Tang Hung-Jen, Liu Wei-Lun, Chang Tsung Chain, Li Ming-Chi, Ko Wen-Chien, Wu Chi-Jung, Chuang Yin-Ching, Lai Chih-Cheng
From the Department of Medicine (H-JT), Chi Mei Medical Center, Tainan, and Department of Health and Nutrition, Chia Nan University of Pharmacy and Science, Tainan; Department of Intensive Care Medicine (WWL, CCL), Chi Mei Medical Center, Liouying, Tainan; Department of Medical Laboratory Science and Biotechnology (TCC), College of Medicine, National Cheng Kung University, Tainan; Department of Internal Medicine (M-CL, W-CK, C-JW), National Cheng Kung University Hospital, College of Medicine, National Cheng Kung University, Tainan; National Institute of Infectious Diseases and Vaccinology (C-JW), National Health Research Institutes, Tainan; Department of Medical Research (Y-CC), Chi Mei Medical Center, Tainan; and Department of Internal Medicine, Chi Mei Medical Center, Liouying, Tainan, Taiwan.
Medicine (Baltimore). 2016 Mar;95(9):e2813. doi: 10.1097/MD.0000000000002813.
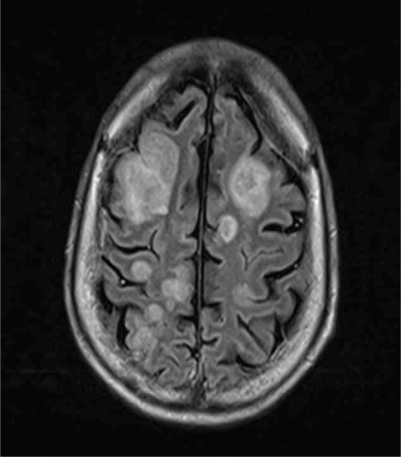
Invasive cerebral aspergillosis always developed in immunocompromised host. Early diagnosis may save life in this critical condition; however, it is difficult to reach. Herein, we presented an unusual case of invasive cerebral aspergillosis in a cirrhotic patient. A 47-year-old man presented with progressive deterioration of consciousness for three days. The patient had a history of alcoholic liver cirrhosis, Child-Pugh class C. Magnetic resonance imaging (MRI) of brain showed multi-focal parenchymal lesions, which was consistent with multiple brain abscesses. The diagnosis of invasive cerebral aspergillosis was made by molecular based laboratory methods including Aspergillus galactomannan antigen assay and oligonucleotide array. Despite treatment with the antifungal agent, Amphotericin B, the patient died at the ninth day of hospitalization. Our findings suggest that liver cirrhosis can be one of risk factors of invasive cerebral aspergillosis, and support the diagnosing usefulness of MRI, Aspergillus galactomannan antigen assay, and oligonucleotide array.