Kavalar Rajko, Fokter Samo K, Lamovec Janez
Department of Pathology, University Medical Centre Maribor, Ljubljanska ulica 5, 2000, Maribor, Slovenia.
Department of Orthopedics, University Medical Centre Maribor, Maribor, Slovenia.
Eur J Med Res. 2016 Mar 1;21:8. doi: 10.1186/s40001-016-0203-3.
Orthopedic implant-related sarcoma is an exceedingly rare, but a known complication of total hip arthroplasty (THA).
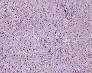
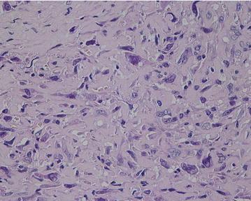
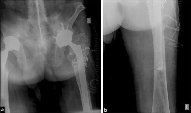
The authors describe clinical and radiologic features, histologic appearance, and treatment of osteogenic osteosarcoma located in the proximal femoral diaphysis associated with an unstable femoral prosthesis following THA in a 65-year-old male patient. The patient with HLA-B27 positive ankylosing spondylitis underwent arthroplasty 15 years ago.
The neoplastic process may be considered as an extraordinary complication of THA and might just be coincidental or the result of some derangement of the healing process in host tissue with no definitely proven hypothesis that the implants or their by-products are carcinogenic. The soluble chemical substances from the implanted prosthetic material are, at least in animals, suspected to play a vital role in the pathogenesis of the neoplastic transformation of the bone tissue. The presented case shall alert orthopedic surgeons to clinical, radiologic, and macroscopic similarities between a malignant tumor and benign lesions caused by wear debris at THA sites. At the examination of plane X-rays of patients with THA loosening, the differential diagnosis should always include osteogenic sarcoma, as well. To our knowledge, there have been only nine cases of THA-related osteogenic osteosarcomas described in the English-language literature.
骨科植入物相关肉瘤极为罕见,但却是全髋关节置换术(THA)已知的并发症。
作者描述了一名65岁男性患者在THA后,股骨近端骨干发生的成骨性骨肉瘤的临床、放射学特征、组织学表现及治疗情况,该骨肉瘤与不稳定的股骨假体相关。该患者患有HLA - B27阳性强直性脊柱炎,15年前接受了关节置换术。
肿瘤形成过程可被视为THA的一种特殊并发症,可能只是巧合,或者是宿主组织愈合过程中某些紊乱的结果,目前尚无确凿证据表明植入物或其副产物具有致癌性。至少在动物实验中,植入假体材料中的可溶性化学物质被怀疑在骨组织肿瘤转化的发病机制中起重要作用。本病例应提醒骨科医生注意THA部位恶性肿瘤与磨损碎屑引起的良性病变在临床、放射学和宏观表现上的相似性。在检查THA松动患者的X线平片时,鉴别诊断也应始终包括骨肉瘤。据我们所知,英文文献中仅描述了9例与THA相关的成骨性骨肉瘤病例。