Suppr超能文献

用于宫颈癌评估与管理的磁共振成像实用综述。

A practical review of magnetic resonance imaging for the evaluation and management of cervical cancer.

作者信息

Fields Emma C, Weiss Elisabeth

机构信息

Virginia Commonwealth University, Richmond, VA, USA.

出版信息

Radiat Oncol. 2016 Feb 2;11:15. doi: 10.1186/s13014-016-0591-0.

Abstract

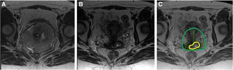
Cervical cancer is a leading cause of mortality in women worldwide. Staging and management of cervical cancer has for many years been based on clinical exam and basic imaging such as intravenous pyelogram and x-ray. Unfortunately, despite advances in radiotherapy and the inclusion of chemotherapy in the standard plan for locally advanced disease, local control has been unsatisfactory. This situation has changed only recently with the increasing implementation of magnetic resonance image (MRI)-guided brachytherapy. The purpose of this article is therefore to provide an overview of the benefits of MRI in the evaluation and management of cervical cancer for both external beam radiotherapy and brachytherapy and to provide a practical approach if access to MRI is limited.

摘要

宫颈癌是全球女性死亡的主要原因。多年来,宫颈癌的分期和治疗一直基于临床检查以及静脉肾盂造影和X线等基础影像学检查。不幸的是,尽管放射治疗取得了进展,且局部晚期疾病的标准治疗方案中纳入了化疗,但局部控制效果仍不尽人意。这种情况直到最近随着磁共振成像(MRI)引导下近距离放疗的日益普及才有所改变。因此,本文旨在概述MRI在宫颈癌外照射放疗和近距离放疗的评估与治疗中的益处,并在MRI设备有限的情况下提供一种实用的方法。

https://cdn.ncbi.nlm.nih.gov/pmc/blobs/7209/4736634/83c21cf0ad59/13014_2016_591_Fig1_HTML.jpg

文献AI研究员

20分钟写一篇综述,助力文献阅读效率提升50倍。

立即体验

用中文搜PubMed

大模型驱动的PubMed中文搜索引擎

马上搜索

文档翻译

学术文献翻译模型,支持多种主流文档格式。

立即体验