Suppr超能文献

口腔底部神经鞘瘤:一例报告

Neurilemmoma in the floor of the mouth: a case report.

作者信息

Shim Seung-Kee, Myoung Hoon

机构信息

Department of Oral and Maxillofacial Surgery, School of Dentistry, Seoul National University, Seoul, Korea.

出版信息

J Korean Assoc Oral Maxillofac Surg. 2016 Feb;42(1):60-4. doi: 10.5125/jkaoms.2016.42.1.60. Epub 2016 Feb 15.

Abstract

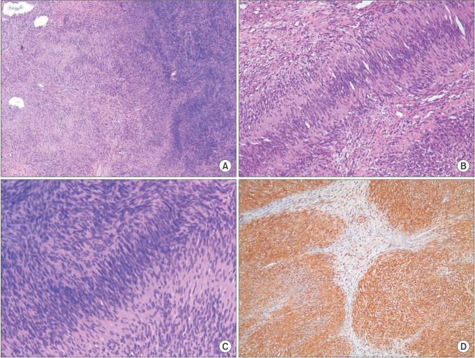
Neurilemmomas are well-encapsulated, benign, slow-growing tumors originating from Schwann cells of the nerve sheath surrounding cranial, peripheral, or autonomic nerves. Intraoral neurilemmomas are relatively rare and have a wide variety of morphologic and radiologic features. This makes differential diagnosis difficult, and only histopathological features can lead to a definitive neurilemmoma diagnosis. In this report, we present the case of a 30-year-old woman whose chief complaint was a solitary, nodular mass on the right floor of the mouth. After computed tomography and magnetic resonance imaging, we performed an incisional biopsy that showed the typical characteristics of a neurilemmoma. The mass was removed completely through an intraoral surgical approach. Despite losing a portion of the lingual nerve, the patient did not complain of any specific discomfort. Wound healing was uneventful and there were no signs or symptoms of recurrence.

摘要

神经鞘瘤是一种包膜完整、良性、生长缓慢的肿瘤,起源于颅神经、周围神经或自主神经周围神经鞘的施万细胞。口腔内神经鞘瘤相对少见,具有多种形态学和放射学特征。这使得鉴别诊断困难,只有组织病理学特征才能确诊神经鞘瘤。在本报告中,我们介绍了一名30岁女性的病例,她的主要症状是右侧口底有一个孤立的结节状肿块。经过计算机断层扫描和磁共振成像后,我们进行了切开活检,结果显示为典型的神经鞘瘤特征。通过口腔内手术方法将肿块完全切除。尽管舌神经有一部分受损,但患者并未诉说任何特殊不适。伤口愈合顺利,没有复发的迹象或症状。

https://cdn.ncbi.nlm.nih.gov/pmc/blobs/2c10/4761576/e731447a26b2/jkaoms-42-60-g001.jpg

文献AI研究员

20分钟写一篇综述,助力文献阅读效率提升50倍。

立即体验

用中文搜PubMed

大模型驱动的PubMed中文搜索引擎

马上搜索

文档翻译

学术文献翻译模型,支持多种主流文档格式。

立即体验