Suppr超能文献

肾微绒毛膜蛋白。大鼠内肽酶-2的结构和免疫化学特性及其在大鼠和小鼠组织中的免疫组织化学定位。

Proteins of the kidney microvillar membrane. Structural and immunochemical properties of rat endopeptidase-2 and its immunohistochemical localization in tissues of rat and mouse.

作者信息

Barnes K, Ingram J, Kenny A J

机构信息

Department of Biochemistry, University of Leeds, U.K.

出版信息

Biochem J. 1989 Dec 1;264(2):335-46. doi: 10.1042/bj2640335.

Abstract

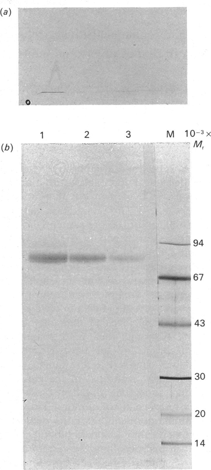
The phosphoramidon-insensitive endopeptidase-2 in rat renal brush borders was investigated by immunochemical approaches with a rabbit polyclonal antibody raised to the purified enzyme released from the membrane by papain. An immunoaffinity column successfully purified the detergent-solubilized form of endopeptidase-2. This preparation had an apparent subunit Mr of 80,000, and did not show the two subunits, of Mr 80,000 and 74,000, consistently found in the papain-solubilized forms, indicating that the latter resulted from proteolysis by papain. SDS/polyacrylamide-gel electrophoresis of non-reduced samples of the enzyme revealed a band of Mr 220,000, confirming the presence of disulphide-bridged subunits. Treatment with endoglycosidases H and F generated smaller molecular forms, indicating that endopeptidase-2 contained about 30% asparagine-linked carbohydrate and that a few of these oligosaccharide chains were of the high-mannose type. Treatment with phosphatidylinositol-specific phospholipase indicated that the enzyme did not possess a glycolipid membrane anchor. A survey of rat tissues examined immunohistochemically and by immunoblotting revealed that only the kidney and intestinal tract expressed the antigen in significant amounts. Although some weak staining was seen in salivary glands and thyroid, other organs and tissues including brain and spinal cord were negative by both immunochemical techniques. In the kidney the antigen was confined to the lumen of the proximal tubule and was seen mainly in the population of juxtamedullary nephrons. In the gut, luminal staining was observed throughout its whole length, from duodenum to rectum. Excellent cross-reactivity of the antibody with Balb/c mouse tissues was observed. Immunohistochemistry of mouse kidney and gut revealed a distribution identical with that observed in the rat. Immunopurification of the detergent-solubilized mouse kidney antigen showed it to be a protein containing disulphide-linked subunits of Mr 90,000. It possessed endopeptidase-2-like activity, but was more efficient in hydrolysing azo-casein and less efficient in hydrolysing a model substrate than the rat enzyme. The close similarity between rat endopeptidase-2 and mouse meprin is further supported by these results.

摘要

采用免疫化学方法,用兔多克隆抗体研究大鼠肾刷状缘中对磷酰胺脒不敏感的内肽酶-2,该抗体是针对木瓜蛋白酶从膜上释放的纯化酶制备的。免疫亲和柱成功纯化了去污剂增溶形式的内肽酶-2。该制剂的表观亚基分子量为80,000,未显示出在木瓜蛋白酶增溶形式中始终存在的80,000和74,000两种亚基,这表明后者是木瓜蛋白酶蛋白水解的结果。该酶非还原样品的SDS/聚丙烯酰胺凝胶电泳显示出一条分子量为220,000的条带,证实存在二硫键连接的亚基。用内切糖苷酶H和F处理产生了较小的分子形式,表明内肽酶-2含有约30%的天冬酰胺连接的碳水化合物,且其中一些寡糖链为高甘露糖型。用磷脂酰肌醇特异性磷脂酶处理表明该酶不具有糖脂膜锚。通过免疫组织化学和免疫印迹对大鼠组织进行的一项调查显示,只有肾脏和肠道大量表达该抗原。虽然在唾液腺和甲状腺中可见一些弱阳性染色,但包括脑和脊髓在内的其他器官和组织在两种免疫化学技术下均为阴性。在肾脏中,抗原局限于近端小管腔,主要见于近髓肾单位群体。在肠道中,从十二指肠到直肠的整个长度都观察到腔内染色。观察到该抗体与Balb/c小鼠组织具有良好的交叉反应性。小鼠肾脏和肠道的免疫组织化学显示其分布与在大鼠中观察到的相同。对去污剂增溶的小鼠肾脏抗原进行免疫纯化显示,它是一种含有分子量为90,000的二硫键连接亚基的蛋白质。它具有内肽酶-2样活性,但与大鼠酶相比,在水解偶氮酪蛋白方面更有效,而在水解模型底物方面效率较低。这些结果进一步支持了大鼠内肽酶-2与小鼠meprin之间的密切相似性。

https://cdn.ncbi.nlm.nih.gov/pmc/blobs/ba15/1133587/a84513d4e4ed/biochemj00194-0033-a.jpg

文献检索

告别复杂PubMed语法,用中文像聊天一样搜索,搜遍4000万医学文献。AI智能推荐,让科研检索更轻松。

立即免费搜索

文件翻译

保留排版,准确专业,支持PDF/Word/PPT等文件格式,支持 12+语言互译。

免费翻译文档

深度研究

AI帮你快速写综述,25分钟生成高质量综述,智能提取关键信息,辅助科研写作。

立即免费体验