Cigana Cristina, Lorè Nicola Ivan, Riva Camilla, De Fino Ida, Spagnuolo Lorenza, Sipione Barbara, Rossi Giacomo, Nonis Alessandro, Cabrini Giulio, Bragonzi Alessandra
Division of Immunology, Transplantation and Infectious Diseases, IRCCS San Raffaele Scientific Institute, Milano, Italy.
School of Biosciences and Veterinary Medicine, University of Camerino, Italy.
Sci Rep. 2016 Feb 17;6:21465. doi: 10.1038/srep21465.
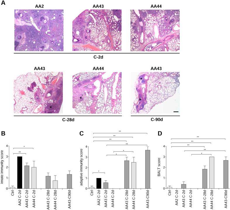
Repeated cycles of infections, caused mainly by Pseudomonas aeruginosa, combined with a robust host immune response and tissue injury, determine the course and outcome of cystic fibrosis (CF) lung disease. As the disease progresses, P. aeruginosa adapts to the host modifying dramatically its phenotype; however, it remains unclear whether and how bacterial adaptive variants and their persistence influence the pathogenesis and disease development. Using in vitro and murine models of infection, we showed that P. aeruginosa CF-adaptive variants shaped the innate immune response favoring their persistence. Next, we refined a murine model of chronic pneumonia extending P. aeruginosa infection up to three months. In this model, including CFTR-deficient mice, we unveil that the P. aeruginosa persistence lead to CF hallmarks of airway remodelling and fibrosis, including epithelial hyperplasia and structure degeneration, goblet cell metaplasia, collagen deposition, elastin degradation and several additional markers of tissue damage. This murine model of P. aeruginosa chronic infection, reproducing CF lung pathology, will be instrumental to identify novel molecular targets and test newly tailored molecules inhibiting chronic inflammation and tissue damage processes in pre-clinical studies.
主要由铜绿假单胞菌引起的反复感染周期,再加上强大的宿主免疫反应和组织损伤,决定了囊性纤维化(CF)肺部疾病的病程和结局。随着疾病进展,铜绿假单胞菌适应宿主,显著改变其表型;然而,细菌适应性变体及其持久性是否以及如何影响发病机制和疾病发展仍不清楚。利用体外和小鼠感染模型,我们发现铜绿假单胞菌CF适应性变体塑造了有利于其持久性的固有免疫反应。接下来,我们改进了一种慢性肺炎小鼠模型,将铜绿假单胞菌感染延长至三个月。在这个模型中,包括CFTR缺陷小鼠,我们发现铜绿假单胞菌的持续存在导致了气道重塑和纤维化的CF特征,包括上皮增生和结构退化、杯状细胞化生、胶原沉积、弹性蛋白降解以及其他几种组织损伤标志物。这种再现CF肺部病理学的铜绿假单胞菌慢性感染小鼠模型,将有助于在临床前研究中识别新的分子靶点并测试抑制慢性炎症和组织损伤过程的新定制分子。