Suppr超能文献

伴有脑钙化和囊肿的迟发性白质脑病:病例报告及文献复习

Late-onset leukoencephalopathy with cerebral calcifications and cysts: case report and review of the literature.

作者信息

Stephani C, Pfeifenbring S, Mohr A, Stadelmann C

机构信息

Department of Clinical Neurophysiology, University Medical Center Göttingen, Robert-Koch-Straße 40, 37075, Göttingen, Germany.

Department of Neuropathology, University Medical Center Göttingen, Robert-Koch-Straße 40, 37075, Göttingen, Germany.

出版信息

BMC Neurol. 2016 Feb 6;16:19. doi: 10.1186/s12883-016-0543-1.

Abstract

BACKGROUND

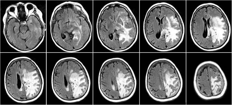
Leukoencephalopathy with calcifications and cysts (LCC or Labrune disease) is a relatively recently defined and exceptionally rare disease in which parenchymal cysts and calcifications within a widespread leukoencephalopathy can cause a broad spectrum of neurological symptoms. The cause of the disease is unknown. Manifestation is usually in childhood or adolescence, while onset in adulthood has been described in 19 cases.

CASE PRESENTATION

Here we report a case of an adult-onset LCC of a Caucasian woman who became symptomatic at age 70 as confirmed by typical neuroimaging and neuropathological findings. After resection of left mesioparietal space-occupying cystic brain tissue the patient has so far remained clinically stable during one year of follow-up with a continuous treatment with glucocorticosteroids.

CONCLUSION

To our knowledge this report of a patient who became symptomatic at age 70 represents the oldest age-at-onset case of LCC described so far.

摘要

背景

伴有钙化和囊肿的白质脑病(LCC 或拉布伦病)是一种相对较新定义且极为罕见的疾病,广泛白质脑病中的实质囊肿和钙化可导致广泛的神经症状。该病病因不明。通常在儿童期或青少年期发病,成年发病的病例已有 19 例报道。

病例报告

我们在此报告一例成年发病的 LCC 病例,一名 70 岁的白种女性出现症状,典型的神经影像学和神经病理学检查结果证实了这一诊断。切除左中顶叶占位性囊性脑组织后,患者在接受糖皮质激素持续治疗的一年随访期间临床症状一直保持稳定。

结论

据我们所知,该 70 岁出现症状患者的报告是迄今为止所描述的 LCC 发病年龄最大的病例。

https://cdn.ncbi.nlm.nih.gov/pmc/blobs/d781/4744425/2defda987813/12883_2016_543_Fig1_HTML.jpg

文献AI研究员

20分钟写一篇综述,助力文献阅读效率提升50倍。

立即体验

用中文搜PubMed

大模型驱动的PubMed中文搜索引擎

马上搜索

文档翻译

学术文献翻译模型,支持多种主流文档格式。

立即体验