Suppr超能文献

全脾切除术后13年脾组织自发性出血:一例报告

Spontaneous hemorrhage from splenic tissue 13 years after total splenectomy: report of a case.

作者信息

Maki Takehiro, Omi Makoto, Ishii Daisuke, Kaneko Hiroyuki, Misu Kenjiro, Inomata Hitoshi, Tateno Masatoshi, Nihei Kazuyoshi

机构信息

Department of Surgery, Kushiro Red Cross Hospital, 21-14, Shineichyo, Kushiro, Hokkaido, 085-8512, Japan.

Department of Pathology, Kushiro Red Cross Hospital, 21-14, Shineichyo, Kushiro, Hokkaido, 085-8512, Japan.

出版信息

Surg Case Rep. 2015 Dec;1(1):91. doi: 10.1186/s40792-015-0099-0. Epub 2015 Oct 5.

Abstract

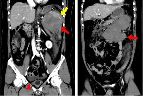
A 33-year-old man suffered sudden abdominal distension without traumatic episodes. He had undergone total splenectomy for hereditary spherocytosis 13 years ago. He was in shock, and his hemoglobin level was 10.5 g/dl. Contrast enhanced computed tomography revealed a giant mass in the left upper abdomen and extravasation of the contrast material into the mass. Excision of the mass was performed, and microscopic examination showed a giant hematoma surrounded by normal splenic tissue. We speculated that an accessory spleen or splenosis had enlarged for the 13 years and ruptured. The patient remained asymptomatic 4 months after the surgery. Spontaneous hemorrhage from accessory spleens or splenosis is extremely rare, and relevant case reports suggest that surgical resection of bleeding sites yields favorable prognosis although preoperative qualitative diagnosis seems to be difficult.

摘要

一名33岁男性在无外伤情况下突然出现腹胀。13年前他因遗传性球形红细胞增多症接受了全脾切除术。他处于休克状态,血红蛋白水平为10.5 g/dl。增强计算机断层扫描显示左上腹有一个巨大肿块,造影剂外渗至肿块内。对肿块进行了切除,显微镜检查显示为一个巨大血肿,周围是正常脾组织。我们推测一个副脾或脾组织植入物在13年里逐渐增大并破裂。患者术后4个月仍无症状。副脾或脾组织植入物自发出血极为罕见,相关病例报告表明,尽管术前定性诊断似乎困难,但对出血部位进行手术切除可获得良好预后。

https://cdn.ncbi.nlm.nih.gov/pmc/blobs/10bc/4593983/c30f00b8cd6c/40792_2015_99_Fig1_HTML.jpg

文献AI研究员

20分钟写一篇综述,助力文献阅读效率提升50倍。

立即体验

用中文搜PubMed

大模型驱动的PubMed中文搜索引擎

马上搜索

文档翻译

学术文献翻译模型,支持多种主流文档格式。

立即体验