Suppr超能文献

微小RNA-203通过靶向头颈部癌中的NUAK1抑制侵袭和上皮-间质转化诱导。

microRNA-203 suppresses invasion and epithelial-mesenchymal transition induction via targeting NUAK1 in head and neck cancer.

作者信息

Obayashi Mariko, Yoshida Maki, Tsunematsu Takaaki, Ogawa Ikuko, Sasahira Tomonori, Kuniyasu Hiroki, Imoto Issei, Abiko Yoshimitsu, Xu Dan, Fukunaga Saori, Tahara Hidetoshi, Kudo Yasusei, Nagao Toshitaka, Takata Takashi

机构信息

Department of Oral and Maxillofacial Pathobiology, Institute of Biomedical & Health Sciences, Hiroshima University, Hiroshima, Japan.

Department of Anatomic Pathology, Tokyo Medical University, Tokyo, Japan.

出版信息

Oncotarget. 2016 Feb 16;7(7):8223-39. doi: 10.18632/oncotarget.6972.

Abstract

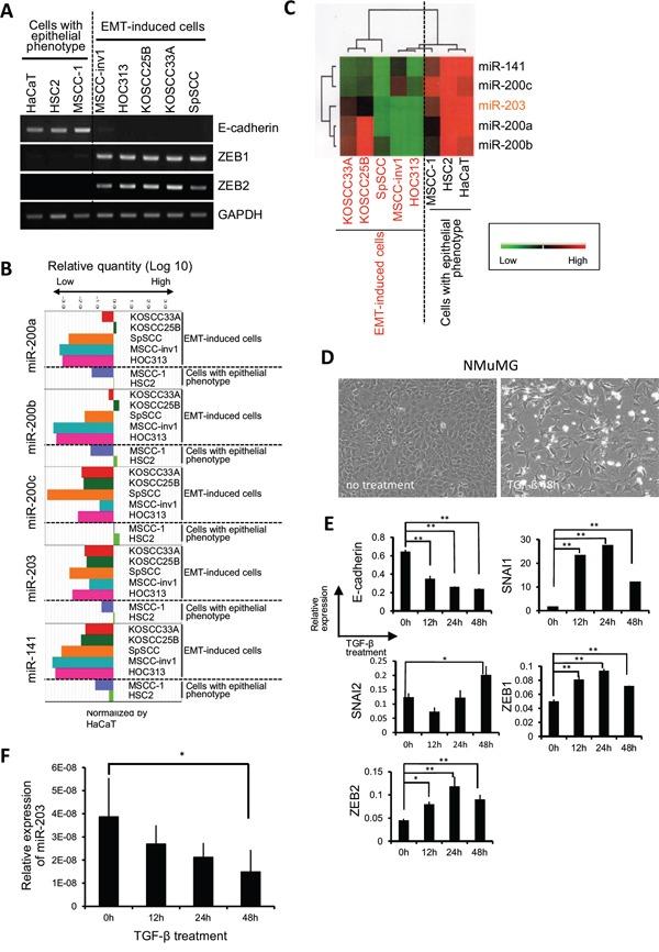
Head and neck squamous cell carcinoma (HNSCC) has a high capacity for invasion. To identify microRNAs (miRNAs) that regulate HNSCC invasion, we compared miRNA expression profiles between a parent HNSCC cell line and a highly invasive clone. The miR-200 family and miR-203 were downregulated in the clone. Here we focused on the role of miR-203 in invasion and epithelial-mesenchymal transition (EMT) induction in HNSCC. miR-203 was downregulated during EMT induction. Moreover, ectopic overexpression of miR-203 suppressed the invasion and induced mesenchymal-epithelial transition (MET) in HNSCC cells. Interestingly, we identified NUAK family SNF1-like kinase 1 (NUAK1) as a novel target gene of miR-203 by cyclopedic analysis using anti-Ago2 antibody. Increased expression of NUAK1 was observed during EMT induction, and ectopic expression of miR-203 delayed EMT induction by suppressing NUAK1 expression. Moreover, NUAK1 overexpression promoted the invasion of HNSCC cells. Importantly, NUAK1 expression was well correlated with poor differentiation, invasiveness, and lymph node metastasis in HNSCC cases. Overall, miR-203 has a tumor-suppressing role in invasion and EMT induction by targeting NUAK1 in HNSCC, suggesting miR-203 as a potential new diagnostic and therapeutic target for the treatment of HNSCC.

摘要

头颈部鳞状细胞癌(HNSCC)具有很强的侵袭能力。为了鉴定调控HNSCC侵袭的微小RNA(miRNA),我们比较了一个亲本HNSCC细胞系与其一个高侵袭性克隆之间的miRNA表达谱。克隆中miR-200家族和miR-203表达下调。在此,我们着重研究miR-203在HNSCC侵袭及上皮-间质转化(EMT)诱导中的作用。在EMT诱导过程中miR-203表达下调。此外,miR-203的异位过表达抑制了HNSCC细胞的侵袭并诱导了间质-上皮转化(MET)。有趣的是,我们通过使用抗Ago2抗体的环化分析鉴定出NUAK家族SNF1样激酶1(NUAK1)是miR-203的一个新靶基因。在EMT诱导过程中观察到NUAK1表达增加,并且miR-203的异位表达通过抑制NUAK1表达延迟了EMT诱导。此外,NUAK过表达促进了HNSCC细胞的侵袭。重要的是,在HNSCC病例中,NUAK1表达与低分化、侵袭性及淋巴结转移密切相关。总体而言,miR-203通过靶向HNSCC中的NUAK1在侵袭和EMT诱导中发挥肿瘤抑制作用,提示miR-203作为治疗HNSCC的潜在新诊断和治疗靶点。

https://cdn.ncbi.nlm.nih.gov/pmc/blobs/7334/4884988/cb93973f98db/oncotarget-07-8223-g001.jpg

文献AI研究员

20分钟写一篇综述,助力文献阅读效率提升50倍。

立即体验

用中文搜PubMed

大模型驱动的PubMed中文搜索引擎

马上搜索

文档翻译

学术文献翻译模型,支持多种主流文档格式。

立即体验