Pereira Noella Maria Delia, Shah Ira, Biyani Naresh, Shah Forum
Department of Pediatrics , Bai Jerbai Wadia Hospital for Children , Mumbai , India.
Department of Neurosurgery , Bai Jerbai Wadia Hospital for Children , Mumbai , India.
Oxf Med Case Reports. 2016 Jan 29;2016(1):12-4. doi: 10.1093/omcr/omv074. eCollection 2016 Jan.
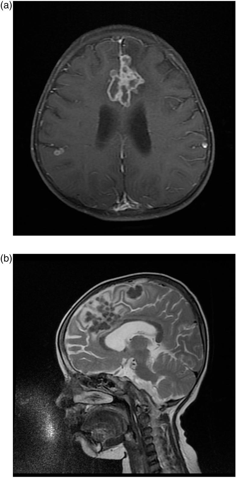
Tuberculomas are usually infratentorial in children, and supratentorial lesions predominate in adults. We present a 4-year-old girl with multiple seizures, papilloedema and brisk reflexes. On investigation, she was found to have a large left parafalcine tuberculoma. She was treated with antitubercular treatment (ATT) and steroids. The child improved, seizures stopped and the papilloedema gradually disappeared. Follow-up magnetic resonance imaging brain after 8 months showed a mild reduction in the size of the lesion. Child is on regular follow-up.
结核瘤在儿童中通常位于幕下,而在成人中幕上病变占主导。我们报告一名4岁女孩,有多次癫痫发作、视乳头水肿和反射亢进。经检查,发现她有一个巨大的左侧大脑镰旁结核瘤。她接受了抗结核治疗(ATT)和类固醇治疗。患儿病情好转,癫痫发作停止,视乳头水肿逐渐消失。8个月后的脑部随访磁共振成像显示病变大小略有缩小。患儿正在接受定期随访。