• 文献检索
  • 文档翻译
  • 深度研究
  • 学术资讯
  • Suppr Zotero 插件Zotero 插件
  • 邀请有礼
  • 套餐&价格
  • 历史记录
应用&插件
Suppr Zotero 插件Zotero 插件浏览器插件Mac 客户端Windows 客户端微信小程序
定价
高级版会员购买积分包购买API积分包
服务
文献检索文档翻译深度研究API 文档MCP 服务
关于我们
关于 Suppr公司介绍联系我们用户协议隐私条款
关注我们

Suppr 超能文献

核心技术专利:CN118964589B侵权必究
粤ICP备2023148730 号-1Suppr @ 2026

文献检索

告别复杂PubMed语法,用中文像聊天一样搜索,搜遍4000万医学文献。AI智能推荐,让科研检索更轻松。

立即免费搜索

文件翻译

保留排版,准确专业,支持PDF/Word/PPT等文件格式,支持 12+语言互译。

免费翻译文档

深度研究

AI帮你快速写综述,25分钟生成高质量综述,智能提取关键信息,辅助科研写作。

立即免费体验

SMYD1,肌生成激活因子,是血清反应因子和肌生成素的直接靶标。

SMYD1, the myogenic activator, is a direct target of serum response factor and myogenin.

机构信息

The Institute of Biomedical Sciences and School of Life Sciences, East China Normal University, Shanghai 200241.

出版信息

Nucleic Acids Res. 2009 Nov;37(21):7059-71. doi: 10.1093/nar/gkp773.

DOI:10.1093/nar/gkp773
PMID:19783823
原文链接:https://pmc.ncbi.nlm.nih.gov/articles/PMC2790895/
Abstract

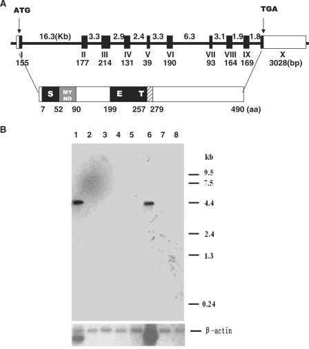
SMYD1 is a heart and muscle specific SET-MYND domain containing protein, which functions as a histone methyltransferase and regulates downstream gene transcription. We demonstrated that the expression of SMYD1 is restricted in the heart and skeletal muscle tissues in human. To reveal the regulatory mechanisms of SMYD1 expression during myogenesis and cardiogenesis, we cloned and characterized the human SMYD1 promoter, which contains highly conserved serum response factor (SRF) and myogenin binding sites. Overexpression of SRF and myogenin significantly increased the endogenous expression level of Smyd1 in C2C12 cells, respectively. Deletion of Srf in the heart of mouse embryos dramatically decreased the expression level of Smyd1 mRNA and the expression of Smyd1 can be rescued by exogenous SRF introduction in SRF null ES cells during differentiation. Furthermore, we demonstrated that SRF binds to the CArG site and myogenin binds to the E-box element on Smyd1 promoter region using EMSA and ChIP assays. Moreover, forced expression of SMYD1 accelerates myoblast differentiation and myotube formation in C2C12 cells. Taken together, these studies demonstrated that SMYD1 is a key regulator of myogenic differentiation and acts as a downstream target of muscle regulatory factors, SRF and myogenin.

摘要

SMYD1 是一种心脏和肌肉特异性的 SET-MYND 结构域蛋白,具有组蛋白甲基转移酶的功能,可调节下游基因转录。我们发现 SMYD1 主要在人体的心脏和骨骼肌组织中表达。为了揭示 SMYD1 在心肌生成和心生成过程中的表达调控机制,我们克隆并鉴定了人 SMYD1 启动子,该启动子含有高度保守的血清反应因子(SRF)和肌生成素结合位点。SRF 和肌生成素的过表达分别显著增加了 C2C12 细胞中内源性 Smyd1 的表达水平。在小鼠胚胎心脏中敲除 Srf 可显著降低 Smyd1 mRNA 的表达水平,并且在 SRF 缺失的 ES 细胞分化过程中外源 SRF 的引入可挽救 Smyd1 的表达。此外,我们通过 EMSA 和 ChIP 实验证明,SRF 结合到 Smyd1 启动子区域的 CArG 位点,而肌生成素结合到 E-box 元件上。此外,SMYD1 的强制表达可加速 C2C12 细胞中的成肌细胞分化和肌管形成。综上所述,这些研究表明 SMYD1 是肌生成分化的关键调节因子,并且是肌肉调节因子 SRF 和肌生成素的下游靶标。

https://cdn.ncbi.nlm.nih.gov/pmc/blobs/776d/2790895/d8f80208bd28/gkp773f8.jpg
https://cdn.ncbi.nlm.nih.gov/pmc/blobs/776d/2790895/992cb7170a42/gkp773f1.jpg
https://cdn.ncbi.nlm.nih.gov/pmc/blobs/776d/2790895/2cf291a6c406/gkp773f2.jpg
https://cdn.ncbi.nlm.nih.gov/pmc/blobs/776d/2790895/c1193a65f75a/gkp773f3.jpg
https://cdn.ncbi.nlm.nih.gov/pmc/blobs/776d/2790895/97517826432d/gkp773f4.jpg
https://cdn.ncbi.nlm.nih.gov/pmc/blobs/776d/2790895/dcfb4409ec22/gkp773f5.jpg
https://cdn.ncbi.nlm.nih.gov/pmc/blobs/776d/2790895/858040473ce8/gkp773f6.jpg
https://cdn.ncbi.nlm.nih.gov/pmc/blobs/776d/2790895/78cb838eb3d1/gkp773f7.jpg
https://cdn.ncbi.nlm.nih.gov/pmc/blobs/776d/2790895/d8f80208bd28/gkp773f8.jpg
https://cdn.ncbi.nlm.nih.gov/pmc/blobs/776d/2790895/992cb7170a42/gkp773f1.jpg
https://cdn.ncbi.nlm.nih.gov/pmc/blobs/776d/2790895/2cf291a6c406/gkp773f2.jpg
https://cdn.ncbi.nlm.nih.gov/pmc/blobs/776d/2790895/c1193a65f75a/gkp773f3.jpg
https://cdn.ncbi.nlm.nih.gov/pmc/blobs/776d/2790895/97517826432d/gkp773f4.jpg
https://cdn.ncbi.nlm.nih.gov/pmc/blobs/776d/2790895/dcfb4409ec22/gkp773f5.jpg
https://cdn.ncbi.nlm.nih.gov/pmc/blobs/776d/2790895/858040473ce8/gkp773f6.jpg
https://cdn.ncbi.nlm.nih.gov/pmc/blobs/776d/2790895/78cb838eb3d1/gkp773f7.jpg
https://cdn.ncbi.nlm.nih.gov/pmc/blobs/776d/2790895/d8f80208bd28/gkp773f8.jpg

相似文献

1
SMYD1, the myogenic activator, is a direct target of serum response factor and myogenin.SMYD1,肌生成激活因子,是血清反应因子和肌生成素的直接靶标。
Nucleic Acids Res. 2009 Nov;37(21):7059-71. doi: 10.1093/nar/gkp773.
2
SMYD1, an SRF-Interacting Partner, Is Involved in Angiogenesis.SMYD1,一种与血清反应因子相互作用的蛋白,参与血管生成。
PLoS One. 2016 Jan 22;11(1):e0146468. doi: 10.1371/journal.pone.0146468. eCollection 2016.
3
Lysine Methyltransferase SMYD1 Regulates Myogenesis via skNAC Methylation.赖氨酸甲基转移酶 SMYD1 通过 skNAC 甲基化调节成肌分化。
Cells. 2023 Jun 22;12(13):1695. doi: 10.3390/cells12131695.
4
A skeletal muscle-specific enhancer regulated by factors binding to E and CArG boxes is present in the promoter of the mouse myosin light-chain 1A gene.小鼠肌球蛋白轻链1A基因启动子中存在一个由与E盒和CArG盒结合的因子调控的骨骼肌特异性增强子。
Mol Cell Biol. 1995 Aug;15(8):4585-96. doi: 10.1128/MCB.15.8.4585.
5
The steroid receptor coactivator, GRIP-1, is necessary for MEF-2C-dependent gene expression and skeletal muscle differentiation.类固醇受体辅激活因子GRIP-1对于MEF-2C依赖的基因表达和骨骼肌分化是必需的。
Genes Dev. 2000 May 15;14(10):1209-28.
6
skNAC and Smyd1 in transcriptional control.skNAC和Smyd1在转录调控中。
Exp Cell Res. 2015 Aug 15;336(2):182-91. doi: 10.1016/j.yexcr.2015.06.019. Epub 2015 Jul 7.
7
Ret finger protein inhibits muscle differentiation by modulating serum response factor and enhancer of polycomb1.Ret 手指蛋白通过调节血清反应因子和 Polycomb1 增强子抑制肌肉分化。
Cell Death Differ. 2012 Jan;19(1):121-31. doi: 10.1038/cdd.2011.72. Epub 2011 Jun 3.
8
Organization and myogenic restricted expression of the murine serum response factor gene. A role for autoregulation.小鼠血清反应因子基因的组织与成肌特异性表达。自动调节的作用。
J Biol Chem. 1997 Jul 18;272(29):18222-31. doi: 10.1074/jbc.272.29.18222.
9
skNAC, a Smyd1-interacting transcription factor, is involved in cardiac development and skeletal muscle growth and regeneration.SkNAC,一种与 Smyd1 相互作用的转录因子,参与心脏发育和骨骼肌的生长和再生。
Proc Natl Acad Sci U S A. 2010 Nov 30;107(48):20750-5. doi: 10.1073/pnas.1013493107. Epub 2010 Nov 11.
10
Evidence for serum response factor-mediated regulatory networks governing SM22alpha transcription in smooth, skeletal, and cardiac muscle cells.血清反应因子介导的调控网络在平滑肌、骨骼肌和心肌细胞中调控SM22α转录的证据。
Dev Biol. 1997 Jul 15;187(2):311-21. doi: 10.1006/dbio.1997.8621.

引用本文的文献

1
High temporal-resolution transcriptome landscape reveals the biological process and regulatory genes of melanin deposition in breast muscle of Silkie chickens during embryonic development.高时间分辨率转录组图谱揭示了丝羽乌骨鸡胚胎发育期间胸肌黑色素沉积的生物学过程和调控基因。
BMC Genomics. 2025 May 13;26(1):476. doi: 10.1186/s12864-025-11654-2.
2
Essential Role of Cortactin in Myogenic Differentiation: Regulating Actin Dynamics and Myocardin-Related Transcription Factor A-Serum Response Factor (MRTFA-SRF) Signaling.皮层肌动蛋白在肌源性分化中的重要作用:调节肌动蛋白动力学和心肌相关转录因子A-血清反应因子(MRTFA-SRF)信号通路。
Int J Mol Sci. 2024 Dec 18;25(24):13564. doi: 10.3390/ijms252413564.
3

本文引用的文献

1
Serum response factor orchestrates nascent sarcomerogenesis and silences the biomineralization gene program in the heart.血清反应因子协调新生肌节的形成,并使心脏中的生物矿化基因程序沉默。
Proc Natl Acad Sci U S A. 2008 Nov 18;105(46):17824-9. doi: 10.1073/pnas.0805491105. Epub 2008 Nov 12.
2
smyd1 and smyd2 are expressed in muscle tissue in Xenopus laevis.SMYD1 和 SMYD2 在非洲爪蟾的肌肉组织中表达。
Cytotechnology. 2008 Jun;57(2):161-8. doi: 10.1007/s10616-008-9128-1. Epub 2008 Feb 12.
3
Estrogen regulates KiSS1 gene expression through estrogen receptor alpha and SP protein complexes.
Expression of Smyd1b_tv1 by Alternative Splicing in Cardiac Muscle is Critical for Sarcomere Organization in Cardiomyocytes and Heart Function.
Smyd1b_tv1 通过选择性剪接在心肌中的表达对于心肌细胞肌节的组织和心脏功能至关重要。
Mol Cell Biol. 2024;44(12):543-561. doi: 10.1080/10985549.2024.2402660. Epub 2024 Sep 25.
4
WAVE2 Is a Vital Regulator in Myogenic Differentiation of Progenitor Cells through the Mechanosensitive MRTFA-SRF Axis.WAVE2 通过机械敏感的 MRTFA-SRF 轴在祖细胞的成肌分化中是一个重要的调节因子。
Cells. 2023 Dec 20;13(1):9. doi: 10.3390/cells13010009.
5
Loss of full-length dystrophin expression results in major cell-autonomous abnormalities in proliferating myoblasts.缺失全长肌营养不良蛋白的表达会导致增殖性成肌细胞发生主要的细胞自主性异常。
Elife. 2022 Sep 27;11:e75521. doi: 10.7554/eLife.75521.
6
GPR126 regulates colorectal cancer cell proliferation by mediating HDAC2 and GLI2 expression.GPR126 通过介导 HDAC2 和 GLI2 的表达来调节结直肠癌细胞增殖。
Cancer Sci. 2021 May;112(5):1798-1810. doi: 10.1111/cas.14868. Epub 2021 Mar 19.
7
Role of Muscle-Specific Histone Methyltransferase (Smyd1) in Exercise-Induced Cardioprotection against Pathological Remodeling after Myocardial Infarction.肌特异性组蛋白甲基转移酶(Smyd1)在运动诱导的心肌梗死后病理性重构中的心脏保护作用。
Int J Mol Sci. 2020 Sep 23;21(19):7010. doi: 10.3390/ijms21197010.
8
MicroRNA-33a negatively regulates myoblast proliferation by targeting IGF1, follistatin and cyclin D1.微小 RNA-33a 通过靶向 IGF1、卵泡抑素和细胞周期蛋白 D1 负调控成肌细胞增殖。
Biosci Rep. 2020 Jun 26;40(6). doi: 10.1042/BSR20191327.
9
The SMYD3 methyltransferase promotes myogenesis by activating the myogenin regulatory network.SMYD3 甲基转移酶通过激活肌生成素调控网络促进成肌生成。
Sci Rep. 2019 Nov 21;9(1):17298. doi: 10.1038/s41598-019-53577-5.
10
Myomesin is part of an integrity pathway that responds to sarcomere damage and disease.肌联蛋白是响应肌节损伤和疾病的完整性途径的一部分。
PLoS One. 2019 Oct 23;14(10):e0224206. doi: 10.1371/journal.pone.0224206. eCollection 2019.
雌激素通过雌激素受体α和SP蛋白复合物调节KiSS1基因的表达。
Endocrinology. 2007 Oct;148(10):4821-8. doi: 10.1210/en.2007-0154. Epub 2007 Jul 26.
4
Identification of a new hybrid serum response factor and myocyte enhancer factor 2-binding element in MyoD enhancer required for MyoD expression during myogenesis.在成肌过程中MyoD表达所需的MyoD增强子中鉴定出一种新的混合血清反应因子和肌细胞增强因子2结合元件。
Mol Biol Cell. 2007 Jun;18(6):1992-2001. doi: 10.1091/mbc.e06-09-0867. Epub 2007 Mar 21.
5
Muscle-specific expression of the smyd1 gene is controlled by its 5.3-kb promoter and 5'-flanking sequence in zebrafish embryos.在斑马鱼胚胎中,smyd1基因的肌肉特异性表达受其5.3 kb启动子和5'侧翼序列的控制。
Dev Dyn. 2006 Dec;235(12):3306-15. doi: 10.1002/dvdy.20984.
6
Serum response factor: master regulator of the actin cytoskeleton and contractile apparatus.血清反应因子:肌动蛋白细胞骨架和收缩装置的主要调节因子。
Am J Physiol Cell Physiol. 2007 Jan;292(1):C70-81. doi: 10.1152/ajpcell.00386.2006. Epub 2006 Aug 23.
7
SmyD1, a histone methyltransferase, is required for myofibril organization and muscle contraction in zebrafish embryos.SmyD1是一种组蛋白甲基转移酶,在斑马鱼胚胎的肌原纤维组织和肌肉收缩过程中发挥作用。
Proc Natl Acad Sci U S A. 2006 Feb 21;103(8):2713-8. doi: 10.1073/pnas.0509503103. Epub 2006 Feb 13.
8
Control of SRF binding to CArG box chromatin regulates smooth muscle gene expression in vivo.体内SRF与CArG盒染色质结合的调控调节平滑肌基因表达。
J Clin Invest. 2006 Jan;116(1):36-48. doi: 10.1172/JCI26505.
9
Modulation of muscle regeneration, myogenesis, and adipogenesis by the Rho family guanine nucleotide exchange factor GEFT.Rho家族鸟嘌呤核苷酸交换因子GEFT对肌肉再生、肌发生和脂肪生成的调节作用。
Mol Cell Biol. 2005 Dec;25(24):11089-101. doi: 10.1128/MCB.25.24.11089-11101.2005.
10
Genetic and epigenetic control of skeletal muscle development.骨骼肌发育的遗传和表观遗传控制
Ann Anat. 2005 Jul;187(3):199-207. doi: 10.1016/j.aanat.2004.12.018.