血清反应因子(SRF)相关。电泳迁移率变动分析试验进一步表明,SMYD1与SRF形成复合物并增强SRF的DNA结合活性。我们的研究表明,SMYD1作为一种与SRF相互作用的蛋白,增强SRF的DNA结合活性,是EC迁移和管形成以调节血管生成所必需的。

https://cdn.ncbi.nlm.nih.gov/pmc/blobs/cb42/4723226/676565b5df21/pone.0146468.g006.jpg
https://cdn.ncbi.nlm.nih.gov/pmc/blobs/cb42/4723226/9f1307b45285/pone.0146468.g001.jpg
https://cdn.ncbi.nlm.nih.gov/pmc/blobs/cb42/4723226/1a7b65245c42/pone.0146468.g002.jpg
https://cdn.ncbi.nlm.nih.gov/pmc/blobs/cb42/4723226/35a63a4723cb/pone.0146468.g003.jpg
https://cdn.ncbi.nlm.nih.gov/pmc/blobs/cb42/4723226/910dec72eda7/pone.0146468.g004.jpg
https://cdn.ncbi.nlm.nih.gov/pmc/blobs/cb42/4723226/eb9d3d1150e0/pone.0146468.g005.jpg
https://cdn.ncbi.nlm.nih.gov/pmc/blobs/cb42/4723226/676565b5df21/pone.0146468.g006.jpg
https://cdn.ncbi.nlm.nih.gov/pmc/blobs/cb42/4723226/9f1307b45285/pone.0146468.g001.jpg
https://cdn.ncbi.nlm.nih.gov/pmc/blobs/cb42/4723226/1a7b65245c42/pone.0146468.g002.jpg
https://cdn.ncbi.nlm.nih.gov/pmc/blobs/cb42/4723226/35a63a4723cb/pone.0146468.g003.jpg
https://cdn.ncbi.nlm.nih.gov/pmc/blobs/cb42/4723226/910dec72eda7/pone.0146468.g004.jpg
https://cdn.ncbi.nlm.nih.gov/pmc/blobs/cb42/4723226/eb9d3d1150e0/pone.0146468.g005.jpg
https://cdn.ncbi.nlm.nih.gov/pmc/blobs/cb42/4723226/676565b5df21/pone.0146468.g006.jpg

相似文献

1
SMYD1, an SRF-Interacting Partner, Is Involved in Angiogenesis.SMYD1,一种与血清反应因子相互作用的蛋白,参与血管生成。
PLoS One. 2016 Jan 22;11(1):e0146468. doi: 10.1371/journal.pone.0146468. eCollection 2016.
2
SMYD1, the myogenic activator, is a direct target of serum response factor and myogenin.SMYD1,肌生成激活因子,是血清反应因子和肌生成素的直接靶标。
Nucleic Acids Res. 2009 Nov;37(21):7059-71. doi: 10.1093/nar/gkp773.
3
The E3 SUMO ligase Nse2 regulates sumoylation and nuclear-to-cytoplasmic translocation of skNAC-Smyd1 in myogenesis.E3小泛素样修饰蛋白连接酶Nse2在肌肉生成过程中调节skNAC-Smyd1的小泛素样修饰以及细胞核到细胞质的转运。
J Cell Sci. 2014 Sep 1;127(Pt 17):3794-804. doi: 10.1242/jcs.150334. Epub 2014 Jul 7.
4
skNAC, a Smyd1-interacting transcription factor, is involved in cardiac development and skeletal muscle growth and regeneration.SkNAC,一种与 Smyd1 相互作用的转录因子,参与心脏发育和骨骼肌的生长和再生。
Proc Natl Acad Sci U S A. 2010 Nov 30;107(48):20750-5. doi: 10.1073/pnas.1013493107. Epub 2010 Nov 11.
5
siRNA-mediated inhibition of skNAC and Smyd1 expression disrupts myofibril organization: Immunofluorescence and electron microscopy study in C2C12 cells.小干扰RNA介导的skNAC和Smyd1表达抑制破坏肌原纤维组织:C2C12细胞的免疫荧光和电子显微镜研究
Micron. 2018 May;108:6-10. doi: 10.1016/j.micron.2018.02.009. Epub 2018 Feb 24.
6
Stability of Smyd1 in endothelial cells is controlled by PML-dependent SUMOylation upon cytokine stimulation.细胞因子刺激下,Smyd1 在血管内皮细胞中的稳定性受 PML 依赖性 SUMO 化修饰调控。
Biochem J. 2021 Jan 15;478(1):217-234. doi: 10.1042/BCJ20200603.
7
PIAS1 activates the expression of smooth muscle cell differentiation marker genes by interacting with serum response factor and class I basic helix-loop-helix proteins.PIAS1 通过与血清反应因子及 I 类碱性螺旋-环-螺旋蛋白相互作用,激活平滑肌细胞分化标志物基因的表达。
Mol Cell Biol. 2005 Sep;25(18):8009-23. doi: 10.1128/MCB.25.18.8009-8023.2005.
8
skNAC and Smyd1 in transcriptional control.skNAC和Smyd1在转录调控中。
Exp Cell Res. 2015 Aug 15;336(2):182-91. doi: 10.1016/j.yexcr.2015.06.019. Epub 2015 Jul 7.
9
SMYD1 and G6PD modulation are critical events for miR-206-mediated differentiation of rhabdomyosarcoma.SMYD1和G6PD调节是miR-206介导的横纹肌肉瘤分化的关键事件。
Cell Cycle. 2015;14(9):1389-402. doi: 10.1080/15384101.2015.1005993.
10
Smyd1 facilitates heart development by antagonizing oxidative and ER stress responses.Smyd1通过对抗氧化应激和内质网应激反应促进心脏发育。
PLoS One. 2015 Mar 24;10(3):e0121765. doi: 10.1371/journal.pone.0121765. eCollection 2015.

引用本文的文献

1
The Methyltransferase Smyd1 Mediates LPS-Triggered Up-Regulation of IL-6 in Endothelial Cells.甲基转移酶 Smyd1 介导线粒体 DNA 损伤诱导内皮细胞白细胞介素 6 的表达。
Cells. 2021 Dec 13;10(12):3515. doi: 10.3390/cells10123515.
2
The SMYD1 and skNAC transcription factors contribute to neurodegenerative diseases.SMYD1和skNAC转录因子与神经退行性疾病有关。
Brain Behav Immun Health. 2020 Sep 1;9:100129. doi: 10.1016/j.bbih.2020.100129. eCollection 2020 Dec.
3
Histone Methylation Related Therapeutic Challenge in Cardiovascular Diseases.

本文引用的文献

1
Endothelial differentiation gene-1, a new downstream gene is involved in RTEF-1 induced angiogenesis in endothelial cells.内皮分化基因-1,一个新的下游基因,参与RTEF-1诱导的内皮细胞血管生成。
PLoS One. 2014 Feb 10;9(2):e88143. doi: 10.1371/journal.pone.0088143. eCollection 2014.
2
Itraconazole inhibits HMEC-1 angiogenesis.伊曲康唑抑制 HMEC-1 血管生成。
Biomed Pharmacother. 2012 Jun;66(4):312-7. doi: 10.1016/j.biopha.2011.11.004. Epub 2011 Dec 21.
3
FGF-2 regulates cell proliferation, migration, and angiogenesis through an NDY1/KDM2B-miR-101-EZH2 pathway.
心血管疾病中组蛋白甲基化相关的治疗挑战
Front Cardiovasc Med. 2021 Sep 9;8:710053. doi: 10.3389/fcvm.2021.710053. eCollection 2021.
4
Genomic Analyses Reveal Adaptation to Hot Arid and Harsh Environments in Native Chickens of China.基因组分析揭示中国本土鸡对炎热干旱和恶劣环境的适应性。
Front Genet. 2020 Dec 21;11:582355. doi: 10.3389/fgene.2020.582355. eCollection 2020.
5
Heart Transplantation from Biventricular Support in Infant with Novel SMYD1 Mutation.患有新型SMYD1突变婴儿的双心室支持下的心脏移植
Pediatr Cardiol. 2019 Dec;40(8):1745-1747. doi: 10.1007/s00246-019-02139-7. Epub 2019 Jul 5.
6
The Smyd Family of Methyltransferases: Role in Cardiac and Skeletal Muscle Physiology and Pathology.Smyd甲基转移酶家族:在心肌和骨骼肌生理与病理中的作用
Curr Opin Physiol. 2018 Feb;1:140-152. doi: 10.1016/j.cophys.2017.10.001. Epub 2017 Dec 13.
7
Exome sequencing analysis of murine medulloblastoma models identifies WDR11 as a potential tumor suppressor in Group 3 tumors.对小鼠髓母细胞瘤模型的外显子组测序分析确定WDR11为3组肿瘤中的一种潜在肿瘤抑制因子。
Oncotarget. 2017 Jul 27;8(39):64685-64697. doi: 10.18632/oncotarget.19642. eCollection 2017 Sep 12.
成纤维细胞生长因子 2 通过 NDY1/KDM2B- miR-101-EZH2 通路调节细胞增殖、迁移和血管生成。
Mol Cell. 2011 Jul 22;43(2):285-98. doi: 10.1016/j.molcel.2011.06.020.
4
SMYD1, the myogenic activator, is a direct target of serum response factor and myogenin.SMYD1,肌生成激活因子,是血清反应因子和肌生成素的直接靶标。
Nucleic Acids Res. 2009 Nov;37(21):7059-71. doi: 10.1093/nar/gkp773.
5
SRF in angiogenesis: branching the vascular system.血清反应因子在血管生成中的作用:构建分支状血管系统。
Cell Adh Migr. 2009 Jul-Sep;3(3):264-7. doi: 10.4161/cam.3.3.8291. Epub 2009 Jul 25.
6
Serum response factor is required for sprouting angiogenesis and vascular integrity.血清反应因子是出芽血管生成和血管完整性所必需的。
Dev Cell. 2008 Sep;15(3):448-461. doi: 10.1016/j.devcel.2008.07.019.
7
PDGF/VEGF system activation and angiogenesis following initial post ovariectomy meningeal microvessel loss.卵巢切除术后初期脑膜微血管丢失后的血小板源性生长因子/血管内皮生长因子系统激活与血管生成
Cell Cycle. 2008 May 15;7(10):1385-90. doi: 10.4161/cc.7.10.5819. Epub 2008 Feb 25.
8
Foxs and Ets in the transcriptional regulation of endothelial cell differentiation and angiogenesis.Foxs和Ets在内皮细胞分化与血管生成的转录调控中作用
Biochim Biophys Acta. 2007 Jun;1775(2):298-312. doi: 10.1016/j.bbcan.2007.05.003. Epub 2007 May 18.
9
Molecular regulation of angiogenesis and lymphangiogenesis.血管生成与淋巴管生成的分子调控。
Nat Rev Mol Cell Biol. 2007 Jun;8(6):464-78. doi: 10.1038/nrm2183.
10
SmyD1, a histone methyltransferase, is required for myofibril organization and muscle contraction in zebrafish embryos.SmyD1是一种组蛋白甲基转移酶,在斑马鱼胚胎的肌原纤维组织和肌肉收缩过程中发挥作用。
Proc Natl Acad Sci U S A. 2006 Feb 21;103(8):2713-8. doi: 10.1073/pnas.0509503103. Epub 2006 Feb 13.