Suppr超能文献

Cytomegalovirus infection inducing flare of Behcet's disease with possible recurrence of glomerulonephritis after renal transplantation.

作者信息

Annigeri R A, Rajagopalan M, Mani R M, Kaveripattu S S

机构信息

Department of Nephrology, Apollo Hospitals, Chennai, Tamil Nadu, India.

Department of Dermatology, Apollo Hospitals, Chennai, Tamil Nadu, India.

出版信息

Indian J Nephrol. 2016 Jan-Feb;26(1):45-8. doi: 10.4103/0971-4065.157418.

Abstract

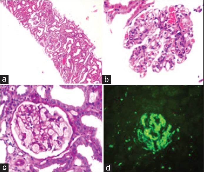
We present a case of young male with end-stage renal disease due to type III membranoproliferative glomerulonephritis (GN) and clinical features consistent with Behcet's disease (BD). He developed flare of BD 3 months after deceased donor renal transplantation following cytomegalovirus infection, in the form of oral and genital ulcers. He also had GN characterized by mild mesangial proliferation, neutrophilic infiltration and subepithelial, mesangial and intramembranous electron dense deposits, which could possibly be attributed to recurrence of renal disease due to BD. The clinical flare of BD was treated with colchicine with good response.

摘要
https://cdn.ncbi.nlm.nih.gov/pmc/blobs/736f/4753742/1e5b884c86e5/IJN-26-45-g001.jpg

文献AI研究员

20分钟写一篇综述,助力文献阅读效率提升50倍。

立即体验

用中文搜PubMed

大模型驱动的PubMed中文搜索引擎

马上搜索

文档翻译

学术文献翻译模型,支持多种主流文档格式。

立即体验