Santanam Urmila, Banach-Petrosky Whitney, Abate-Shen Cory, Shen Michael M, White Eileen, DiPaola Robert S
Rutgers Cancer Institute of New Jersey, New Brunswick, New Jersey 08903, USA;
Department of Medicine, Columbia University Medical Center, New York, New York 10032, USA; Department of Urology, Columbia University Medical Center, New York, New York 10032, USA; Department of Pathology and Cell Biology, Columbia University Medical Center, New York, New York 10032, USA; Department of Systems Biology, Columbia University Medical Center, New York, New York 10032, USA; Herbert Irving Comprehensive Cancer Center, Columbia University Medical Center, New York, New York 10032, USA;
Genes Dev. 2016 Feb 15;30(4):399-407. doi: 10.1101/gad.274134.115.
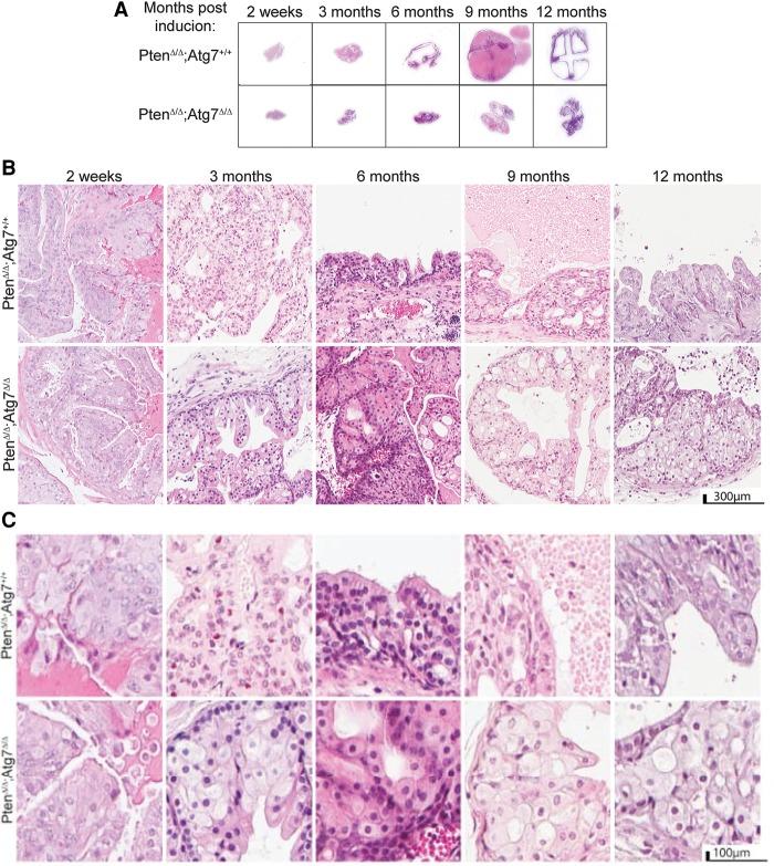
Understanding new therapeutic paradigms for both castrate-sensitive and more aggressive castrate-resistant prostate cancer is essential to improve clinical outcomes. As a critically important cellular process, autophagy promotes stress tolerance by recycling intracellular components to sustain metabolism important for tumor survival. To assess the importance of autophagy in prostate cancer, we generated a new autochthonous genetically engineered mouse model (GEMM) with inducible prostate-specific deficiency in the Pten tumor suppressor and autophagy-related-7 (Atg7) genes. Atg7 deficiency produced an autophagy-deficient phenotype and delayed Pten-deficient prostate tumor progression in both castrate-naïve and castrate-resistant cancers. Atg7-deficient tumors display evidence of endoplasmic reticulum (ER) stress, suggesting that autophagy may promote prostate tumorigenesis through management of protein homeostasis. Taken together, these data support the importance of autophagy for both castrate-naïve and castrate-resistant growth in a newly developed GEMM, suggesting a new paradigm and model to study approaches to inhibit autophagy in combination with known and new therapies for advanced prostate cancer.
了解去势敏感型和侵袭性更强的去势抵抗型前列腺癌的新治疗模式对于改善临床结果至关重要。作为一个至关重要的细胞过程,自噬通过回收细胞内成分来促进应激耐受,以维持对肿瘤存活至关重要的代谢。为了评估自噬在前列腺癌中的重要性,我们构建了一种新的原位基因工程小鼠模型(GEMM),该模型在前列腺中可诱导性地缺乏抑癌基因Pten和自噬相关基因7(Atg7)。Atg7缺陷产生了自噬缺陷表型,并延缓了去势未处理和去势抵抗性癌症中Pten缺陷型前列腺肿瘤的进展。Atg7缺陷型肿瘤显示出内质网(ER)应激的证据,这表明自噬可能通过维持蛋白质稳态来促进前列腺肿瘤发生。综上所述,这些数据支持了自噬在新开发的GEMM中对于去势未处理和去势抵抗性生长的重要性,提示了一种新的模式和模型,用于研究与晚期前列腺癌的已知和新疗法联合抑制自噬的方法。