Suppr超能文献

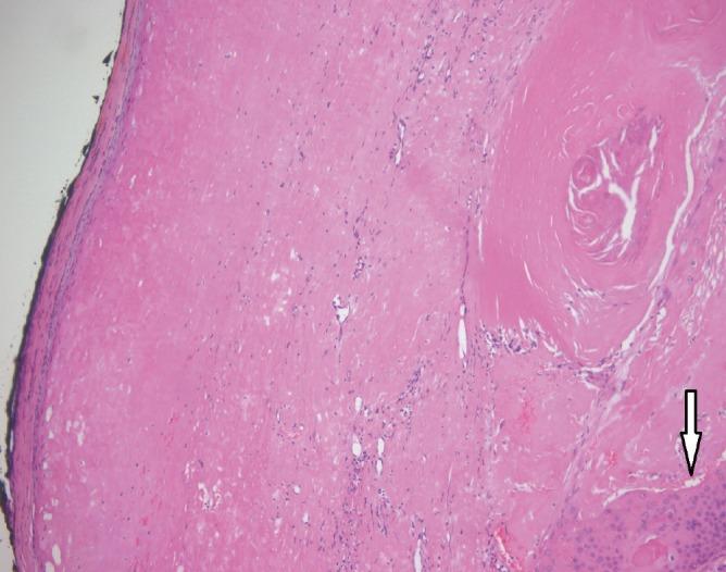
Squamous Cell Carcinoma Arising from an Epidermal Inclusion Cyst.

作者信息

Lee Jin-Won, Shin Jin-Yong, Roh Si-Gyun, Lee Nae-Ho, Yang Kyung-Moo

机构信息

Department of Plastic and Reconstructive Surgery, Chonbuk National University Medical School, Jeonju, Korea.

出版信息

Arch Plast Surg. 2016 Jan;43(1):112-4. doi: 10.5999/aps.2016.43.1.112. Epub 2016 Jan 15.

Abstract
摘要
https://cdn.ncbi.nlm.nih.gov/pmc/blobs/d609/4738116/9a75934d012e/aps-43-112-g001.jpg

文献检索

告别复杂PubMed语法,用中文像聊天一样搜索,搜遍4000万医学文献。AI智能推荐,让科研检索更轻松。

立即免费搜索

文件翻译

保留排版,准确专业,支持PDF/Word/PPT等文件格式,支持 12+语言互译。

免费翻译文档

深度研究

AI帮你快速写综述,25分钟生成高质量综述,智能提取关键信息,辅助科研写作。

立即免费体验