Weyemi Urbain, Redon Christophe E, Choudhuri Rohini, Aziz Towqir, Maeda Daisuke, Boufraqech Myriem, Parekh Palak R, Sethi Taresh K, Kasoji Manjula, Abrams Natalie, Merchant Anand, Rajapakse Vinodh N, Bonner William M
Developmental Therapeutics Branch, Laboratory of Molecular Pharmacology, National Cancer Institute, National Institutes of Health, 37 Convent Drive, Bethesda, Maryland 20892, USA.
Endocrine Oncology Branch, Center for Cancer Research, National Cancer Institute, National Institutes of Health, 9000 Rockville Pike, Bethesda, Maryland 20892, USA.
Nat Commun. 2016 Feb 15;7:10711. doi: 10.1038/ncomms10711.
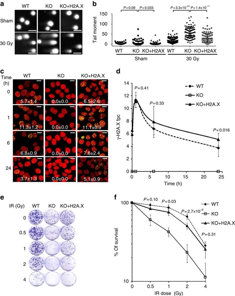
The epithelial-mesenchymal transition (EMT), considered essential for metastatic cancer, has been a focus of much research, but important questions remain. Here, we show that silencing or removing H2A.X, a histone H2A variant involved in cellular DNA repair and robust growth, induces mesenchymal-like characteristics including activation of EMT transcription factors, Slug and ZEB1, in HCT116 human colon cancer cells. Ectopic H2A.X re-expression partially reverses these changes, as does silencing Slug and ZEB1. In an experimental metastasis model, the HCT116 parental and H2A.X-null cells exhibit a similar metastatic behaviour, but the cells with re-expressed H2A.X are substantially more metastatic. We surmise that H2A.X re-expression leads to partial EMT reversal and increases robustness in the HCT116 cells, permitting them to both form tumours and to metastasize. In a human adenocarcinoma panel, H2A.X levels correlate inversely with Slug and ZEB1 levels. Together, these results point to H2A.X as a regulator of EMT.
上皮-间质转化(EMT)被认为是转移性癌症的关键环节,一直是众多研究的焦点,但仍存在一些重要问题。在此,我们发现,沉默或去除参与细胞DNA修复和强劲生长的组蛋白H2A变体H2A.X,会在HCT116人结肠癌细胞中诱导出间充质样特征,包括EMT转录因子Slug和ZEB1的激活。异位重新表达H2A.X可部分逆转这些变化,沉默Slug和ZEB1也有同样效果。在实验性转移模型中,HCT116亲代细胞和H2A.X缺失细胞表现出相似的转移行为,但重新表达H2A.X的细胞转移能力显著更强。我们推测,H2A.X的重新表达导致HCT116细胞部分EMT逆转并增强其稳健性,使其既能形成肿瘤又能发生转移。在一组人腺癌样本中,H2A.X水平与Slug和ZEB1水平呈负相关。这些结果共同表明,H2A.X是EMT的一个调节因子。