Suppr超能文献

水蓼黄酮通过抑制丝裂原活化蛋白激酶(MAPKs)通路的磷酸化减轻脂多糖诱导的炎症损伤。

Flavonoids of Polygonum hydropiper L. attenuates lipopolysaccharide-induced inflammatory injury via suppressing phosphorylation in MAPKs pathways.

作者信息

Tao Junyu, Wei Yingyi, Hu Tingjun

机构信息

College of Animal Science and Technology, Guangxi University, Nanning, 530005, P.R. China.

出版信息

BMC Complement Altern Med. 2016 Jan 22;16:25. doi: 10.1186/s12906-016-1001-8.

Abstract

BACKGROUND

Polygonum hydropiper L. is widely used as a traditional remedy for the treatment of dysentery, gastroenteritis. It has been used to relieve swelling and pain, dispel wind and remove dampness, eliminate abundant phlegm and inflammatory for a long time. Previous study showed that antioxidants especially flavonoids pretreatment alleviated sepsis-induced injury in vitro and in vivo. In the present study, the possible anti-inflammatory effect of flavonoids from normal butanol fraction of Polygonum hydropiper L. extract (FNP) against inflammation induced by lipopolysaccharide (LPS) was evaluated in vivo and in vitro.

METHODS

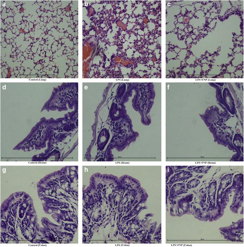
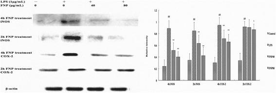
The content of total flavonoid of FNP was determined by the aluminum colorimetric method. The content of rutin, quercetin and quercitrin was determined by HPLC method. Mice received FNP orally 3 days before an intra-peritoneal (i.p.) injection of lipopolysaccharide (LPS). Total superoxidase dismutase (T-SOD), total antioxidant capacity (T-AOC), glutathione peroxidase (GSH-PX), glutathione (GSH), myeloperoxidase (MPO) and malondialdehyde (MDA) levels were measured. Tumor necrosis factor-α levels in serum and tissue was measured. mRNA expressions of pro-inflammatory cytokines in lung were assessed by Real-Time PCR. Histopathological changes were evaluated in lung, ileum and colon. We also investigated FNP on reactive oxygen species (ROS), nitric oxide (NO) and pro-inflammatory cytokines (TNF-α, IL-1β, IL-6 and IL-8) production, inducible nitric oxide synthase (iNOS), Cyclooxygenase-2 (COX-2) protein expression, phosphorylation of MAPKs and AMPK in LPS-stimulated RAW264.7 cells.

RESULTS

FNP increased the levels of T-SOD, T-AOC, GSH-PX and GSH, decreased the levels of TNF-α, MPO and MDA, attenuate the histopathological lesion in LPS-stimulated mice. FNP inhibited production of inflammatory cytokines, ROS and NO, protein expressions of iNOS and COX-2, phosphorylation of ERK, JNK and c-JUN in MAPKs, promoted phosphorylation of AMPKα suppressed by LPS.

CONCLUSION

These results suggested in vivo anti-inflammatory activities of FNP might contributed to its enhancement in antioxidant capacity, its inhibitory effects may be mediated by inhibiting the phosphorylation of JNK, ERK and c-JUN in MAPKs signaling pathways.

摘要

背景

水蓼作为一种传统药物,被广泛用于治疗痢疾、肠胃炎。长期以来,它还被用于缓解肿胀和疼痛、祛风除湿、化痰和消除炎症。先前的研究表明,抗氧化剂尤其是黄酮类化合物预处理可减轻体内外败血症诱导的损伤。在本研究中,对水蓼提取物正丁醇部位(FNP)中的黄酮类化合物对脂多糖(LPS)诱导的炎症的可能抗炎作用进行了体内和体外评估。

方法

采用铝比色法测定FNP中总黄酮含量。采用高效液相色谱法测定芦丁、槲皮素和槲皮苷的含量。小鼠在腹腔注射脂多糖(LPS)前3天口服FNP。测定总超氧化物歧化酶(T-SOD)、总抗氧化能力(T-AOC)、谷胱甘肽过氧化物酶(GSH-PX)、谷胱甘肽(GSH)、髓过氧化物酶(MPO)和丙二醛(MDA)水平。测定血清和组织中肿瘤坏死因子-α水平。通过实时聚合酶链反应评估肺中促炎细胞因子的mRNA表达。评估肺、回肠和结肠的组织病理学变化。我们还研究了FNP对脂多糖刺激的RAW264.7细胞中活性氧(ROS)、一氧化氮(NO)和促炎细胞因子(TNF-α、IL-1β、IL-6和IL-8)产生、诱导型一氧化氮合酶(iNOS)、环氧化酶-2(COX-2)蛋白表达、丝裂原活化蛋白激酶(MAPKs)和腺苷酸活化蛋白激酶(AMPK)磷酸化的影响。

结果

FNP提高了T-SOD、T-AOC、GSH-PX和GSH水平,降低了TNF-α、MPO和MDA水平,减轻了脂多糖刺激小鼠的组织病理学损伤。FNP抑制炎症细胞因子、ROS和NO的产生,iNOS和COX-2的蛋白表达,MAPKs中ERK、JNK和c-JUN的磷酸化,促进脂多糖抑制的AMPKα磷酸化。

结论

这些结果表明,FNP的体内抗炎活性可能归因于其抗氧化能力的增强,其抑制作用可能通过抑制MAPKs信号通路中JNK、ERK和c-JUN的磷酸化来介导。

https://cdn.ncbi.nlm.nih.gov/pmc/blobs/5f87/4724128/30777b5c4803/12906_2016_1001_Fig1_HTML.jpg

文献检索

告别复杂PubMed语法,用中文像聊天一样搜索,搜遍4000万医学文献。AI智能推荐,让科研检索更轻松。

立即免费搜索

文件翻译

保留排版,准确专业,支持PDF/Word/PPT等文件格式,支持 12+语言互译。

免费翻译文档

深度研究

AI帮你快速写综述,25分钟生成高质量综述,智能提取关键信息,辅助科研写作。

立即免费体验