Suppr超能文献

急性髓系白血病化疗期间发生的眼睑髓系肉瘤。

Myeloid Sarcoma in an Eyelid That Developed during Chemotherapy for Acute Myeloid Leukemia.

作者信息

Kang Hyera, Takahashi Yasuhiro, Takahashi Emiko, Kakizaki Hirohiko

机构信息

Department of Ophthalmology, Aichi Medical University, Nagakute, Japan; Department of Ophthalmology, University of Seonam College of Medicine, Presbyterian Medical Center, Jeonju, Korea.

Department of Ophthalmology, Aichi Medical University, Nagakute, Japan.

出版信息

Case Rep Ophthalmol. 2016 Jan 8;7(1):25-9. doi: 10.1159/000443202. eCollection 2016 Jan-Apr.

Abstract

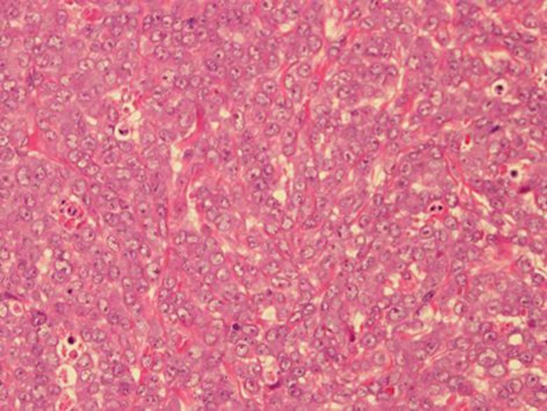
An 80-year-old female presented with a mass in the left upper eyelid margin that had developed during chemotherapy for acute myeloid leukemia. The mass was elastic, hard, and pinkish, with a relatively smooth surface but without madarosis. The histopathological findings corresponded to a myeloid sarcoma. No blast cells were shown in the peripheral blood at the time of biopsy, and she subsequently underwent an azacitidine injection regimen. The size of the eyelid tumor decreased 3 months after the biopsy, when the course of azacitidine injections was completed. However, acute myeloid leukemia recurred, and the patient died.

摘要

一名80岁女性在接受急性髓系白血病化疗期间,左上睑缘出现肿物。肿物质地有弹性、硬,呈粉红色,表面相对光滑,但无睫毛脱落。组织病理学检查结果符合髓系肉瘤。活检时外周血未发现原始细胞,随后她接受了阿扎胞苷注射治疗方案。活检3个月后,即阿扎胞苷注射疗程结束时,眼睑肿瘤大小减小。然而,急性髓系白血病复发,患者死亡。

https://cdn.ncbi.nlm.nih.gov/pmc/blobs/8d05/4748776/ef97a15c1544/cop-0007-0025-g01.jpg

文献AI研究员

20分钟写一篇综述,助力文献阅读效率提升50倍。

立即体验

用中文搜PubMed

大模型驱动的PubMed中文搜索引擎

马上搜索

文档翻译

学术文献翻译模型,支持多种主流文档格式。

立即体验